Suppr超能文献

厚脉络膜新生血管病变与年龄相关性黄斑变性

Pachychoroid neovasculopathy and age-related macular degeneration.

作者信息

Miyake Masahiro, Ooto Sotaro, Yamashiro Kenji, Takahashi Ayako, Yoshikawa Munemitsu, Akagi-Kurashige Yumiko, Ueda-Arakawa Naoko, Oishi Akio, Nakanishi Hideo, Tamura Hiroshi, Tsujikawa Akitaka, Yoshimura Nagahisa

机构信息

Department of Ophthalmology and Visual Sciences, Kyoto University Graduate School of Medicine, Kyoto, Japan.

Center for Genomic Medicine/Inserm U.852, Kyoto University Graduate School of Medicine, Kyoto, Japan.

出版信息

Sci Rep. 2015 Nov 6;5:16204. doi: 10.1038/srep16204.

Abstract

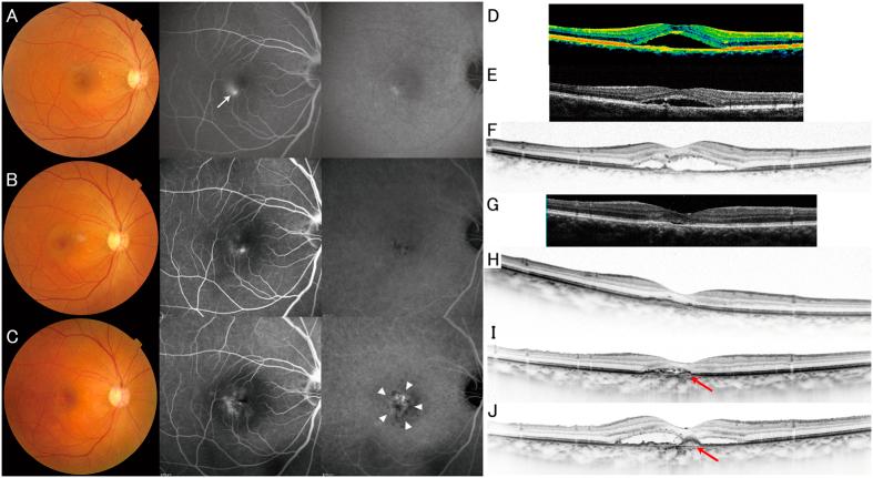
Pachychoroid neovasculopathy is a recently proposed clinical entity of choroidal neovascularization (CNV). As it often masquerades as neovascular age-related macular degeneration (AMD), it is currently controversial whether pachychoroid neovasculopathy should be distinguished from neovascular AMD. This is because its characteristics have yet to be well described. To estimate the relative prevalence of pachychoroid neovasculopathy in comparison with neovascular AMD and to investigate the phenotypic/genetic differences of the two diseases, we evaluated 200 consecutive Japanese patients who agreed to participate in the genetic study and diagnosed with pachychoroid neovasculopathy or neovascular AMD. Pachychoroid neovasculopathy was observed in 39 individuals (19.5%), which corresponds to one fourth of neovascular AMD. Patients with pachychoroid neovasculopathy were significantly younger (p = 5.1 × 10(-5)) and showed a greater subfoveal choroidal thickness (p = 3.4 × 10(-14)). Their genetic susceptibility to AMD was significantly lower than that of neovascular AMD; ARMS2 rs10490924 (p = 0.029), CFH rs800292 (p = 0.013) and genetic risk score calculated from 11 AMD susceptibility genes (p = 3.8 × 10(-3)). Current results implicate that the etiologies of the two conditions must be different. Thus, it will be necessary to distinguish these two conditions in future studies.

摘要

厚脉络膜新生血管病变是最近提出的一种脉络膜新生血管形成(CNV)的临床实体。由于它常伪装成新生血管性年龄相关性黄斑变性(AMD),目前对于厚脉络膜新生血管病变是否应与新生血管性AMD区分开来存在争议。这是因为其特征尚未得到充分描述。为了评估厚脉络膜新生血管病变相对于新生血管性AMD的相对患病率,并研究这两种疾病的表型/基因差异,我们对200名连续同意参与基因研究并被诊断为厚脉络膜新生血管病变或新生血管性AMD的日本患者进行了评估。在39名个体(19.5%)中观察到厚脉络膜新生血管病变,这相当于新生血管性AMD的四分之一。厚脉络膜新生血管病变患者明显更年轻(p = 5.1×10⁻⁵),且黄斑中心凹下脉络膜厚度更大(p = 3.4×10⁻¹⁴)。他们对AMD的遗传易感性明显低于新生血管性AMD;ARMS2 rs10490924(p = 0.029)、CFH rs800292(p = 0.013)以及根据11个AMD易感基因计算的遗传风险评分(p = 3.8×10⁻³)。目前的结果表明这两种情况的病因必然不同。因此,在未来的研究中有必要区分这两种情况。

https://cdn.ncbi.nlm.nih.gov/pmc/blobs/03cd/4635432/b14126b4675e/srep16204-f1.jpg

文献AI研究员

20分钟写一篇综述,助力文献阅读效率提升50倍。

立即体验

用中文搜PubMed

大模型驱动的PubMed中文搜索引擎

马上搜索

文档翻译

学术文献翻译模型,支持多种主流文档格式。

立即体验