Suppr超能文献

真核起始因子4H(eIF4H)介导的翻译控制在肿瘤促进中的关键作用。

Key contribution of eIF4H-mediated translational control in tumor promotion.

作者信息

Vaysse Charlotte, Philippe Céline, Martineau Yvan, Quelen Cathy, Hieblot Corinne, Renaud Claire, Nicaise Yvan, Desquesnes Aurore, Pannese Maria, Filleron Thomas, Escourrou Ghislaine, Lawson Malcolm, Rintoul Robert C, Delisle Marie Bernadette, Pyronnet Stéphane, Brousset Pierre, Prats Hervé, Touriol Christian

机构信息

INSERM U1037, CRCT, Cancer Research Center of Toulouse, Toulouse, France.

Toulouse University, Paul Sabatier, Toulouse, France.

出版信息

Oncotarget. 2015 Nov 24;6(37):39924-40. doi: 10.18632/oncotarget.5442.

Abstract

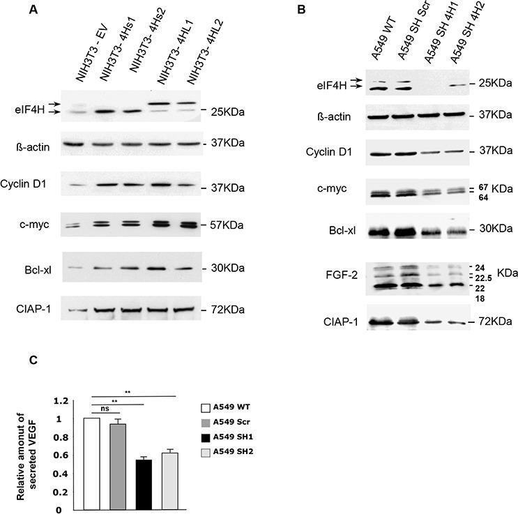
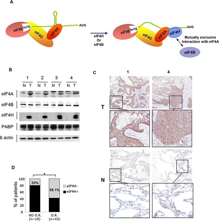
Dysregulated expression of translation initiation factors has been associated with carcinogenesis, but underlying mechanisms remains to be fully understood. Here we show that eIF4H (eukaryotic translation initiation factor 4H), an activator of the RNA helicase eIF4A, is overexpressed in lung carcinomas and predictive of response to chemotherapy. In lung cancer cells, depletion of eIF4H enhances sensitization to chemotherapy, decreases cell migration and inhibits tumor growth in vivo, in association with reduced translation of mRNA encoding cell-proliferation (c-Myc, cyclin D1) angiogenic (FGF-2) and anti-apoptotic factors (CIAP-1, BCL-xL). Conversely, each isoform of eIF4H acts as an oncogene in NIH3T3 cells by stimulating transformation, invasion, tumor growth and resistance to drug-induced apoptosis together with increased translation of IRES-containing or structured 5'UTR mRNAs. These results demonstrate that eIF4H plays a crucial role in translational control and can promote cellular transformation by preferentially regulating the translation of potent growth and survival factor mRNAs, indicating that eIF4H is a promising new molecular target for cancer therapy.

摘要

翻译起始因子的表达失调与肿瘤发生有关,但其潜在机制仍有待充分了解。在此我们表明,作为RNA解旋酶eIF4A激活剂的eIF4H(真核翻译起始因子4H)在肺癌中过表达,并可预测化疗反应。在肺癌细胞中,eIF4H的缺失增强了对化疗的敏感性,降低了细胞迁移能力,并在体内抑制了肿瘤生长,这与编码细胞增殖(c-Myc、细胞周期蛋白D1)、血管生成(FGF-2)和抗凋亡因子(CIAP-1、BCL-xL)的mRNA翻译减少有关。相反,eIF4H的每种同工型在NIH3T3细胞中通过刺激转化、侵袭、肿瘤生长和对药物诱导凋亡的抗性,以及增加含内部核糖体进入位点(IRES)或结构化5'非翻译区(UTR)mRNA的翻译,而发挥癌基因的作用。这些结果表明,eIF4H在翻译控制中起关键作用,并且可以通过优先调节强效生长和存活因子mRNA的翻译来促进细胞转化,这表明eIF4H是一种有前景的癌症治疗新分子靶点。

https://cdn.ncbi.nlm.nih.gov/pmc/blobs/2b82/4741870/30cc971380a9/oncotarget-06-39924-g001.jpg

