Suppr超能文献

被动免疫疗法可保护小鼠胃肠道炭疽模型免受肠道侵袭和致死性败血症的侵害。

Passive Immunotherapy Protects against Enteric Invasion and Lethal Sepsis in a Murine Model of Gastrointestinal Anthrax.

作者信息

Huang Bruce, Xie Tao, Rotstein David, Fang Hui, Frucht David M

机构信息

Division of Biotechnology Review and Research II, Office of Biotechnology Products, Office of Product Quality, Center for Drug Evaluation and Research, U.S. Food and Drug Administration, Silver Spring, MD 20993-0002, USA.

Division of Compliance, Center for Veterinary Medicine, U.S. Food and Drug Administration, Rockville, MD 20855, USA.

出版信息

Toxins (Basel). 2015 Sep 29;7(10):3960-76. doi: 10.3390/toxins7103960.

Abstract

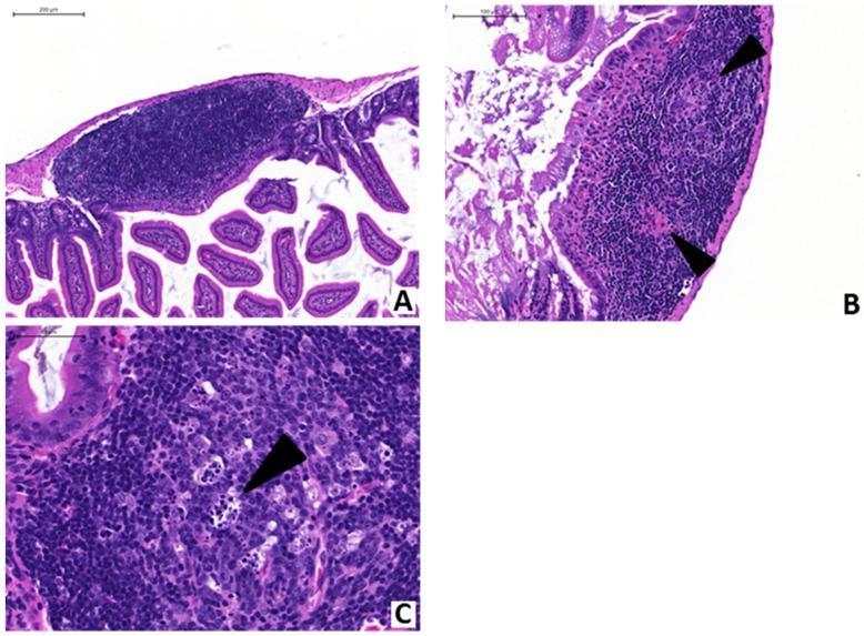
The principal portal for anthrax infection in natural animal outbreaks is the digestive tract. Enteric exposure to anthrax, which is difficult to detect or prevent in a timely manner, could be exploited as an act of terror through contamination of human or animal food. Our group has developed a novel animal model of gastrointestinal (GI) anthrax for evaluation of disease pathogenesis and experimental therapeutics, utilizing vegetative Bacillus anthracis (Sterne strain) administered to A/J mice (a complement-deficient strain) by oral gavage. We hypothesized that a humanized recombinant monoclonal antibody (mAb) * that neutralizes the protective antigen (PA) component of B. anthracis lethal toxin (LT) and edema toxin (ET) could be an effective treatment. Although the efficacy of this anti-anthrax PA mAb has been shown in animal models of inhalational anthrax, its activity in GI infection had not yet been ascertained. We hereby demonstrate that passive immunotherapy with anti-anthrax PA mAb, administered at the same time as gastrointestinal exposure to B. anthracis, prevents lethal sepsis in nearly all cases (>90%), while a delay of up to forty-eight hours in treatment still greatly reduces mortality following exposure (65%). Moreover, passive immunotherapy protects against enteric invasion, associated mucosal injury and subsequent dissemination by gastrointestinal B. anthracis, indicating that it acts to prevent the initial stages of infection. * Expired raxibacumab being cycled off the Strategic National Stockpile; biological activity confirmed by in vitro assay.

摘要

在自然发生的动物炭疽疫情中,主要的感染途径是消化道。肠道接触炭疽杆菌很难及时检测或预防,可能会被恐怖分子利用,通过污染人类或动物食物来实施恐怖行为。我们团队开发了一种新型的胃肠道炭疽动物模型,用于评估疾病发病机制和实验性治疗方法,该模型通过给A/J小鼠(一种补体缺陷型品系)经口灌胃接种炭疽杆菌(斯特恩株)的营养体。我们假设,一种能中和炭疽杆菌致死毒素(LT)和水肿毒素(ET)中保护性抗原(PA)成分的人源化重组单克隆抗体(mAb)可能是一种有效的治疗方法。尽管这种抗炭疽PA mAb在吸入性炭疽动物模型中已显示出疗效,但其在胃肠道感染中的活性尚未确定。我们在此证明,在胃肠道接触炭疽杆菌的同时给予抗炭疽PA mAb进行被动免疫治疗,几乎在所有情况下(>90%)都能预防致死性败血症,而治疗延迟长达48小时仍能大大降低接触后的死亡率(65%)。此外,被动免疫治疗可预防肠道入侵、相关的黏膜损伤以及随后胃肠道炭疽杆菌的传播,这表明它能预防感染的初始阶段。*过期的raxibacumab正从国家战略储备中淘汰;体外试验确认其生物活性。

https://cdn.ncbi.nlm.nih.gov/pmc/blobs/1c67/4626714/bb96299db619/toxins-07-03960-g001.jpg

文献AI研究员

20分钟写一篇综述,助力文献阅读效率提升50倍。

立即体验

用中文搜PubMed

大模型驱动的PubMed中文搜索引擎

马上搜索

文档翻译

学术文献翻译模型,支持多种主流文档格式。

立即体验