Suppr超能文献

丘脑纹状体静脉及其属支解剖变异的 susceptibility-加权成像 。(你提供的英文中“Susceptibility-Weighted”专业术语一般译为“磁敏感加权”,整句准确译文为:丘脑纹状体静脉及其属支解剖变异的磁敏感加权成像 。)

Susceptibility-Weighted Imaging of the Anatomic Variation of Thalamostriate Vein and Its Tributaries.

作者信息

Zhang Xiao-fen, Li Jian-ce, Wen Xin-dong, Ren Chuan-gen, Cai Ming, Chen Cheng-chun

机构信息

Department of Human Anatomy, Wenzhou Medical University, Wenzhou, Zhejiang, China.

Department of Radiology, the 1st Affiliated Hospital of Wenzhou Medical University, Wenzhou, Zhejiang, China.

出版信息

PLoS One. 2015 Oct 27;10(10):e0141513. doi: 10.1371/journal.pone.0141513. eCollection 2015.

Abstract

BACKGROUND AND PURPOSE

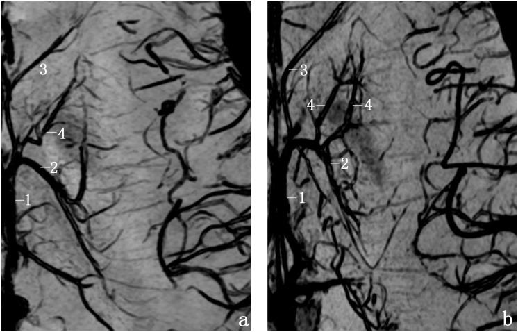
Thalamostriate vein (TSV) is an important tributary of the internal cerebral vein, which mainly drains the basal ganglia and deep medulla. The purpose of this study was to explore the anatomic variation and quality of TSV and its smaller tributaries using susceptibility-weighted imaging (SWI).

METHODS

We acquired SWI images in 40 volunteers on a 3.0T MR system using an 8-channel high-resolution phased array coil. The frequencies of the TSV and its tributaries were evaluated. We classified TSV into types I (forming a venous angle) and II (forming a false venous angle). We classified anterior caudate vein (ACV)into types 1 (1 trunk) and 2 (2 trunks) as well as into types A (joiningTSV), B (joining anterior septal vein), and C (joining the angle of both veins).

RESULTS

The TSV drains the areas of caudate nucleus, internal capsule,lentiform nucleus, external capsule, claustrum, extreme capsule and the white matter of the frontoparietal lobes,except thalamus. The frequencies of the TSV, ACV and transverse caudate vein (ACV) were 92.5%, 87.5% and 63.8%, respectively. We found TSV types I and II in 79.7%, and 20.3% with significantly different constitution ratios (P< 0.05). The most common types of ACV were type 1 (90.0%) and type A (64.3%).

CONCLUSION

The complex three-dimensional (3D) venous architecture of TSV and its small tributaries manifests great variation, with significant and practical implications for neurosurgery.

摘要

背景与目的

丘脑纹状体静脉(TSV)是大脑内静脉的重要分支,主要引流基底节和深部髓质。本研究旨在利用磁敏感加权成像(SWI)探讨TSV及其较小分支的解剖变异和质量。

方法

我们使用8通道高分辨率相控阵线圈在3.0T MR系统上对40名志愿者采集SWI图像。评估TSV及其分支的出现频率。我们将TSV分为I型(形成静脉角)和II型(形成假静脉角)。将前尾状核静脉(ACV)分为1型(1条主干)和2型(2条主干),以及A(汇入TSV)、B(汇入前间隔静脉)和C(汇入两条静脉的夹角处)型。

结果

TSV引流尾状核、内囊、豆状核、外囊、屏状核、最外囊以及额顶叶白质区域,但不包括丘脑。TSV、ACV和横尾状核静脉(TCV)的出现频率分别为92.5%、87.5%和63.8%。我们发现I型和II型TSV分别占79.7%和20.3%,构成比差异有统计学意义(P<0.05)。ACV最常见的类型是1型(90.0%)和A型(64.3%)。

结论

TSV及其小分支复杂的三维静脉结构表现出很大的变异,对神经外科手术具有重要的实际意义。

https://cdn.ncbi.nlm.nih.gov/pmc/blobs/2924/4624633/7f4d76ed1050/pone.0141513.g001.jpg

文献AI研究员

20分钟写一篇综述,助力文献阅读效率提升50倍。

立即体验

用中文搜PubMed

大模型驱动的PubMed中文搜索引擎

马上搜索

文档翻译

学术文献翻译模型,支持多种主流文档格式。

立即体验