Suppr超能文献

MYH9肾病。

MYH9 nephropathy.

作者信息

Oh Taehoon, Jung Seo Hyun, Taek Lee Kyu, Jo Kim Han, Jun Kim Hwi, Lee Ji-Hye, Il Cheong Hae, Young Lee Eun

机构信息

Department of Internal Medicine, Soonchunhyang University Cheonan Hospital, Cheonan, Korea.

出版信息

Kidney Res Clin Pract. 2015 Mar;34(1):53-6. doi: 10.1016/j.krcp.2014.09.003. Epub 2014 Nov 28.

Abstract

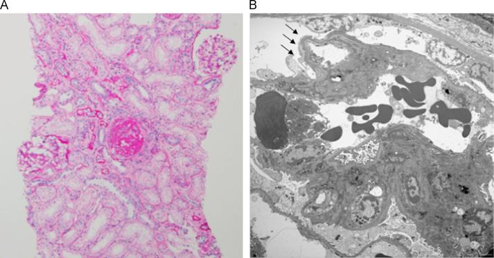
MYH9-related disorder is an autosomal dominant disease caused by a mutation in the MYH9 gene, which encodes nonmuscle myosin heavy chain IIA (NMMHC-IIA). This disease is characterized by giant platelets, thrombocytopenia, granulocyte inclusion bodies, proteinuria, and high-pitch sensorineural deafness. Nephropathy has been observed in 30% of patients with MYH9-related disorder. The characteristic features are early onset proteinuria and rapidly progressing renal disorder. However, the prognosis of MYH9 nephropathy remains unclear. Herein, we describe a 36-year-old woman who presented with proteinuria and was diagnosed with MYH9 nephropathy via renal biopsy and gene analysis. Her proteinuria improved after administration of an angiotensin II receptor blocker, but was aggravated after changing to a calcium channel blocker.

摘要

MYH9相关疾病是一种常染色体显性疾病,由MYH9基因突变引起,该基因编码非肌球蛋白重链IIA(NMMHC-IIA)。这种疾病的特征是巨大血小板、血小板减少、粒细胞包涵体、蛋白尿和高音调感音神经性耳聋。在30%的MYH9相关疾病患者中观察到肾病。其特征性表现为早期蛋白尿和快速进展的肾脏疾病。然而,MYH9肾病的预后仍不清楚。在此,我们描述了一名36岁的女性,她出现蛋白尿,经肾活检和基因分析被诊断为MYH9肾病。服用血管紧张素II受体阻滞剂后她的蛋白尿有所改善,但改用钙通道阻滞剂后病情加重。

https://cdn.ncbi.nlm.nih.gov/pmc/blobs/067c/4570591/3507d37e5360/gr1.jpg

文献AI研究员

20分钟写一篇综述,助力文献阅读效率提升50倍。

立即体验

用中文搜PubMed

大模型驱动的PubMed中文搜索引擎

马上搜索

文档翻译

学术文献翻译模型,支持多种主流文档格式。

立即体验