Suppr超能文献

现代肉鸡品系中胸大肌肌病的遗传基础。

The genetic basis of pectoralis major myopathies in modern broiler chicken lines.

作者信息

Bailey Richard A, Watson Kellie A, Bilgili S F, Avendano Santiago

机构信息

Aviagen Ltd., Newbridge, Midlothian EH28 8SZ, UK

Aviagen Ltd., Newbridge, Midlothian EH28 8SZ, UK.

出版信息

Poult Sci. 2015 Dec;94(12):2870-9. doi: 10.3382/ps/pev304. Epub 2015 Oct 16.

Abstract

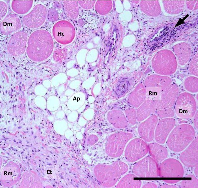
This is the first report providing estimates of the genetic basis of breast muscle myopathies (BMM) and their relationship with growth and yield in broiler chickens. In addition, this paper addresses the hypothesis that genetic selection for increase breast yield has contributed to the onset of BMM. Data were analyzed from ongoing recording of BMM within the Aviagen breeding program. This study focused on three BMM: deep pectoral myopathy (DPM; binary trait), white striping (WS; 4 categories) and wooden breast (WB; 3 categories). Data from two purebred commercial broiler lines (A and B) were utilized providing greater than 40,000 meat quality records per line. The difference in selection history between these two lines has resulted in contrasting breast yield (BY): 29% for Line A and 21% for Line B. Data were analyzed to estimate genetic parameters using a multivariate animal model including six traits: body weight (BW), processing body weight (PW), BY, DPM, WB, and WS, in addition to the appropriate fixed effects and permanent environmental effect of the dam. Results indicate similar patterns of heritability and genetic correlations for the two lines. Heritabilities (h2) of BW, PW and BY ranged from 0.271-0.418; for DPM and WB h2<0.1; and for WS h2≤0.338. Genetic correlations between the BMM and BW, PW, or BY were ≤0.132 in Line A and ≤0.248 in Line B. This paper demonstrates the polygenic nature of these traits and the low genetic relationships with BW, PW, and BY, which facilitates genetic improvement across all traits in a balanced breeding program. It also highlights the importance of understanding the environmental and/or management factors that contribute greater than 65% of the variance in the incidence of white striping of breast muscle and more than 90% of the variance of the incidence of wooden breast and deep pectoral myopathy in broiler chickens.

摘要

这是首份提供肉鸡胸肌肌病(BMM)遗传基础估计值及其与生长和产量关系的报告。此外,本文探讨了这样一种假设,即提高胸肉产量的遗传选择导致了BMM的发生。数据来自安伟捷育种计划中对BMM的持续记录。本研究聚焦于三种BMM:深部胸肌肌病(DPM;二元性状)、白纹(WS;4个类别)和木质胸肌(WB;3个类别)。利用了两个纯系商业肉鸡品系(A和B)的数据,每个品系提供了超过40,000条肉质记录。这两个品系在选择历史上的差异导致了胸肉产量(BY)的对比:A系为29%,B系为21%。除了母本的适当固定效应和永久环境效应外,还使用了包含六个性状(体重(BW)、屠宰体重(PW)、BY、DPM、WB和WS)的多变量动物模型对数据进行分析,以估计遗传参数。结果表明两个品系的遗传力和遗传相关性模式相似。BW、PW和BY的遗传力(h2)范围为0.271 - 0.418;DPM和WB的h2<0.1;WS的h2≤0.338。A系中BMM与BW、PW或BY之间的遗传相关性≤0.132,B系中≤0.248。本文证明了这些性状的多基因性质以及它们与BW、PW和BY的低遗传关系,这有利于在平衡育种计划中对所有性状进行遗传改良。它还强调了理解环境和/或管理因素的重要性,这些因素导致肉鸡胸肌白纹发生率超过65%的变异,以及木质胸肌和深部胸肌肌病发生率超过90%的变异。

https://cdn.ncbi.nlm.nih.gov/pmc/blobs/d2e4/4988535/016a6a673a2b/pev304fig1.jpg

文献AI研究员

20分钟写一篇综述,助力文献阅读效率提升50倍。

立即体验

用中文搜PubMed

大模型驱动的PubMed中文搜索引擎

马上搜索

文档翻译

学术文献翻译模型,支持多种主流文档格式。

立即体验