Suppr超能文献

落葵叶提取物对高胆固醇血症诱导兔的降胆固醇及抗动脉粥样硬化潜力

Hypocholesterolemic and Antiatherosclerotic Potential of Basella alba Leaf Extract in Hypercholesterolemia-Induced Rabbits.

作者信息

Baskaran Gunasekaran, Salvamani Shamala, Azlan Azrina, Ahmad Siti Aqlima, Yeap Swee Keong, Shukor Mohd Yunus

机构信息

Department of Biochemistry, Faculty of Biotechnology and Biomolecular Sciences, Universiti Putra Malaysia (UPM), 43400 Serdang, Selangor, Malaysia.

Department of Nutrition and Dietetics, Faculty of Medicine and Health Sciences, Universiti Putra Malaysia (UPM), 43400 Serdang, Selangor, Malaysia.

出版信息

Evid Based Complement Alternat Med. 2015;2015:751714. doi: 10.1155/2015/751714. Epub 2015 Nov 30.

Abstract

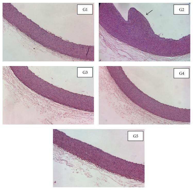
Hypercholesterolemia is the major risk factor that leads to atherosclerosis. Nowadays, alternative treatment using medicinal plants gained much attention since the usage of statins leads to adverse health effects, especially liver and muscle toxicity. This study was designed to investigate the hypocholesterolemic and antiatherosclerotic effects of Basella alba (B. alba) using hypercholesterolemia-induced rabbits. Twenty New Zealand white rabbits were divided into 5 groups and fed with varying diets: normal diet, 2% high cholesterol diet (HCD), 2% HCD + 10 mg/kg simvastatin, 2% HCD + 100 mg/kg B. alba extract, and 2% HCD + 200 mg/kg B. alba extract, respectively. The treatment with B. alba extract significantly lowered the levels of total cholesterol, LDL, and triglycerides and increased HDL and antioxidant enzymes (SOD and GPx) levels. The elevated levels of liver enzymes (AST and ALT) and creatine kinase were noted in hypercholesterolemic and statin treated groups indicating liver and muscle injuries. Treatment with B. alba extract also significantly suppressed the aortic plaque formation and reduced the intima: media ratio as observed in simvastatin-treated group. This is the first in vivo study on B. alba that suggests its potential as an alternative therapeutic agent for hypercholesterolemia and atherosclerosis.

摘要

高胆固醇血症是导致动脉粥样硬化的主要危险因素。如今,由于使用他汀类药物会产生不良健康影响,尤其是肝脏和肌肉毒性,利用药用植物进行替代治疗备受关注。本研究旨在使用高胆固醇血症诱导的兔子来研究落葵(Basella alba,B. alba)的降胆固醇和抗动脉粥样硬化作用。将20只新西兰白兔分为5组,分别给予不同的饮食:正常饮食、2%高胆固醇饮食(HCD)、2% HCD + 10 mg/kg辛伐他汀、2% HCD + 100 mg/kg落葵提取物以及2% HCD + 200 mg/kg落葵提取物。落葵提取物治疗显著降低了总胆固醇、低密度脂蛋白和甘油三酯水平,并提高了高密度脂蛋白和抗氧化酶(超氧化物歧化酶和谷胱甘肽过氧化物酶)水平。在高胆固醇血症组和他汀类药物治疗组中,观察到肝酶(天冬氨酸转氨酶和丙氨酸转氨酶)和肌酸激酶水平升高,表明存在肝脏和肌肉损伤。落葵提取物治疗还显著抑制了主动脉斑块形成,并降低了内膜:中膜比值,这与辛伐他汀治疗组的情况相似。这是首次对落葵进行的体内研究,表明其作为高胆固醇血症和动脉粥样硬化替代治疗药物的潜力。

https://cdn.ncbi.nlm.nih.gov/pmc/blobs/6805/4677185/2d4726554f79/ECAM2015-751714.001.jpg

文献AI研究员

20分钟写一篇综述,助力文献阅读效率提升50倍。

立即体验

用中文搜PubMed

大模型驱动的PubMed中文搜索引擎

马上搜索

文档翻译

学术文献翻译模型,支持多种主流文档格式。

立即体验