Suppr超能文献

胃癌组织发生途径的新见解

New Insights in Histogenetic Pathways of Gastric Cancer.

作者信息

Gurzu Simona, Sugimura Haruhiko, Orlowska Janina, Szentirmay Zoltan, Jung Ioan

机构信息

From the Department of Pathology, University of Medicine and Pharmacy of Tirgu-Mures, Romania (SG, IJ); Department of Tumor Pathology, Hamamatsu University School of Medicine, Hamamatsu, Japan (HS); Department of Pathology, Maria Sklodowska-Curie Memorial Cancer Centre and Institute of Oncology, Warsaw, Poland (JO); and Department of Molecular Pathology, National Institute of Oncology, Budapest, Hungary (ZS).

出版信息

Medicine (Baltimore). 2015 Oct;94(42):e1810. doi: 10.1097/MD.0000000000001810.

Abstract

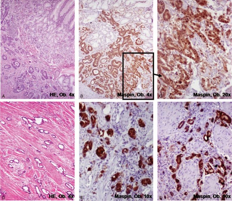
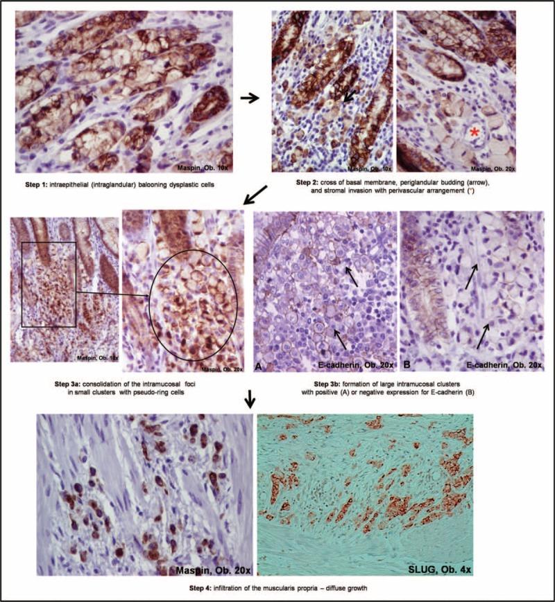
The aim of this paper was to describe 3 possible histogenetic pathways for poorly cohesive (diffuse) carcinomas and 2 for intestinal-type gastric carcinomas (GCs), which might influence the behavior of GC. In the present observational study, 102 patients with early (n = 50) and advanced GCs (n = 52) were evaluated, and the histogenetic background was analyzed. All of the cases were sporadic GCs. For particular aspects, Maspin, E-cadherin, and SLUG immunostains were performed. For our final conclusions, the results were correlated with literature data. In early stages, poorly cohesive carcinomas can display 3 histogenetic pathways, with particular molecular behaviors: "carcinoma with intraepithelial pagetoid onset" (with or without a switch from E-cadherin to SLUG positivity), "carcinoma with early lymphatic invasion" (carcinoma limited to mucosa but with carcinomatosis of the lymph vessels from subjacent layers), and "microglandular-type poorly cohesive carcinoma" (the onset is similar with adenocarcinoma but abrupt dedifferentiation can be seen in the submucosa, with persistence of a dual component in the deep layers). The intestinal type carcinoma can be developed on the background of superficially located dysplasia ("classic adenocarcinoma") or in the submucosal heterotopic mucosa ("adenocarcinoma arising from the mucosal infolding in the submucosa"). Based on personal observations correlated with literature data, 5 histopathogenetic pathways are proposed with specific denominations. Each of them can partially explain the aberrant behavior of early gastric cancer.

摘要

本文旨在描述低黏附性(弥漫性)癌的3种可能的组织发生途径以及肠型胃癌(GC)的2种组织发生途径,这些途径可能影响GC的生物学行为。在本观察性研究中,对102例早期(n = 50)和进展期GC(n = 52)患者进行了评估,并分析了其组织发生背景。所有病例均为散发性GC。针对特定方面,进行了Maspin、E-钙黏蛋白和SLUG免疫染色。对于我们的最终结论,将结果与文献数据进行了关联。在早期阶段,低黏附性癌可表现出3种组织发生途径,并具有特定的分子行为:“上皮内派杰样起始癌”(伴有或不伴有从E-钙黏蛋白阳性转变为SLUG阳性)、“早期淋巴浸润癌”(癌局限于黏膜,但相邻层淋巴管有癌转移)和“微腺型低黏附性癌”(起始与腺癌相似,但在黏膜下层可见突然的去分化,深层持续存在双成分)。肠型癌可在浅表发育异常的背景下发生(“经典腺癌”),或在黏膜下异位黏膜中发生(“起源于黏膜下黏膜皱襞的腺癌”)。基于个人观察并与文献数据相关联,提出了5种具有特定名称的组织病理发生途径。它们中的每一种都可以部分解释早期胃癌的异常生物学行为。

https://cdn.ncbi.nlm.nih.gov/pmc/blobs/2459/4620773/10c9a8ec33ef/medi-94-e1810-g002.jpg

文献AI研究员

20分钟写一篇综述,助力文献阅读效率提升50倍。

立即体验

用中文搜PubMed

大模型驱动的PubMed中文搜索引擎

马上搜索

文档翻译

学术文献翻译模型,支持多种主流文档格式。

立即体验