Suppr超能文献

用于骨组织工程的精氨酸-甘氨酸-天冬氨酸修饰的壳聚糖/羟基磷灰石支架的制备与评价

Preparation and evaluation of an Arg-Gly-Asp-modified chitosan/hydroxyapatite scaffold for application in bone tissue engineering.

作者信息

Chen Lin, Li Baolin, Xiao Xiao, Meng Qinggang, Li Wei, Yu Qian, Bi Jiaqi, Cheng Yong, Qu Zhiwei

机构信息

Department of Pathogenic Microorganisms, The Second Affiliated Hospital, Harbin Medical University, Harbin, Heilongjiang 150081, P.R. China.

Department of Orthopedic Surgery, The First Hospital of Harbin City, Harbin Medical University, Harbin, Heilongjiang 150001, P.R. China.

出版信息

Mol Med Rep. 2015 Nov;12(5):7263-70. doi: 10.3892/mmr.2015.4371. Epub 2015 Sep 25.

Abstract

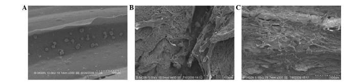
Bone tissue engineering has become a promising method for the repair of bone defects, and the production of a scaffold with high cell affinity and osseointegrative properties is crucial for successful bone substitute. Chitosan (CS)/hydroxyapatite (HA) composite was prepared by in situ compositing combined with lyophilization, and further modified by arginine‑glycine‑aspartic acid (RGD) via physical adsorption. In order to evaluate the cell adhesion rate, viability, morphology, and alkaline phosphatase (ALP) activity, the RGD‑CS/HA scaffold was seeded with bone marrow stromal cells (BMSCs). The osseointegrative properties of the RGD‑CS/HA scaffold were evaluated by in vivo heterotopic ossification and in vivo bone defect repair. After 4 h culture with the RGD‑CS/HA scaffold, the adhesion rate of the BMSCs was 80.7%. After 3 days, BMSCs were fusiform in shape and evenly distributed on the RGD‑CS/HA scaffold. Formation of extracellular matrix and numerous cell‑cell interactions were observed after 48 h of culture, with an ALP content of 0.006 ± 0.0008 U/l/ng. Furthermore, the osseointegrative ability and biomechanical properties of the RGD‑CS/HA scaffold were comparable to that of normal bone tissue. The biocompatibility, cytocompatibility, histocompatibility and osseointegrative properties of the RGD‑CS/HA scaffold support its use in bone tissue engineering applications.

摘要

骨组织工程已成为修复骨缺损的一种有前景的方法,制备具有高细胞亲和力和骨整合特性的支架对于成功的骨替代物至关重要。壳聚糖(CS)/羟基磷灰石(HA)复合材料通过原位复合结合冻干法制备,并通过精氨酸 - 甘氨酸 - 天冬氨酸(RGD)物理吸附进一步改性。为了评估细胞粘附率、活力、形态和碱性磷酸酶(ALP)活性,将骨髓间充质干细胞(BMSCs)接种到RGD - CS/HA支架上。通过体内异位骨化和体内骨缺损修复评估RGD - CS/HA支架的骨整合特性。与RGD - CS/HA支架培养4小时后,BMSCs的粘附率为80.7%。3天后,BMSCs呈梭形,均匀分布在RGD - CS/HA支架上。培养48小时后观察到细胞外基质的形成和大量细胞间相互作用,ALP含量为0.006±0.0008 U/l/ng。此外,RGD - CS/HA支架的骨整合能力和生物力学性能与正常骨组织相当。RGD - CS/HA支架的生物相容性、细胞相容性、组织相容性和骨整合特性支持其在骨组织工程应用中的使用。

https://cdn.ncbi.nlm.nih.gov/pmc/blobs/e93f/4626170/8b8ffe74f60e/MMR-12-05-7263-g00.jpg

文献AI研究员

20分钟写一篇综述,助力文献阅读效率提升50倍。

立即体验

用中文搜PubMed

大模型驱动的PubMed中文搜索引擎

马上搜索

文档翻译

学术文献翻译模型,支持多种主流文档格式。

立即体验