相似文献

1
Key contribution of eIF4H-mediated translational control in tumor promotion.
Oncotarget. 2015 Nov 24;6(37):39924-40. doi: 10.18632/oncotarget.5442.
3
RNA interference influenced the proliferation and invasion of XWLC-05 lung cancer cells through inhibiting aquaporin 3.
Biochem Biophys Res Commun. 2017 Apr 8;485(3):627-634. doi: 10.1016/j.bbrc.2017.02.013. Epub 2017 Feb 9.
5
The Long Noncoding RNA MEG3 Contributes to Cisplatin Resistance of Human Lung Adenocarcinoma.
PLoS One. 2015 May 20;10(5):e0114586. doi: 10.1371/journal.pone.0114586. eCollection 2015.
7
Nrf2 knockdown by shRNA inhibits tumor growth and increases efficacy of chemotherapy in cervical cancer.
Cancer Chemother Pharmacol. 2012 Feb;69(2):485-94. doi: 10.1007/s00280-011-1722-9. Epub 2011 Aug 13.

引用本文的文献

2
Translational regulation of cell invasion through extracellular matrix-an emerging role for ribosomes.
F1000Res. 2023 Nov 29;12:1528. doi: 10.12688/f1000research.143519.1. eCollection 2023.
3
Targeted splicing therapy: new strategies for colorectal cancer.
Front Oncol. 2023 Aug 17;13:1222932. doi: 10.3389/fonc.2023.1222932. eCollection 2023.
4
A convergent malignant phenotype in B-cell acute lymphoblastic leukemia involving the splicing factor SRRM1.
NAR Cancer. 2022 Dec 9;4(4):zcac041. doi: 10.1093/narcan/zcac041. eCollection 2022 Dec.
6
Quantitative Proteomic Analysis of Cervical Cancer Tissues Identifies Proteins Associated With Cancer Progression.
Cancer Genomics Proteomics. 2022 Mar-Apr;19(2):241-258. doi: 10.21873/cgp.20317.
7
The plasticity of mRNA translation during cancer progression and therapy resistance.
Nat Rev Cancer. 2021 Sep;21(9):558-577. doi: 10.1038/s41568-021-00380-y. Epub 2021 Aug 2.
8
Cytotoxic Fractions from Extracts and -Coumaric Acid as MAPK Inhibitors.
Molecules. 2021 Feb 19;26(4):1096. doi: 10.3390/molecules26041096.
10
Overexpression of in Lung Adenocarcinoma Is a New Independent Prognostic Marker of Poor Survival.
Dis Markers. 2019 Dec 7;2019:6019637. doi: 10.1155/2019/6019637. eCollection 2019.

本文引用的文献

1
Targeting the translation machinery in cancer.
Nat Rev Drug Discov. 2015 Apr;14(4):261-78. doi: 10.1038/nrd4505. Epub 2015 Mar 6.
2
Unmasking the lung cancer epigenome.
Annu Rev Physiol. 2015;77:453-74. doi: 10.1146/annurev-physiol-021014-072018.
4
Targeting the eIF4F translation initiation complex: a critical nexus for cancer development.
Cancer Res. 2015 Jan 15;75(2):250-63. doi: 10.1158/0008-5472.CAN-14-2789.
5
RNA G-quadruplexes cause eIF4A-dependent oncogene translation in cancer.
Nature. 2014 Sep 4;513(7516):65-70. doi: 10.1038/nature13485. Epub 2014 Jul 27.
6
Single-molecule kinetics of the eukaryotic initiation factor 4AI upon RNA unwinding.
Structure. 2014 Jul 8;22(7):941-8. doi: 10.1016/j.str.2014.04.014. Epub 2014 Jun 5.
7
Endoplasmic reticulum stress is accompanied by activation of NF-κB in amyotrophic lateral sclerosis.
J Neuroimmunol. 2014 May 15;270(1-2):29-36. doi: 10.1016/j.jneuroim.2014.03.005. Epub 2014 Mar 12.
8
A role for eukaryotic initiation factor 4B overexpression in the pathogenesis of diffuse large B-cell lymphoma.
Leukemia. 2014 May;28(5):1092-102. doi: 10.1038/leu.2013.295. Epub 2013 Oct 18.
10
Eukaryotic Initiation Factor 4H Is under Transcriptional Control of p65/NF-κB.
PLoS One. 2013 Jun 11;8(6):e66087. doi: 10.1371/journal.pone.0066087. Print 2013.

文献AI研究员

20分钟写一篇综述,助力文献阅读效率提升50倍。

立即体验

用中文搜PubMed

大模型驱动的PubMed中文搜索引擎

马上搜索

文档翻译

学术文献翻译模型,支持多种主流文档格式。

立即体验