Suppr超能文献

泌尿系统集合系统以外的炎性肌纤维母细胞瘤:1例罕见病例报告并文献复习

Inflammatory Myofibroblastic Tumor of Genitourinary Tract Beyond Collecting System: A Rare Case Report With Literature Review.

作者信息

Xu Ling-Fan, Zhou Jun, Liang Chao-Zhao

机构信息

From the Department of Urology, The First Affiliated Hospital of Anhui Medical University, Hefei, China (LFX, JZ, C-ZL).

出版信息

Medicine (Baltimore). 2015 Oct;94(42):e1706. doi: 10.1097/MD.0000000000001706.

Abstract

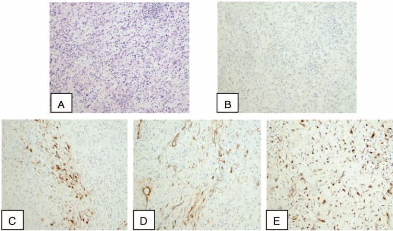
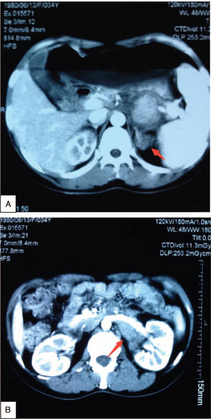
Inflammatory myofibroblastic tumor (IMT) rarely arises in genitourinary tract especially beyond collecting system, which determines the unspecific clinic symptoms and sometimes can mimic malignancy. Therefore, IMT's diagnosis may usually be a pitfall. This case report characterizes a 35-year-old woman with a history of lower quadrant lasting pain followed by fever. Furthermore, radiologic examinations revealed that there were 2 lesions located in left adrenal area and left renalis. Owing to the anatomic complexity, the surgical resection was not complete. The pathologic diagnosis of the lesions was IMT. Adjuvant nonsteroids anti-inflammatory drugs were administrated after the operation. The symptoms were controlled finally and no further growing lesion was observed during a 1-year follow-up.Inflammatory myofibroblastic tumor is rare in genitourinary tract beyond the collecting system. Diagnosis should be based on histopathology. Presently, the authors report this rare case with the aim to share the experience regarding differential diagnosis and therapy.

摘要

炎性肌纤维母细胞瘤(IMT)很少发生于泌尿生殖道,尤其是集合系统以外的部位,这导致其临床症状不具特异性,有时可能类似恶性肿瘤。因此,IMT的诊断通常可能存在陷阱。本病例报告描述了一名35岁女性,有下腹部持续疼痛伴发热病史。此外,影像学检查显示左肾上腺区和左肾有2个病灶。由于解剖结构复杂,手术切除不完全。病灶的病理诊断为IMT。术后给予辅助性非甾体抗炎药。症状最终得到控制,在1年的随访中未观察到病灶进一步生长。炎性肌纤维母细胞瘤在集合系统以外的泌尿生殖道中罕见。诊断应基于组织病理学。目前,作者报告此罕见病例旨在分享鉴别诊断和治疗方面的经验。

https://cdn.ncbi.nlm.nih.gov/pmc/blobs/2744/4620822/7ab6f8556641/medi-94-e1706-g001.jpg

文献AI研究员

20分钟写一篇综述,助力文献阅读效率提升50倍。

立即体验

用中文搜PubMed

大模型驱动的PubMed中文搜索引擎

马上搜索

文档翻译

学术文献翻译模型,支持多种主流文档格式。

立即体验