Suppr超能文献

发育性静脉异常的自发性血栓形成及随后的再通

Spontaneous Thrombosis and Subsequent Recanalization of a Developmental Venous Anomaly.

作者信息

Patel Vishal J, Lall Rishi R, Desai Sohum, Mohanty Aaron

机构信息

Division of Neurosurgery, University of Texas Medical Branch at Galveston.

出版信息

Cureus. 2015 Sep 28;7(9):e334. doi: 10.7759/cureus.334.

Abstract

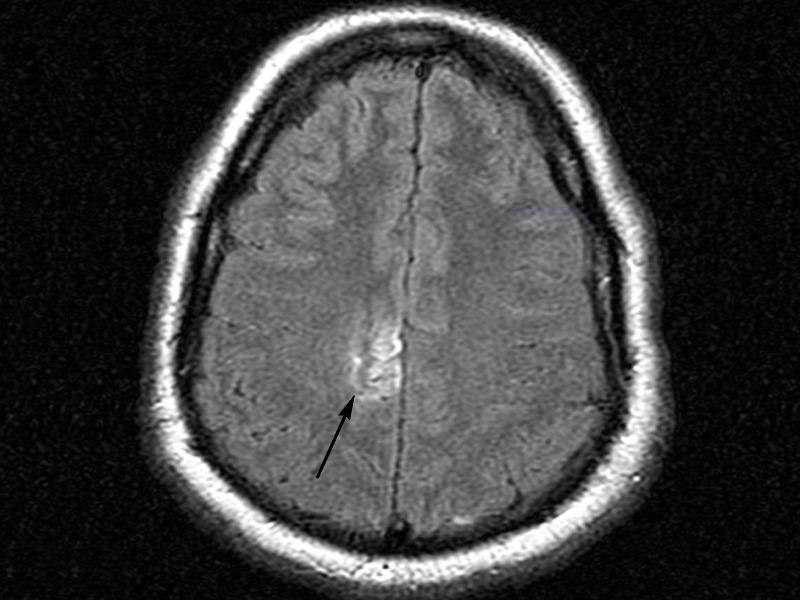
Developmental venous anomalies (DVA) are among the most common congenital malformations of the cerebral angioarchitecture. Spontaneous thrombosis of this entity is rare, and our review of the literature found only 31 reported cases of symptomatic spontaneous thrombosis of developmental venous anomalies. Here, we report a unique case describing the spontaneous thrombosis of a DVA leading to venous infarction and subsequent recanalization. The patient was a previously healthy 21-year-old male who presented with an acute onset of partial seizures. Following negative hypercoagulability studies and along with CT (computed tomography) and MR (magnetic resonance) imaging, the patient was treated with anticoagulant therapy and demonstrated complete functional recovery. Knowledge from our literature review of similar cases combined with the experience gained from this patient's treatment leads us to suggest that spontaneous DVA thrombosis and venous infarction generally has a good outcome despite initially devastating neurologic deficits. Additionally, the rarity of spontaneous DVA thromboses lends itself to the need to identify possible predisposing risk factors, chief amongst these being hypercoagulopathies.

摘要

发育性静脉异常(DVA)是脑血管结构中最常见的先天性畸形之一。该实体的自发性血栓形成很少见,我们对文献的回顾发现仅有31例关于发育性静脉异常症状性自发性血栓形成的报道病例。在此,我们报告一例独特病例,描述了发育性静脉异常的自发性血栓形成导致静脉梗死及随后的再通。患者为一名21岁既往健康男性,急性起病,出现部分性癫痫发作。在高凝状态检查结果为阴性以及进行CT(计算机断层扫描)和MR(磁共振)成像后,患者接受了抗凝治疗并实现了完全功能恢复。我们对类似病例的文献回顾所获知识,结合从该患者治疗中获得的经验,使我们认为,尽管最初存在严重的神经功能缺损,但发育性静脉异常的自发性血栓形成和静脉梗死通常预后良好。此外,发育性静脉异常自发性血栓形成的罕见性使得有必要识别可能的易感风险因素,其中最主要的是高凝性疾病。

https://cdn.ncbi.nlm.nih.gov/pmc/blobs/d8aa/4627833/aa79d2d39677/cureus-0007-000000000334-i01.jpg

文献AI研究员

20分钟写一篇综述,助力文献阅读效率提升50倍。

立即体验

用中文搜PubMed

大模型驱动的PubMed中文搜索引擎

马上搜索

文档翻译

学术文献翻译模型,支持多种主流文档格式。

立即体验