Suppr超能文献

源于异位胰腺的巨大黏膜下肿瘤导致的部分胃出口梗阻。

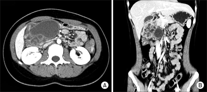
Partial gastric outlet obstruction caused by a huge submucosal tumor originating in the heterotopic pancreas.

作者信息

Jung Gum O, Park Dong Eun, Yun Ki Jung, Chae Kwon Mook

机构信息

Department of Surgery, Wonkwang University Hospital, Wonkwang University of College of Medicine, Iksan, Korea.

Department of Pathology, Wonkwang University Hospital, Wonkwang University of College of Medicine, Iksan, Korea.

出版信息

Korean J Hepatobiliary Pancreat Surg. 2011 Aug;15(3):194-7. doi: 10.14701/kjhbps.2011.15.3.194. Epub 2011 Aug 31.

Abstract

A 21-year-old woman presented gastrointestinal manifestation showing intermittent abdominal pain, nausea, and vomiting. An upper endoscopic examination showed round, elevated mucosa at the antrum of the stomach anterior wall. After CT scanning, a huge degenerated gastrointestinal stromal tumor was suspected. Subtotal gastrectomy with Billroth II anastomosis was performed. Histologically, pseudocystic degeneration of the heterotopic pancreas was confirmed. The patient showed eventful postoperative course except temporary dilated gastric emptying. The patient is doing well without any abnormal symptom at 8-month follow-up. This report is a rare case of gastric outlet obstruction caused by a pseudocyst originating from a heterotopic pancreas in the gastric antrum.

摘要

一名21岁女性出现胃肠道症状,表现为间歇性腹痛、恶心和呕吐。上消化道内镜检查显示胃前壁 antrum 处有圆形隆起的黏膜。CT扫描后,怀疑是巨大的退化性胃肠道间质瘤。进行了毕Ⅱ式吻合的胃次全切除术。组织学检查证实为异位胰腺的假囊肿变性。除了暂时的胃排空延迟外,患者术后病程平稳。在8个月的随访中,患者情况良好,无任何异常症状。本报告是一例罕见的由胃窦部异位胰腺起源的假囊肿引起胃出口梗阻的病例。

https://cdn.ncbi.nlm.nih.gov/pmc/blobs/23fd/4582542/3349a9d1cb2d/kjhbps-15-194-g001.jpg

文献AI研究员

20分钟写一篇综述,助力文献阅读效率提升50倍。

立即体验

用中文搜PubMed

大模型驱动的PubMed中文搜索引擎

马上搜索

文档翻译

学术文献翻译模型,支持多种主流文档格式。

立即体验