Suppr超能文献

KINFix——一种无甲醛的非商业固定剂,专为神经外科组织标本的组织学、免疫组织化学和分子分析而优化。

KINFix--A formalin-free non-commercial fixative optimized for histological, immunohistochemical and molecular analyses of neurosurgical tissue specimens.

作者信息

Stefanits Harald, Bienkowski Michal, Galanski Markus, Mitulovic Goran, Ströbel Thomas, Gelpi Ellen, Ribalta Teresa, Broholm Helle, Hartmann Christian, Kros Johan M, Preusser Matthias, Hainfellner Johannes A

出版信息

Clin Neuropathol. 2016 Jan-Feb;35(1):3-12. doi: 10.5414/NP300907.

Abstract

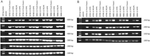
An optimal fixative should ideally combine the advantages of formalin fixation and freezing, allowing for good preservation of histology and molecular components, easy handling and storage, lack of toxicity, and low costs. Most of these criteria are fulfilled by ethanol-based solutions, and due to our good experience with the commercial RCL2 fixative, reflected by our published single-center trial, we initiated a multicenter ring trial. However, during its course, RCL2 was discontinued on the market. Therefore, we created our own agent, KINFix, composed of the same main constituents as RCL2, and employed it in our laboratory with similar results. Here we present our evaluation of the three fixatives formalin, RCL2, and KINFix from the perspective of histopathology as well as nucleic acid and protein analyses in comparison to fresh frozen tissues together with the multicenter ring trial data for RCL2. We observe that RCL2 and KINFix offer comparable histomorphology and superior template for molecular analyses than formalin. Moreover, KINFix as freely available fixative might overcome some of the difficulties related to the commercial agents. Therefore, we conclude that KINFix might be an attractive complement to formalin in tissue processing and advocate its use in neuropathological practice.

摘要

理想的固定剂应兼具福尔马林固定和冷冻的优点,能够良好地保存组织学和分子成分,易于操作和储存,无毒且成本低。基于乙醇的溶液基本满足了这些标准,并且鉴于我们在已发表的单中心试验中所反映出的,对商业RCL2固定剂的良好经验,我们启动了一项多中心环形试验。然而,在此过程中,RCL2已停产。因此,我们研制了自己的制剂KINFix,其主要成分与RCL2相同,并在我们的实验室中使用,结果相似。在此,我们从组织病理学以及核酸和蛋白质分析的角度,将福尔马林、RCL2和KINFix这三种固定剂与新鲜冷冻组织进行比较,并展示我们的评估结果,同时还给出RCL2的多中心环形试验数据。我们观察到,与福尔马林相比,RCL2和KINFix具有相当的组织形态学表现,并且在分子分析方面提供了更好的模板。此外,KINFix作为一种可免费获取的固定剂,可能会克服一些与商业制剂相关的困难。因此,我们得出结论,KINFix在组织处理中可能是福尔马林的一种有吸引力的补充,并提倡在神经病理学实践中使用它。

https://cdn.ncbi.nlm.nih.gov/pmc/blobs/2133/4766796/169361cf93ef/clinneuropathol-35-003-01.jpg

文献AI研究员

20分钟写一篇综述,助力文献阅读效率提升50倍。

立即体验

用中文搜PubMed

大模型驱动的PubMed中文搜索引擎

马上搜索

文档翻译

学术文献翻译模型,支持多种主流文档格式。

立即体验