Suppr超能文献

利用T2加权磁共振图像进行纹理分析以评估脑多发性硬化症病变中的急性炎症

Texture Analysis of T2-Weighted MR Images to Assess Acute Inflammation in Brain MS Lesions.

作者信息

Michoux Nicolas, Guillet Alain, Rommel Denis, Mazzamuto Giosué, Sindic Christian, Duprez Thierry

机构信息

IREC (Institute of Experimental and Clinical Research), Université Catholique de Louvain, Brussels, Belgium.

Department of Statistics, Université Catholique de Louvain, Brussels, Belgium.

出版信息

PLoS One. 2015 Dec 22;10(12):e0145497. doi: 10.1371/journal.pone.0145497. eCollection 2015.

Abstract

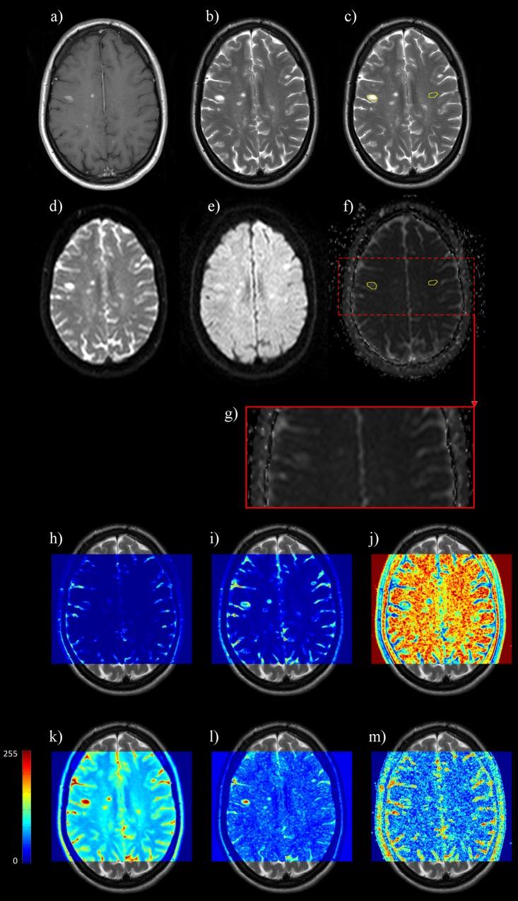
Brain blood barrier breakdown as assessed by contrast-enhanced (CE) T1-weighted MR imaging is currently the standard radiological marker of inflammatory activity in multiple sclerosis (MS) patients. Our objective was to evaluate the performance of an alternative model assessing the inflammatory activity of MS lesions by texture analysis of T2-weighted MR images. Twenty-one patients with definite MS were examined on the same 3.0T MR system by T2-weighted, FLAIR, diffusion-weighted and CE-T1 sequences. Lesions and mirrored contralateral areas within the normal appearing white matter (NAWM) were characterized by texture parameters computed from the gray level co-occurrence and run length matrices, and by the apparent diffusion coefficient (ADC). Statistical differences between MS lesions and NAWM were analyzed. ROC analysis and leave-one-out cross-validation were performed to evaluate the performance of individual parameters, and multi-parametric models using linear discriminant analysis (LDA), partial least squares (PLS) and logistic regression (LR) in the identification of CE lesions. ADC and all but one texture parameter were significantly different within white matter lesions compared to within NAWM (p < 0.0167). Using LDA, an 8-texture parameter model identified CE lesions with a sensitivity Se = 70% and a specificity Sp = 76%. Using LR, a 10-texture parameter model performed better with Se = 86% / Sp = 84%. Using PLS, a 6-texture parameter model achieved the highest accuracy with Se = 88% / Sp = 81%. Texture parameter from T2-weighted images can assess brain inflammatory activity with sufficient accuracy to be considered as a potential alternative to enhancement on CE T1-weighted images.

摘要

通过对比增强(CE)T1加权磁共振成像评估的脑血脑屏障破坏是目前多发性硬化症(MS)患者炎症活动的标准放射学标志物。我们的目的是评估一种通过T2加权磁共振图像纹理分析评估MS病变炎症活动的替代模型的性能。21例确诊为MS的患者在同一台3.0T磁共振系统上接受了T2加权、液体衰减反转恢复(FLAIR)、扩散加权和CE-T1序列检查。从灰度共生矩阵和游程长度矩阵计算得到的纹理参数以及表观扩散系数(ADC)对正常白质(NAWM)内的病变和镜像对侧区域进行了特征描述。分析了MS病变与NAWM之间的统计学差异。进行了ROC分析和留一法交叉验证,以评估各个参数的性能,以及使用线性判别分析(LDA)、偏最小二乘法(PLS)和逻辑回归(LR)的多参数模型在识别CE病变中的性能。与NAWM相比,白质病变内的ADC和除一个纹理参数外的所有纹理参数均有显著差异(p < 0.0167)。使用LDA,一个8纹理参数模型识别CE病变的灵敏度Se = 70%,特异性Sp = 76%。使用LR,一个10纹理参数模型表现更好,Se = 86% / Sp = 84%。使用PLS,一个6纹理参数模型的准确率最高,Se = 88% / Sp = 81%。T2加权图像的纹理参数能够以足够的准确性评估脑炎症活动,可被视为CE T1加权图像增强的潜在替代方法。

https://cdn.ncbi.nlm.nih.gov/pmc/blobs/57e0/4687842/d3f44456d25a/pone.0145497.g001.jpg

文献AI研究员

20分钟写一篇综述,助力文献阅读效率提升50倍。

立即体验

用中文搜PubMed

大模型驱动的PubMed中文搜索引擎

马上搜索

文档翻译

学术文献翻译模型,支持多种主流文档格式。

立即体验