• 文献检索
  • 文档翻译
  • 深度研究
  • 学术资讯
  • Suppr Zotero 插件Zotero 插件
  • 邀请有礼
  • 套餐&价格
  • 历史记录
应用&插件
Suppr Zotero 插件Zotero 插件浏览器插件Mac 客户端Windows 客户端微信小程序
定价
高级版会员购买积分包购买API积分包
服务
文献检索文档翻译深度研究API 文档MCP 服务
关于我们
关于 Suppr公司介绍联系我们用户协议隐私条款
关注我们

Suppr 超能文献

核心技术专利:CN118964589B侵权必究
粤ICP备2023148730 号-1Suppr @ 2026

文献检索

告别复杂PubMed语法,用中文像聊天一样搜索,搜遍4000万医学文献。AI智能推荐,让科研检索更轻松。

立即免费搜索

文件翻译

保留排版,准确专业,支持PDF/Word/PPT等文件格式,支持 12+语言互译。

免费翻译文档

深度研究

AI帮你快速写综述,25分钟生成高质量综述,智能提取关键信息,辅助科研写作。

立即免费体验

肝脏自然杀伤细胞:亚群及其在肝脏免疫中的作用。

Liver natural killer cells: subsets and roles in liver immunity.

作者信息

Peng Hui, Wisse Eddie, Tian Zhigang

机构信息

Institute of Immunology and The CAS Key Laboratory of Innate Immunity and Chronic Disease, School of Life Sciences and Medical Center, University of Science and Technology of China, Hefei, Anhui, China.

Collaborative Innovation Center for Diagnosis and Treatment of Infectious Diseases, State Key Laboratory for Diagnosis and Treatment of Infectious Diseases, First Affiliated Hospital, College of Medicine, Zhejiang University, Hangzhou, Zhejiang, China.

出版信息

Cell Mol Immunol. 2016 May;13(3):328-36. doi: 10.1038/cmi.2015.96. Epub 2015 Dec 7.

DOI:10.1038/cmi.2015.96
PMID:26639736
原文链接:https://pmc.ncbi.nlm.nih.gov/articles/PMC4856807/
Abstract

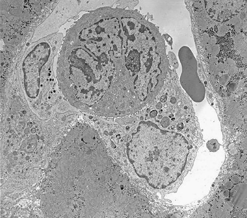
The liver represents a frontline immune organ that is constantly exposed to a variety of gut-derived antigens as a result of its unique location and blood supply. With a predominant role in innate immunity, the liver is enriched with various innate immune cells, among which natural killer (NK) cells play important roles in host defense and in maintaining immune balance. Hepatic NK cells were first described as 'pit cells' in the rat liver in the 1970s. Recent studies of NK cells in mouse and human livers have shown that two distinct NK cell subsets, liver-resident NK cells and conventional NK (cNK) cells, are present in this organ. Here, we review liver NK cell subsets in different species, revisiting rat hepatic pit cells and highlighting recent progress related to resident NK cells in mouse and human livers, and also discuss the dual roles of NK cells in liver immunity.

摘要

肝脏是一个前沿免疫器官,由于其独特的位置和血液供应,它不断接触各种来自肠道的抗原。肝脏在固有免疫中起主要作用,富含各种固有免疫细胞,其中自然杀伤(NK)细胞在宿主防御和维持免疫平衡中发挥重要作用。肝脏NK细胞在20世纪70年代首次在大鼠肝脏中被描述为“pit细胞”。最近对小鼠和人类肝脏中NK细胞的研究表明,该器官中存在两种不同的NK细胞亚群,即肝脏驻留NK细胞和传统NK(cNK)细胞。在这里,我们回顾了不同物种中的肝脏NK细胞亚群,重新审视大鼠肝脏pit细胞,并强调与小鼠和人类肝脏中驻留NK细胞相关的最新进展,同时也讨论了NK细胞在肝脏免疫中的双重作用。

https://cdn.ncbi.nlm.nih.gov/pmc/blobs/f6a9/4856807/7038116644d3/cmi201596f4.jpg
https://cdn.ncbi.nlm.nih.gov/pmc/blobs/f6a9/4856807/ab6334c900f5/cmi201596f1.jpg
https://cdn.ncbi.nlm.nih.gov/pmc/blobs/f6a9/4856807/2fbf7bd66980/cmi201596f2.jpg
https://cdn.ncbi.nlm.nih.gov/pmc/blobs/f6a9/4856807/02eff9fb8ccf/cmi201596f3.jpg
https://cdn.ncbi.nlm.nih.gov/pmc/blobs/f6a9/4856807/7038116644d3/cmi201596f4.jpg
https://cdn.ncbi.nlm.nih.gov/pmc/blobs/f6a9/4856807/ab6334c900f5/cmi201596f1.jpg
https://cdn.ncbi.nlm.nih.gov/pmc/blobs/f6a9/4856807/2fbf7bd66980/cmi201596f2.jpg
https://cdn.ncbi.nlm.nih.gov/pmc/blobs/f6a9/4856807/02eff9fb8ccf/cmi201596f3.jpg
https://cdn.ncbi.nlm.nih.gov/pmc/blobs/f6a9/4856807/7038116644d3/cmi201596f4.jpg

