Suppr超能文献

婴儿猝死综合征(SUDI)病例中通过实时聚合酶链反应进行巨细胞病毒及其他伴随感染病原体的尸检诊断。

Postmortem diagnosis of cytomegalovirus and accompanying other infection agents by real-time PCR in cases of sudden unexpected death in infancy (SUDI).

作者信息

Yagmur Gulhan, Ziyade Nihan, Elgormus Neval, Das Taner, Sahin M Feyzi, Yildirim Muzaffer, Ozgun Ayse, Akcay Arzu, Karayel Ferah, Koc Sermet

机构信息

Council of Forensic Medicine, Department of Postmortem Microbiology, Istanbul, Turkey.

Council of Forensic Medicine, Department of Postmortem Microbiology, Istanbul, Turkey.

出版信息

J Forensic Leg Med. 2016 Feb;38:18-23. doi: 10.1016/j.jflm.2015.11.008. Epub 2015 Nov 23.

Abstract

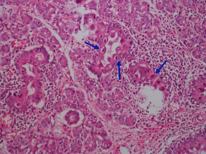
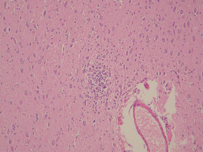
As an opportunistic pathogen with high mortality rates, Cytomegalovirus (CMV) may lead to fatal disseminated CMV infection of the premature and newborn; thus necessitating the demonstration of CMV-DNA with clinical history and/or histopathological findings of CMV infection and defining other bacterial and viral infection agents with real-time polymerase chain reaction (RT-PCR) in udden unexpected death in infancy (SUDI) cases as we aimed in this study. 314 (144 female, 170 male) SUDI cases were prospectively investigated from January 2013 to January 2015 in Istanbul Forensic Medicine Institution. The study includes 87 tissue samples of 39 cases for post-mortem histopathological examination of interstitial pneumonia, myocarditis, meningitis, encephalitis, hepatitis, colitis or tubulointerstitial nephritis and/or accompanying chronic sialadenitis. CMV-DNA was found positive in 35 (40.2%) salivary gland, 19 (21.8%) lung, 1 (1.1%) tonsil, and 1 (1.1%) brain tissues. CMV sialadenitis and/or CMV pneumonia associated with other viral and/or bacterial agents were detected in 23 (60%) of 39 infant cases. The demonstration of CMV-DNA would significantly clarify the cause of death and collection of epidemiological data in SUDI cases with clinical history and histopathological findings of CMV infection accompanying chronic CMV sialadenitis. Furthermore, CMV suppresses the immune system, and may predispose to other bacterial and/or viral infections in these cases. Post-mortem molecular investigations are useful in explaining cause of death in SUDI with a suspicion of infection in forensic autopsies.

摘要

作为一种死亡率很高的机会致病菌,巨细胞病毒(CMV)可能导致早产和新生儿发生致命的播散性CMV感染;因此,正如我们在本研究中所做的那样,有必要结合CMV感染的临床病史和/或组织病理学结果来证明CMV-DNA的存在,并通过实时聚合酶链反应(RT-PCR)来确定婴儿猝死综合征(SUDI)病例中的其他细菌和病毒感染因子。2013年1月至2015年1月期间,在伊斯坦布尔法医学机构对314例(144例女性,170例男性)SUDI病例进行了前瞻性调查。该研究包括对39例病例的87份组织样本进行尸检组织病理学检查,以检查间质性肺炎、心肌炎、脑膜炎、脑炎、肝炎、结肠炎或肾小管间质性肾炎和/或伴随的慢性涎腺炎。在35份(40.2%)唾液腺、19份(21.8%)肺、1份(1.1%)扁桃体和1份(1.1%)脑组织中发现CMV-DNA呈阳性。在39例婴儿病例中的23例(60%)中检测到与其他病毒和/或细菌因子相关的CMV涎腺炎和/或CMV肺炎。在伴有慢性CMV涎腺炎的CMV感染临床病史和组织病理学结果的SUDI病例中,CMV-DNA的证明将显著阐明死亡原因并收集流行病学数据。此外,CMV会抑制免疫系统,并可能使这些病例易患其他细菌和/或病毒感染。尸检分子研究有助于解释法医尸检中怀疑有感染的SUDI的死亡原因。

https://cdn.ncbi.nlm.nih.gov/pmc/blobs/1321/7118459/39bd3f51fcdb/gr1_lrg.jpg

文献AI研究员

20分钟写一篇综述,助力文献阅读效率提升50倍。

立即体验

用中文搜PubMed

大模型驱动的PubMed中文搜索引擎

马上搜索

文档翻译

学术文献翻译模型,支持多种主流文档格式。

立即体验