• 文献检索
  • 文档翻译
  • 深度研究
  • 学术资讯
  • Suppr Zotero 插件Zotero 插件
  • 邀请有礼
  • 套餐&价格
  • 历史记录
应用&插件
Suppr Zotero 插件Zotero 插件浏览器插件Mac 客户端Windows 客户端微信小程序
定价
高级版会员购买积分包购买API积分包
服务
文献检索文档翻译深度研究API 文档MCP 服务
关于我们
关于 Suppr公司介绍联系我们用户协议隐私条款
关注我们

Suppr 超能文献

核心技术专利:CN118964589B侵权必究
粤ICP备2023148730 号-1Suppr @ 2026

文献检索

告别复杂PubMed语法,用中文像聊天一样搜索,搜遍4000万医学文献。AI智能推荐,让科研检索更轻松。

立即免费搜索

文件翻译

保留排版,准确专业,支持PDF/Word/PPT等文件格式,支持 12+语言互译。

免费翻译文档

深度研究

AI帮你快速写综述,25分钟生成高质量综述,智能提取关键信息,辅助科研写作。

立即免费体验

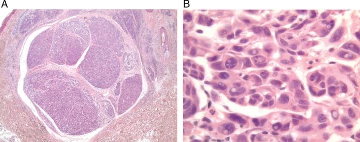
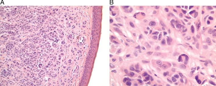
Histopathology of melanocytic lesions in a family with an inherited BAP1 mutation.

作者信息

O'Shea Sally J, Mitra Angana, Graham Jennifer L, Charlton Ruth, Adlard Julian, Merchant Will, Newton-Bishop Julia A

机构信息

Leeds Institute of Cancer and Pathology, Section of Epidemiology and Biostatistics, University of Leeds, Leeds, UK.

Dermatology, St. James's University Hospital, Leeds, UK.

出版信息

J Cutan Pathol. 2016 Mar;43(3):287-9. doi: 10.1111/cup.12625. Epub 2015 Oct 12.

DOI:10.1111/cup.12625
PMID:26458093
原文链接:https://pmc.ncbi.nlm.nih.gov/articles/PMC4819440/
Abstract
摘要
https://cdn.ncbi.nlm.nih.gov/pmc/blobs/8abb/4819440/67b5237b0e0d/CUP-43-287-g002.jpg
https://cdn.ncbi.nlm.nih.gov/pmc/blobs/8abb/4819440/eca49277393f/CUP-43-287-g001.jpg
https://cdn.ncbi.nlm.nih.gov/pmc/blobs/8abb/4819440/67b5237b0e0d/CUP-43-287-g002.jpg
https://cdn.ncbi.nlm.nih.gov/pmc/blobs/8abb/4819440/eca49277393f/CUP-43-287-g001.jpg
https://cdn.ncbi.nlm.nih.gov/pmc/blobs/8abb/4819440/67b5237b0e0d/CUP-43-287-g002.jpg

