Suppr超能文献

术后胃癌放疗中采用主动呼吸控制技术时CT确定靶区体积的差异

Variations in CT determination of target volume with active breath co-ordinate in radiotherapy for post-operative gastric cancer.

作者信息

Li Gui-Chao, Zhang Zhen, Ma Xue-Jun, Yu Xiao-Li, Hu Wei-Gang, Wang Jia-Zhou, Li Qi-Wen, Liang Li-Ping, Shen Li-Jun, Zhang Hui, Fan Ming

机构信息

1 Department of Radiation Oncology, Fudan University Shanghai Cancer Center, Shanghai, China.

2 Department of Oncology, Shanghai Medical College, Fudan University, Shanghai, China.

出版信息

Br J Radiol. 2016;89(1058):20150332. doi: 10.1259/bjr.20150332. Epub 2015 Dec 14.

Abstract

OBJECTIVE

To investigate interobserver and inter-CT variations in using the active breath co-ordinate technique in the determination of clinical tumour volume (CTV) and normal organs in post-operative gastric cancer radiotherapy.

METHODS

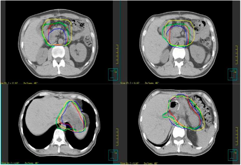
Ten gastric cancer patients were enrolled in our study, and four radiation oncologists independently determined the CTVs and organs at risk based on the CT simulation data. To determine interobserver and inter-CT variation, we evaluated the maximum dimensions, derived volume and distance between the centres of mass (CMs) of the CTVs. We assessed the reliability in CTV determination among the observers by conformity index (CI).

RESULTS

The average volumes ± standard deviation (cm(3)) of the CTV, liver, left kidney and right kidney were 674 ± 138 (range, 332-969), 1000 ± 138 (range, 714-1320), 149 ± 13 (range, 104-183) and 141 ± 21 (range, 110-186) cm(3), respectively. The average inter-CT distances between the CMs of the CTV, liver, left kidney and right kidney were 0.40, 0.56, 0.65 and 0.6 cm, respectively; the interobserver values were 0.98, 0.53, 0.16 and 0.15 cm, respectively.

CONCLUSIONS

In the volume size of CTV for post-operative gastric cancer, there were significant variations among multiple observers, whereas there was no variation between different CTs. The slices in which variations more likely occur were the slices of the lower verge of the hilum of the spleen and porta hepatis, then the paraoesophageal lymph nodes region and abdominal aorta, and the inferior vena cava, and the variation in the craniocaudal orientation from the interobserver was more predominant than that from inter-CT.

ADVANCES IN KNOWLEDGE

First, this is the first study to evaluate the interobserver and inter-CT variations in the determination of the CTV and normal organs in gastric cancer with the use of the active breath co-ordinate technique. Second, we analysed the region where variations most likely occur. Third, we investigated the influence of interobserver variation on the dose distribution.

摘要

目的

探讨在术后胃癌放疗中使用主动呼吸协调技术确定临床靶体积(CTV)和正常器官时观察者间及CT间的差异。

方法

本研究纳入10例胃癌患者,4名放射肿瘤学家根据CT模拟数据独立确定CTV和危及器官。为确定观察者间及CT间的差异,我们评估了CTV的最大尺寸、衍生体积和质心(CM)之间的距离。我们通过一致性指数(CI)评估观察者间CTV确定的可靠性。

结果

CTV、肝脏、左肾和右肾的平均体积±标准差(cm³)分别为674±138(范围,332 - 969)、1000±138(范围,714 - 1320)、149±13(范围,104 - 183)和141±21(范围,110 - 186)cm³。CTV、肝脏、左肾和右肾的CM之间的平均CT间距离分别为0.40、0.56、0.65和0.6 cm;观察者间值分别为0.98、0.53、0.16和0.15 cm。

结论

在术后胃癌CTV的体积大小方面,多个观察者之间存在显著差异,而不同CT之间无差异。更易发生差异的层面是脾门和肝门下缘层面,其次是食管旁淋巴结区域和腹主动脉层面,以及下腔静脉层面,观察者间在头脚方向上的差异比CT间更显著。

知识进展

第一,这是第一项使用主动呼吸协调技术评估胃癌CTV和正常器官确定中观察者间及CT间差异的研究。第二,我们分析了最易发生差异的区域。第三,我们研究了观察者间差异对剂量分布的影响。

https://cdn.ncbi.nlm.nih.gov/pmc/blobs/6259/4985190/692d8b9414cd/bjr.20150332.g001.jpg

文献检索

告别复杂PubMed语法,用中文像聊天一样搜索,搜遍4000万医学文献。AI智能推荐,让科研检索更轻松。

立即免费搜索

文件翻译

保留排版,准确专业,支持PDF/Word/PPT等文件格式,支持 12+语言互译。

免费翻译文档

深度研究

AI帮你快速写综述,25分钟生成高质量综述,智能提取关键信息,辅助科研写作。

立即免费体验