Suppr超能文献

骨软化症与髋内翻。股骨颈应力性骨折的一种罕见并存情况。

Osteomalacia and coxa vara. An unusual co-existence for femoral neck stress fracture.

作者信息

Sariyilmaz Kerim, Ozkunt Okan, Sungur Mustafa, Dikici Fatih, Yazicioglu Onder

机构信息

Department of Orthopedics and Traumatology, Acibadem Atakent University Hospital, Halkali/Kucukcekmece, Istanbul 34303, Turkey.

Department of Orthopedics and Traumatology, Istanbul Faculty of Medicine, Istanbul University, Fatih/Capa, Istanbul 34093, Turkey.

出版信息

Int J Surg Case Rep. 2015;16:137-40. doi: 10.1016/j.ijscr.2015.09.034. Epub 2015 Oct 3.

Abstract

INTRODUCTION

Femoral neck stress fractures are not uncommon. Several causes exist about these fractures. Osteomalacia is one of the most common cause of insufficiency fractures and coxa vara can produce a focal concentration of mechanical stress in the femoral neck and may cause stress fractures. This case study is about the co-existence of these two pathologies in a patient with bilateral femoral neck stress fracture.

PRESENTATION OF CASE

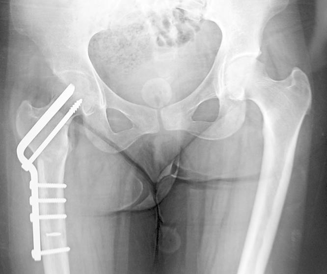
A 26-year-old woman admitted to our department with a complaint of bilateral groin pain and diagnosed as bilateral coxa vara and osteomalacia. Medical treatment for osteomalacia and staged bilateral Pauwels' osteotomy was performed. After 2 years of follow-up, good result was obtained.

DISCUSSION

There are several risk factors for stress fractures and osteomalacia and coxa vara are two of the causes. Osteomalacia results in softening of the bones and coxa vara can produce a focal concentration of stresses in the femoral neck.

CONCLUSION

Joint and bone pain without any trauma should be investigated and bone metabolism disorders should be kept in mind. There might be co-existing factors related with stress fractures, and they must be treated simultaneously.

摘要

引言

股骨颈应力性骨折并不罕见。这些骨折存在多种病因。骨软化症是导致不全骨折最常见的原因之一,而髋内翻会使股骨颈局部机械应力集中,可能引发应力性骨折。本病例研究涉及一名双侧股骨颈应力性骨折患者同时存在这两种病理情况。

病例介绍

一名26岁女性因双侧腹股沟疼痛入院,被诊断为双侧髋内翻和骨软化症。对骨软化症进行了药物治疗,并分期进行了双侧 Pauwels 截骨术。经过2年随访,取得了良好效果。

讨论

应力性骨折有多种危险因素,骨软化症和髋内翻是其中两个原因。骨软化症会导致骨骼软化,髋内翻会使股骨颈局部应力集中。

结论

对于无任何外伤的关节和骨骼疼痛应进行检查,并牢记骨代谢紊乱。可能存在与应力性骨折相关的并存因素,必须同时进行治疗。

https://cdn.ncbi.nlm.nih.gov/pmc/blobs/1d5b/4643467/7cac44e7ef3b/gr1.jpg

相似文献

1
Osteomalacia and coxa vara. An unusual co-existence for femoral neck stress fracture.
Int J Surg Case Rep. 2015;16:137-40. doi: 10.1016/j.ijscr.2015.09.034. Epub 2015 Oct 3.
6
[A rare case of bilateral femoral neck fracture in a 5-year-old girl with autosomal dominant osteopetrosis type 2].
Orthopadie (Heidelb). 2022 Jun;51(6):507-510. doi: 10.1007/s00132-022-04262-5. Epub 2022 May 23.
7
Bilateral femoral neck fractures secondary to chronic carbamazepine use treated by bilateral dynamic hip screw: A case report.
Int J Surg Case Rep. 2015;6C:111-3. doi: 10.1016/j.ijscr.2014.12.019. Epub 2014 Dec 15.
8
Stress fractures of the femoral neck and coxa vara.
Arch Orthop Trauma Surg. 2003 Jul;123(6):273-7. doi: 10.1007/s00402-003-0514-z. Epub 2003 May 20.
10
Management of Coxa Vara Septica and Pseudoarthrosis of the Femoral Neck: A Case Report.
Am J Case Rep. 2017 Apr 23;18:440-443. doi: 10.12659/ajcr.902784.