相似文献

1
Histopathology of melanocytic lesions in a family with an inherited BAP1 mutation.一个具有遗传性BAP1突变的家族中黑素细胞病变的组织病理学
J Cutan Pathol. 2016 Mar;43(3):287-9. doi: 10.1111/cup.12625. Epub 2015 Oct 12.
2
Histomorphologic spectrum of BAP1 negative melanocytic neoplasms in a family with BAP1-associated cancer susceptibility syndrome.患有BAP1相关癌症易感性综合征的家族中BAP1阴性黑素细胞肿瘤的组织形态学谱
J Cutan Pathol. 2015 Jun;42(6):406-12. doi: 10.1111/cup.12493. Epub 2015 May 12.
3
The morphologic spectrum of germline-mutated BAP1-inactivated melanocytic tumors includes lesions with conventional nevic melanocytes: A case report and review of literature.种系突变的BAP1失活黑素细胞肿瘤的形态学谱包括具有传统痣性黑素细胞的病变:一例病例报告及文献复习。
J Cutan Pathol. 2019 Nov;46(11):852-857. doi: 10.1111/cup.13525. Epub 2019 Jul 4.
4
The tumor suppressor BAP1 cooperates with BRAFV600E to promote tumor formation in cutaneous melanoma.抑癌基因 BAP1 与 BRAFV600E 协同作用促进皮肤黑色素瘤的肿瘤形成。
Pigment Cell Melanoma Res. 2019 Mar;32(2):269-279. doi: 10.1111/pcmr.12735. Epub 2018 Sep 24.
5
Combined BRAF(V600E)-positive melanocytic lesions with large epithelioid cells lacking BAP1 expression and conventional nevomelanocytes.同时具有 BRAF(V600E) 阳性的黑色素细胞病变、大的上皮样细胞且缺乏 BAP1 表达以及常规的黑色素细胞。
Am J Surg Pathol. 2013 Feb;37(2):193-9. doi: 10.1097/PAS.0b013e318263648c.
6
BAP1-inactivated melanocytic tumor with preserved BAP1 expression? Morphology to the rescue!BAP1 失活的黑色素细胞肿瘤伴 BAP1 表达保留?形态学来拯救!
J Cutan Pathol. 2020 May;47(5):459-461. doi: 10.1111/cup.13671. Epub 2020 Mar 6.
7
Histomorphologic spectrum of germline-related and sporadic BAP1-inactivated melanocytic tumors.胚系相关和散发 BAP1 失活的黑色素细胞肿瘤的组织形态学谱。
J Am Acad Dermatol. 2018 Sep;79(3):525-534. doi: 10.1016/j.jaad.2018.05.005. Epub 2018 May 10.
8
PReferentially expressed antigen in MElanoma (PRAME) expression in BRCA1-associated protein (BAP1)-inactivated melanocytic tumors and deep penetrating nevi: A pilot study.黑色素瘤中优先表达的抗原(PRAME)在BRCA1相关蛋白(BAP1)失活的黑素细胞肿瘤和深部穿透性痣中的表达:一项初步研究。
J Cutan Pathol. 2021 Apr;48(4):597-600. doi: 10.1111/cup.13905. Epub 2020 Nov 23.
9
BRCA1-associated protein (BAP1)-inactivated melanocytic tumors.BRCA1相关蛋白(BAP1)失活的黑素细胞肿瘤
J Cutan Pathol. 2019 Dec;46(12):965-972. doi: 10.1111/cup.13530. Epub 2019 Jul 11.
10
BAP1-Inactivated Melanoma Arising From BAP1-Inactivated Melanocytic Tumor in a Patient With BAP1 Germline Mutation: A Case Report and Review of the Literature.BAP1 失活致黑色素瘤发生于 BAP1 胚系突变患者的 BAP1 失活黑素细胞肿瘤:病例报告及文献复习。
Am J Dermatopathol. 2023 Feb 1;45(2):117-122. doi: 10.1097/DAD.0000000000002332. Epub 2022 Dec 19.

引用本文的文献

1
Novel insights into the BAP1-inactivated melanocytic tumor.对BAP1失活的黑素细胞性肿瘤的新见解。
Mod Pathol. 2022 May;35(5):664-675. doi: 10.1038/s41379-021-00976-7. Epub 2021 Dec 2.
2
Biological Mechanisms and Clinical Significance of Mutations in Human Cancer.人类癌症突变的生物学机制和临床意义。
Cancer Discov. 2020 Aug;10(8):1103-1120. doi: 10.1158/2159-8290.CD-19-1220. Epub 2020 Jul 20.
3
A population-based analysis of germline BAP1 mutations in melanoma.一项基于人群的黑色素瘤种系BAP1突变分析。

本文引用的文献

1
Histomorphologic spectrum of BAP1 negative melanocytic neoplasms in a family with BAP1-associated cancer susceptibility syndrome.患有BAP1相关癌症易感性综合征的家族中BAP1阴性黑素细胞肿瘤的组织形态学谱
J Cutan Pathol. 2015 Jun;42(6):406-12. doi: 10.1111/cup.12493. Epub 2015 May 12.
2
Ambiguous melanocytic tumors with loss of 3p21.伴有3p21缺失的不明确黑素细胞肿瘤
Am J Surg Pathol. 2014 Aug;38(8):1088-95. doi: 10.1097/PAS.0000000000000209.
3
BAP1 cancer syndrome: malignant mesothelioma, uveal and cutaneous melanoma, and MBAITs.
Hum Mol Genet. 2017 Feb 15;26(4):717-728. doi: 10.1093/hmg/ddw403.
BAP1 癌症综合征:恶性间皮瘤、葡萄膜和皮肤黑色素瘤以及 MBAITs。
J Transl Med. 2012 Aug 30;10:179. doi: 10.1186/1479-5876-10-179.
4
Germline BAP1 mutation predisposes to uveal melanoma, lung adenocarcinoma, meningioma, and other cancers.胚系 BAP1 突变易患葡萄膜黑色素瘤、肺腺癌、脑膜瘤和其他癌症。
J Med Genet. 2011 Dec;48(12):856-9. doi: 10.1136/jmedgenet-2011-100156. Epub 2011 Sep 22.
5
Germline mutations in BAP1 predispose to melanocytic tumors.胚系 BAP1 基因突变可导致黑色素细胞肿瘤。
Nat Genet. 2011 Aug 28;43(10):1018-21. doi: 10.1038/ng.910.