Suppr超能文献

使用磁共振成像评估植入长管青光眼引流装置的眼睛的滤过泡和终板位置

Assessment of Filtration Bleb and Endplate Positioning Using Magnetic Resonance Imaging in Eyes Implanted with Long-Tube Glaucoma Drainage Devices.

作者信息

Sano Ichiya, Tanito Masaki, Uchida Koji, Katsube Takashi, Kitagaki Hajime, Ohira Akihiro

机构信息

Division of Ophthalmology, Matsue Red Cross Hospital, Matsue, Japan.

Department of Ophthalmology, Shimane University Faculty of Medicine, Izumo, Japan.

出版信息

PLoS One. 2015 Dec 7;10(12):e0144595. doi: 10.1371/journal.pone.0144595. eCollection 2015.

Abstract

BACKGROUND

To evaluate ocular fluid filtration and endplate positioning in glaucomatous eyes with long-tube glaucoma drainage devices (GDDs) using magnetic resonance imaging (MRI) and the effects of various factors on postoperative intraocular pressure (IOP).

METHODS

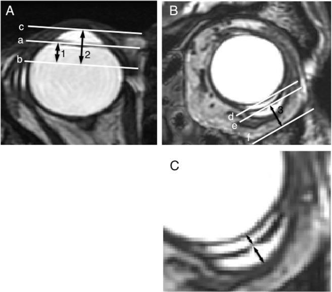
This observational case series included 27 consecutive glaucomatous eyes (18 men, 7 women; mean age ± standard error, 63.0±2.0 years) who underwent GDD implantation (n = 8 Ahmed Glaucoma Valves [AGV] and n = 19 Baerveldt Glaucoma Implants [BGI]). Tubes were inserted into the pars plana in 23 eyes and anterior chamber in 4 eyes. Six months postoperatively, high-resolution orbital images were obtained using 3-Tesla MRI with head-array coils, and the filtering bleb volume, bleb height, and distances between the anterior endplate edge and corneal center or limbus or between the endplate and orbital wall were measured.

RESULTS

In MR images obtained by three-dimensional fast imaging employing steady-state acquisition (3D-FIESTA) sequences, the shunt endplate was identified as low-intensity signal, and the filtering bleb was identified as high-intensity signals above and below the endplate in all eyes. The 6-month-postoperative IOP level was correlated negatively with bleb volume (r = -0.4510, P = 0.0182) and bleb height (r = -0.3954, P = 0.0412). The postoperative IOP was significantly (P = 0.0026) lower in BGI-implanted eyes (12.2±0.7 mmHg) than AGV-implanted eyes (16.7±1.2 mmHg); bleb volume was significantly (P = 0.0093) larger in BGI-implanted eyes (478.8±84.2 mm3) than AGV-implanted eyes (161.1±52.3 mm3). Other parameters did not differ.

CONCLUSIONS

The presence of intraorbital/periocular accumulation of ocular fluid affects postoperative IOP levels in eyes implanted with long-tube GDDs. Larger filtering blebs after BGI than AGI implantations explain lower postoperative IOP levels achieved with BGI than AGV. The findings will contribute to better understanding of IOP reducing mechanism of long-tube GDDs.

摘要

背景

使用磁共振成像(MRI)评估采用长管青光眼引流装置(GDD)的青光眼眼中眼内液滤过及终板位置,以及各种因素对术后眼压(IOP)的影响。

方法

本观察性病例系列纳入27例连续的青光眼患者(18例男性,7例女性;平均年龄±标准误,63.0±2.0岁),他们接受了GDD植入术(8例植入艾哈迈德青光眼阀[AGV],19例植入贝尔维尔德特青光眼植入物[BGI])。23只眼的引流管插入睫状体扁平部,4只眼插入前房。术后6个月,使用3特斯拉MRI及头部阵列线圈获取高分辨率眼眶图像,测量滤过泡体积、滤过泡高度,以及终板前端边缘与角膜中心或角膜缘之间或终板与眶壁之间的距离。

结果

在采用稳态采集的三维快速成像(3D-FIESTA)序列获得的MR图像中,分流终板表现为低强度信号,所有眼中滤过泡表现为终板上方和下方的高强度信号。术后6个月的眼压水平与滤过泡体积(r = -0.4510,P = 0.0182)和滤过泡高度(r = -0.3954,P = 0.0412)呈负相关。植入BGI的眼(12.2±0.7 mmHg)术后眼压显著低于植入AGV的眼(16.7±1.2 mmHg)(P = 0.0026);植入BGI的眼(478.8±84.2 mm³)滤过泡体积显著大于植入AGV的眼(161.1±52.3 mm³)(P = 0.0093)。其他参数无差异。

结论

眼内/眼周眼内液积聚的存在会影响植入长管GDD的眼的术后眼压水平。BGI植入后滤过泡比AGI植入后更大,这解释了BGI术后眼压水平低于AGV的原因。这些发现将有助于更好地理解长管GDD降低眼压的机制。

https://cdn.ncbi.nlm.nih.gov/pmc/blobs/6ab8/4671622/eff812698ed6/pone.0144595.g001.jpg

文献AI研究员

20分钟写一篇综述,助力文献阅读效率提升50倍。

立即体验

用中文搜PubMed

大模型驱动的PubMed中文搜索引擎

马上搜索

文档翻译

学术文献翻译模型,支持多种主流文档格式。

立即体验