相似文献

1
Liver natural killer cells: subsets and roles in liver immunity.肝脏自然杀伤细胞:亚群及其在肝脏免疫中的作用。
Cell Mol Immunol. 2016 May;13(3):328-36. doi: 10.1038/cmi.2015.96. Epub 2015 Dec 7.
2
Tissue-resident natural killer cells in the livers.肝脏中的组织驻留自然杀伤细胞。
Sci China Life Sci. 2016 Dec;59(12):1218-1223. doi: 10.1007/s11427-016-0334-2. Epub 2016 Nov 30.
3
Hepatic Natural Killer Cells: Organ-Specific Sentinels of Liver Immune Homeostasis and Physiopathology.肝脏自然杀伤细胞:肝脏免疫稳态和生理病理的器官特异性哨兵。
Front Immunol. 2019 Apr 30;10:946. doi: 10.3389/fimmu.2019.00946. eCollection 2019.
4
Re-examining the origin and function of liver-resident NK cells.重新审视肝脏固有 NK 细胞的起源和功能。
Trends Immunol. 2015 May;36(5):293-9. doi: 10.1016/j.it.2015.03.006. Epub 2015 Apr 3.
5
Tissue-resident NK cells and other innate lymphoid cells.组织驻留 NK 细胞和其他固有淋巴细胞。
Adv Immunol. 2020;145:37-53. doi: 10.1016/bs.ai.2019.11.002. Epub 2019 Dec 9.
6
Conventional NK cells and tissue-resident ILC1s join forces to control liver metastasis.常规自然杀伤细胞和组织驻留的 ILC1 共同协作以控制肝转移。
Proc Natl Acad Sci U S A. 2021 Jul 6;118(27). doi: 10.1073/pnas.2026271118.
7
T Cell Subsets and Natural Killer Cells in the Pathogenesis of Nonalcoholic Fatty Liver Disease.T 细胞亚群和自然杀伤细胞在非酒精性脂肪性肝病发病机制中的作用。
Int J Mol Sci. 2021 Nov 11;22(22):12190. doi: 10.3390/ijms222212190.
8
Diversity of tissue-resident NK cells.组织驻留 NK 细胞的多样性。
Semin Immunol. 2017 Jun;31:3-10. doi: 10.1016/j.smim.2017.07.006. Epub 2017 Aug 9.
9
Memory NK cells: why do they reside in the liver?记忆性自然杀伤细胞:它们为何驻留在肝脏中?
Cell Mol Immunol. 2013 May;10(3):196-201. doi: 10.1038/cmi.2013.8. Epub 2013 Apr 8.
10
Expression of the inhibitory receptor NKG2A correlates with increased liver and splenic NK cell response to activating receptor engagement.抑制性受体 NKG2A 的表达与激活受体结合后肝和脾 NK 细胞反应的增强相关。
Immun Inflamm Dis. 2017 Jun;5(2):177-189. doi: 10.1002/iid3.156. Epub 2017 Mar 24.

引用本文的文献

1
Donor liver natural killer cells ameliorate liver allograft rejection via inducing apoptosis of alloreactive CD8 T cells generating CD4CD25 regulatory T cells.供体肝自然杀伤细胞通过诱导同种异体反应性CD8 T细胞凋亡并产生CD4CD25调节性T细胞来减轻肝移植排斥反应。
Sci Rep. 2025 Jul 2;15(1):23499. doi: 10.1038/s41598-025-06456-1.
2
Bile acids and their receptors in hepatic immunity.肝脏免疫中的胆汁酸及其受体
Liver Res. 2025 Jan 28;9(1):1-16. doi: 10.1016/j.livres.2025.01.005. eCollection 2025 Mar.
3
Bile acid activated receptors: Integrating immune and metabolic regulation in non-alcoholic fatty liver disease.