引用本文的文献

1
Bilateral femoral neck stress fractures in elderly individuals: A case report and literature review.
Medicine (Baltimore). 2023 Sep 15;102(37):e34681. doi: 10.1097/MD.0000000000034681.
3
Multiple stress fractures of unilateral femur: A case report.
World J Clin Cases. 2022 May 6;10(13):4280-4287. doi: 10.12998/wjcc.v10.i13.4280.
4
A Case of Femoral Neck Insufficiency Fracture due to Tumor-Induced Osteomalacia.
Case Rep Orthop. 2021 Oct 6;2021:6668006. doi: 10.1155/2021/6668006. eCollection 2021.
5
Single-stage surgical correction of a bilateral acquired coxa vara deformity in a young woman.
BMJ Case Rep. 2021 Oct 5;14(10):e245754. doi: 10.1136/bcr-2021-245754.
8
Total Hip Arthroplasty for Bilateral Femoral Neck Stress Fracture: A Case Report and Review of the Literature.
Adv Orthop. 2019 Dec 14;2019:2720736. doi: 10.1155/2019/2720736. eCollection 2019.

本文引用的文献

1
Diagnosis and management of vitamin D deficiency.
BMJ. 2010 Jan 11;340:b5664. doi: 10.1136/bmj.b5664.
2
Valgus intertrochanteric osteotomy with single-angled 130° plate fixation for fractures and non-unions of the femoral neck.
Int Orthop. 2010 Dec;34(8):1291-5. doi: 10.1007/s00264-009-0885-z. Epub 2009 Nov 28.
3
Modified Pauwels' intertrochanteric osteotomy in neglected femoral neck fracture.
Clin Orthop Relat Res. 2009 Apr;467(4):1064-73. doi: 10.1007/s11999-008-0695-4. Epub 2009 Jan 14.
4
Spontaneous bilateral femoral neck fractures associated with a low serum level of vitamin D in a young adult.
J Arthroplasty. 2009 Feb;24(2):322.e1-4. doi: 10.1016/j.arth.2008.01.309. Epub 2008 Apr 10.
5
Vitamin D deficiency: a worldwide problem with health consequences.
Am J Clin Nutr. 2008 Apr;87(4):1080S-6S. doi: 10.1093/ajcn/87.4.1080S.
6
Displaced stress fracture of the femoral neck treated by valgus subtrochanteric osteotomy: 2 case studies.
Am J Sports Med. 2007 Sep;35(9):1567-70. doi: 10.1177/0363546507299241. Epub 2007 Mar 2.
7
Interventions for preventing and treating stress fractures and stress reactions of bone of the lower limbs in young adults.
Cochrane Database Syst Rev. 2005 Apr 18;2005(2):CD000450. doi: 10.1002/14651858.CD000450.pub2.
9
Stress fractures of the femoral neck and coxa vara.
Arch Orthop Trauma Surg. 2003 Jul;123(6):273-7. doi: 10.1007/s00402-003-0514-z. Epub 2003 May 20.
10
Spontaneous bilateral displaced femoral neck fractures in nutritional osteomalacia--a case report.
Acta Orthop Scand. 2001 Feb;72(1):94-6. doi: 10.1080/000164701753606770.

文献AI研究员

20分钟写一篇综述,助力文献阅读效率提升50倍。

立即体验

用中文搜PubMed

大模型驱动的PubMed中文搜索引擎

马上搜索

文档翻译

学术文献翻译模型,支持多种主流文档格式。

立即体验