Yan Feng, Yue Wei, Zhang Yue-Lin, Mao Guo-Chao, Gao Ke, Zuo Zhen-Xing, Zhang Ya-Jing, Lu Hui
Department of Neurosurgery, the Third Affiliated Hospital of Xi'an Jiaotong University; Shaanxi Provincial People's Hospital, Xi'an, Shaanxi Province, China ; Department of Neurosurgery, the Fourth People's Hospital of Shaanxi, Xi'an, Shaanxi Province, China.
Department of Neurology, Tianjin Huanhu Hospital, Tianjin, China.
Neural Regen Res. 2015 Sep;10(9):1421-6. doi: 10.4103/1673-5374.163466.
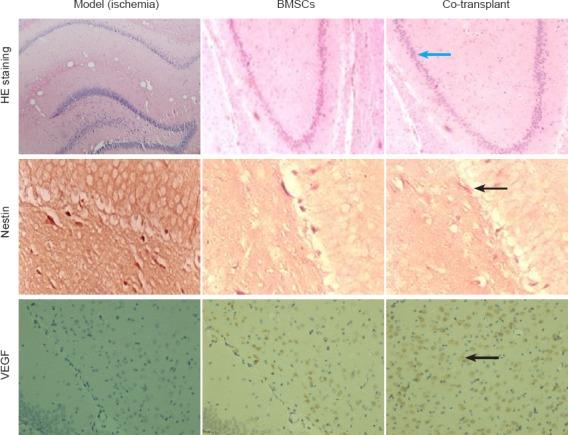
In this study, we successfully constructed a composite of bone marrow mesenchymal stem cells and a chitosan-collagen scaffold in vitro, transplanted either the composite or bone marrow mesenchymal stem cells alone into the ischemic area in animal models, and compared their effects. At 14 days after co-transplantation of bone marrow mesenchymal stem cells and the hitosan-collagen scaffold, neurological function recovered noticeably. Vascular endothelial growth factor expression and nestin-labeled neural precursor cells were detected in the ischemic area, surrounding tissue, hippocampal dentate gyrus and subventricular zone. Simultaneously, a high level of expression of glial fibrillary acidic protein and a low level of expression of neuron-specific enolase were visible in BrdU-labeled bone marrow mesenchymal stem cells. These findings suggest that transplantation of a composite of bone marrow mesenchymal stem cells and a chitosan-collagen scaffold has a neuroprotective effect following ischemic stroke.
在本研究中,我们成功地在体外构建了骨髓间充质干细胞与壳聚糖 - 胶原支架的复合物,将该复合物或单独的骨髓间充质干细胞移植到动物模型的缺血区域,并比较它们的效果。在骨髓间充质干细胞与壳聚糖 - 胶原支架联合移植后14天,神经功能明显恢复。在缺血区域、周围组织、海马齿状回和脑室下区检测到血管内皮生长因子表达和巢蛋白标记的神经前体细胞。同时,在BrdU标记的骨髓间充质干细胞中可见高水平的胶质纤维酸性蛋白表达和低水平的神经元特异性烯醇化酶表达。这些发现表明,骨髓间充质干细胞与壳聚糖 - 胶原支架的复合物移植对缺血性中风具有神经保护作用。