本文引用的文献

1
Cutting edge: identification and characterization of human intrahepatic CD49a+ NK cells.前沿:人肝内CD49a+自然杀伤细胞的鉴定与表征
J Immunol. 2015 Mar 15;194(6):2467-71. doi: 10.4049/jimmunol.1402756. Epub 2015 Feb 11.
2
NK cell receptor imbalance and NK cell dysfunction in HBV infection and hepatocellular carcinoma.乙型肝炎病毒感染和肝细胞癌中的自然杀伤细胞受体失衡与自然杀伤细胞功能障碍
Cell Mol Immunol. 2015 May;12(3):292-302. doi: 10.1038/cmi.2014.91. Epub 2014 Oct 13.
3
Regulatory CD4+ T cells modulate the interaction between NK cells and hepatic stellate cells by acting on either cell type.
胆汁酸激活受体:整合非酒精性脂肪性肝病中的免疫与代谢调节
Liver Res. 2021 Sep 2;5(3):119-141. doi: 10.1016/j.livres.2021.08.003. eCollection 2021 Sep.
4
Radiotherapy plus a self-gelation powder encapsulating tRF5-GlyGCC inhibitor potentiates natural kill cell immunity to prevent hepatocellular carcinoma recurrence.放射疗法加一种包裹tRF5-GlyGCC抑制剂的自凝胶化粉末可增强自然杀伤细胞免疫,以预防肝细胞癌复发。
J Nanobiotechnology. 2025 Feb 10;23(1):100. doi: 10.1186/s12951-025-03133-3.
5
Downregulation of GLYAT correlates with tumour progression and poor prognosis in hepatocellular carcinoma.GLYAT 的下调与肝癌的肿瘤进展和不良预后相关。
J Cell Mol Med. 2024 Nov;28(21):e70197. doi: 10.1111/jcmm.70197.
6
Vaccination with O-linked Mannans Protects against Systemic Candidiasis through Innate Lymphocyte Populations.O-连接甘露聚糖疫苗接种通过固有淋巴细胞群预防系统性念珠菌病。
J Immunol. 2024 Sep 15;213(6):843-852. doi: 10.4049/jimmunol.2400065.
7
Unraveling the Heterogeneity of CD8+ T-Cell Subsets in Liver Cirrhosis: Implications for Disease Progression.揭示肝硬化中CD8 + T细胞亚群的异质性:对疾病进展的影响
Gut Liver. 2025 May 15;19(3):410-426. doi: 10.5009/gnl230345. Epub 2024 Apr 16.
8
Dynamic immune cell profiling identified natural killer cell shift as the key event in early allograft dysfunction after liver transplantation.动态免疫细胞分析表明,肝移植后早期移植物功能障碍的关键事件是自然杀伤细胞的转移。
Cell Prolif. 2024 Apr;57(4):e13568. doi: 10.1111/cpr.13568. Epub 2023 Oct 31.
9
Functional integration of natural killer cells in a microfluidically perfused liver on-a-chip model.自然杀伤细胞在微流控灌注肝芯片模型中的功能整合。
BMC Res Notes. 2023 Oct 21;16(1):285. doi: 10.1186/s13104-023-06575-w.
10
Effects of Acetaminophen Exposure on Outcomes of Patients Receiving Immune Checkpoint Inhibitors for Advanced Non-Small-Cell Lung Cancer: A Propensity Score-Matched Analysis.乙酰氨基酚暴露对接受免疫检查点抑制剂治疗晚期非小细胞肺癌患者结局的影响:倾向评分匹配分析。
Curr Oncol. 2023 Sep 1;30(9):8117-8133. doi: 10.3390/curroncol30090589.
调节性 CD4+ T 细胞通过作用于这两种细胞类型来调节 NK 细胞和肝星状细胞之间的相互作用。
J Hepatol. 2015 Feb;62(2):398-404. doi: 10.1016/j.jhep.2014.08.038. Epub 2014 Sep 6.
4
TIGIT safeguards liver regeneration through regulating natural killer cell-hepatocyte crosstalk.TIGIT 通过调节自然杀伤细胞-肝细胞串扰来保护肝脏再生。
Hepatology. 2014 Oct;60(4):1389-98. doi: 10.1002/hep.27245. Epub 2014 Aug 25.
5
Cross-Talks between Natural Killer Cells and Distinct Subsets of Dendritic Cells.自然杀伤细胞与不同亚群树突状细胞之间的相互作用
Front Immunol. 2014 Apr 10;5:159. doi: 10.3389/fimmu.2014.00159. eCollection 2014.
6
Tissue-resident natural killer (NK) cells are cell lineages distinct from thymic and conventional splenic NK cells.组织驻留自然杀伤(NK)细胞是与胸腺和传统脾NK细胞不同的细胞谱系。
Elife. 2014 Jan 1;3:e01659. doi: 10.7554/eLife.01659.
7
Tissue-resident natural killer cells and their potential diversity.组织驻留自然杀伤细胞及其潜在多样性。
Semin Immunol. 2014 Apr;26(2):127-31. doi: 10.1016/j.smim.2014.01.010. Epub 2014 Feb 16.
8
T-bet and Eomes instruct the development of two distinct natural killer cell lineages in the liver and in the bone marrow.T-bet 和 Eomes 在肝脏和骨髓中指导两种不同自然杀伤细胞谱系的发育。
J Exp Med. 2014 Mar 10;211(3):563-77. doi: 10.1084/jem.20131560. Epub 2014 Feb 10.
9
Liver transplant tolerance and its application to the clinic: can we exploit the high dose effect?肝移植耐受及其临床应用:我们能否利用高剂量效应?
Clin Dev Immunol. 2013;2013:419692. doi: 10.1155/2013/419692. Epub 2013 Nov 6.
10
Location and cellular stages of natural killer cell development.自然杀伤细胞发育的位置和细胞阶段。
Trends Immunol. 2013 Dec;34(12):573-82. doi: 10.1016/j.it.2013.07.005. Epub 2013 Sep 19.