Albini Adriana, Pagani Arianna, Pulze Laura, Bruno Antonino, Principi Elisa, Congiu Terenzio, Gini Elisabetta, Grimaldi Annalisa, Bassani Barbara, De Flora Silvio, de Eguileor Magda, Noonan Douglas M
Laboratory of Translational Research, IRCCS Arcispedale Santa Maria Nuova, Reggio Emilia, Italy.
Department of Biotechnologies and Life Sciences, University of Insubria, Varese, Italy ; Scientific and Technology Park, IRCCS MultiMedica, Milano, Italy.
Int J Nanomedicine. 2015 Sep 29;10:6133-45. doi: 10.2147/IJN.S85275. eCollection 2015.
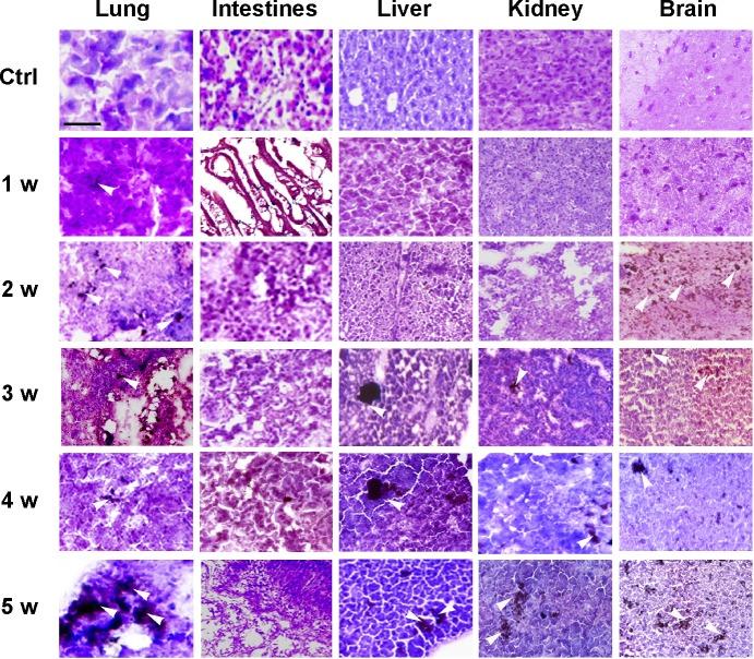
Carbon nanotubes (CNTs) have been extensively investigated and employed for industrial use because of their peculiar physical properties, which make them ideal for many industrial applications. However, rapid growth of CNT employment raises concerns about the potential risks and toxicities for public health, environment, and workers associated with the manufacture and use of these new materials. Here we investigate the main routes of entry following environmental exposure to multi-wall CNTs (MWCNTs; currently the most widely used in industry). We developed a novel murine model that could represent a surrogate of a workplace exposure to MWCNTs. We traced the localization of MWCNTs and their possible role in inducing an innate immune response, inflammation, macrophage recruitment, and inflammatory conditions. Following environmental exposure of CD1 mice, we observed that MWCNTs rapidly enter and disseminate in the organism, initially accumulating in lungs and brain and later reaching the liver and kidney via the bloodstream. Since recent experimental studies show that CNTs are associated with the aggregation process of proteins associated with neurodegenerative diseases, we investigated whether MWCNTs are able to induce amyloid fibril production and accumulation. Amyloid deposits in spatial association with macrophages and MWCNT aggregates were found in the brain, liver, lungs, and kidneys of exposed animals. Our data suggest that accumulation of MWCNTs in different organs is associated with inflammation and amyloid accumulation. In the brain, where we observed rapid accumulation and amyloid fibril deposition, exposure to MWCNTs might enhance progression of neurodegenerative and other amyloid-related diseases. Our data highlight the conclusion that, in a novel rodent model of exposure, MWCNTs may induce macrophage recruitment, activation, and amyloid deposition, causing potential damage to several organs.
碳纳米管(CNTs)因其独特的物理性质而被广泛研究并应用于工业领域,这些特性使其成为许多工业应用的理想材料。然而,碳纳米管使用的迅速增长引发了人们对与这些新材料的制造和使用相关的公共健康、环境及工人潜在风险和毒性的担忧。在此,我们研究了环境暴露于多壁碳纳米管(MWCNTs;目前工业中使用最广泛的碳纳米管)后的主要进入途径。我们开发了一种新型小鼠模型,该模型可代表工作场所暴露于MWCNTs的情况。我们追踪了MWCNTs的定位及其在诱导先天免疫反应、炎症、巨噬细胞募集和炎症状态方面可能发挥的作用。在对CD1小鼠进行环境暴露后,我们观察到MWCNTs迅速进入机体并扩散,最初积聚在肺和脑中,随后通过血液循环到达肝脏和肾脏。由于最近的实验研究表明碳纳米管与神经退行性疾病相关蛋白质的聚集过程有关,我们研究了MWCNTs是否能够诱导淀粉样纤维的产生和积累。在暴露动物的脑、肝、肺和肾中发现了与巨噬细胞和MWCNT聚集体在空间上相关的淀粉样沉积物。我们的数据表明MWCNTs在不同器官中的积累与炎症和淀粉样蛋白积累有关。在脑中,我们观察到其迅速积累和淀粉样纤维沉积,暴露于MWCNTs可能会加速神经退行性疾病和其他淀粉样相关疾病的进展。我们的数据突出了这样一个结论,即在一种新型的暴露啮齿动物模型中,MWCNTs可能诱导巨噬细胞募集、激活和淀粉样蛋白沉积,对多个器官造成潜在损害。