Suppr超能文献

耳鸣患者纹状体与听觉皮层之间的功能连接增强。

Increased striatal functional connectivity with auditory cortex in tinnitus.

作者信息

Hinkley Leighton B, Mizuiri Danielle, Hong OiSaeng, Nagarajan Srikantan S, Cheung Steven W

机构信息

Department of Radiology and Biomedical Imaging, University of California at San Francisco, San Francisco CA, USA.

Department of Community Health Systems, School of Nursing, University of California at San Francisco, San Francisco CA, USA.

出版信息

Front Hum Neurosci. 2015 Oct 28;9:568. doi: 10.3389/fnhum.2015.00568. eCollection 2015.

Abstract

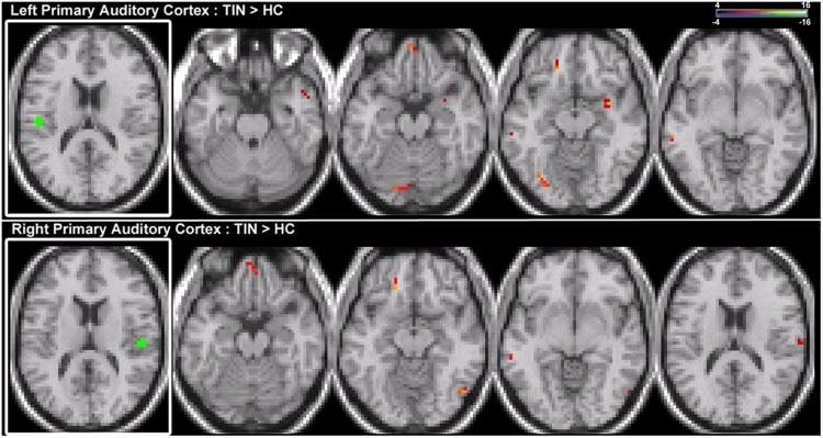
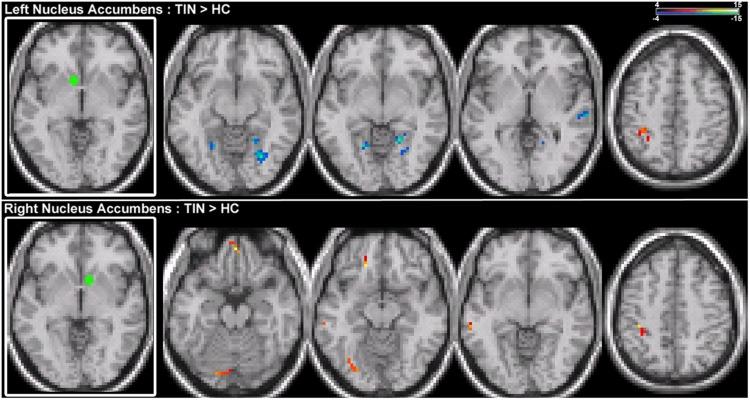
Tinnitus is a common auditory perceptual disorder whose neural substrates are under intense debate. One physiologically based model posits the dorsal striatum to play a key role in gating auditory phantoms to perceptual awareness. Here, we directly test this model along with the roles of auditory and auditory-limbic networks in tinnitus non-invasively by comparing resting-state fMRI functional connectivity patterns in chronic tinnitus patients against matched control subjects without hearing loss. We assess resting-state functional connectivity of the caudate dorsal striatum (area LC), caudate head (CH), nucleus accumbens (NA), and primary auditory cortex (A1) to determine patterns of abnormal connectivity. In chronic tinnitus, increases in ipsilateral striatal-auditory cortical connectivity are found consistently only in area LC. Other patterns of increased connectivity are as follows: (1) right striatal area LC, A1, CH, and NA with parietal cortex, (2) left and right CHs with dorsal pre-frontal cortex, (3) NA and A1 with cerebellum, hippocampus, visual and ventral pre-frontal cortex. Those findings provide further support for a striatal gating model of tinnitus, where dysfunctionally permissive area LC enables auditory phantoms to reach perceptual awareness.

摘要

耳鸣是一种常见的听觉感知障碍,其神经基础存在激烈争论。一种基于生理学的模型认为背侧纹状体在将听觉幻像门控至感知意识方面起关键作用。在此,我们通过比较慢性耳鸣患者与无听力损失的匹配对照受试者的静息态功能磁共振成像(fMRI)功能连接模式,直接非侵入性地测试该模型以及听觉和听觉 - 边缘网络在耳鸣中的作用。我们评估尾状核背侧纹状体(LC区)、尾状核头部(CH)、伏隔核(NA)和初级听觉皮层(A1)的静息态功能连接,以确定异常连接模式。在慢性耳鸣中,仅在LC区一致地发现同侧纹状体 - 听觉皮层连接增加。其他连接增加的模式如下:(1)右侧纹状体LC区、A1、CH和NA与顶叶皮层,(2)左右CH与背侧前额叶皮层,(3)NA和A1与小脑、海马体、视觉和腹侧前额叶皮层。这些发现为耳鸣的纹状体门控模型提供了进一步支持,其中功能失调的允许性LC区使听觉幻像能够达到感知意识。

https://cdn.ncbi.nlm.nih.gov/pmc/blobs/606f/4623204/78db550e7db9/fnhum-09-00568-g001.jpg

文献AI研究员

20分钟写一篇综述,助力文献阅读效率提升50倍。

立即体验

用中文搜PubMed

大模型驱动的PubMed中文搜索引擎

马上搜索

文档翻译

学术文献翻译模型,支持多种主流文档格式。

立即体验