Suppr超能文献

石榴预防乳腺癌的作用机制:雌激素受体和Wnt/β-连环蛋白信号通路的破坏

Mechanism of Breast Cancer Preventive Action of Pomegranate: Disruption of Estrogen Receptor and Wnt/β-Catenin Signaling Pathways.

作者信息

Mandal Animesh, Bishayee Anupam

机构信息

Department of Pharmaceutical Sciences, College of Pharmacy, Northeast Ohio Medical University, Rootstown, OH 44272, USA.

Department of Pharmaceutical Sciences, College of Pharmacy, Larkin Health Sciences Institute, 18301 N. Miami Avenue, Miami, FL 33169, USA.

出版信息

Molecules. 2015 Dec 12;20(12):22315-28. doi: 10.3390/molecules201219853.

Abstract

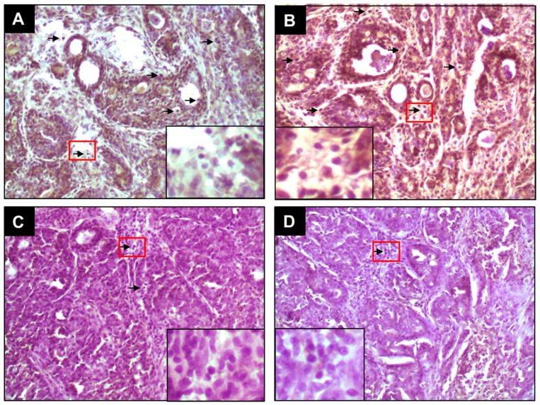
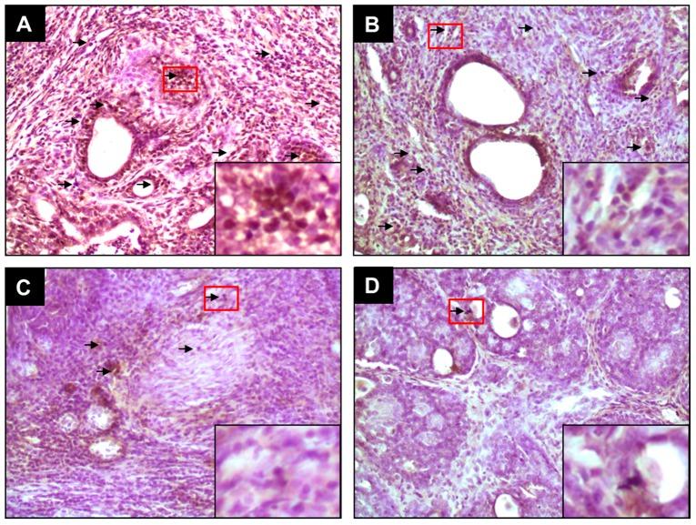
A pomegranate emulsion (PE), containing various bioactive phytochemicals, has recently been found to exert substantial chemopreventive effect against 7,12-dimethylbenz(a)anthracene (DMBA)-induced mammary tumorigenesis in rats via antiproliferative and proapoptotic actions. Nevertheless, the underlying mechanisms of action are not completely understood. The present study was designed to investigate the effects of PE treatment on intratumor expression of estrogen receptor (ER)-α, ER-β,β-catenin and cyclin D1 during DMBA rat mammary carcinogenesis. Mammary tumor sections were harvested from a chemopreventive study in which PE (0.2, 1.0 and 5.0 g/kg) exhibited inhibition of mammary tumorigenesis in a dose-response manner. The expressions of ER-α, ER-β, β-catenin and cyclin D1 were analyzed by immunohistochemical techniques. PE downregulated the expression of intratumor ER-α and ER-β and lowered ER-α:ER-β ratio. PE also decreased the expression, cytoplasmic accumulation, and nuclear translocation of β-catenin, an essential transcriptional cofactor for Wnt signaling. Moreover, PE suppressed the expression of cell growth regulatory protein cyclin D1, which is a downstream target for both ER and Wnt signaling. Our current results in conjunction with our previous findings indicate that concurrent disruption of ER and Wnt/β-catenin signaling pathways possibly contributes to antiproliferative and proapoptotic effects involved in PE-mediated chemoprevention of DMBA-inflicted rat mammary tumorigenesis.

摘要

一种含有多种生物活性植物化学物质的石榴乳液(PE),最近被发现通过抗增殖和促凋亡作用,对7,12-二甲基苯并(a)蒽(DMBA)诱导的大鼠乳腺肿瘤发生具有显著的化学预防作用。然而,其潜在的作用机制尚未完全明确。本研究旨在探讨PE处理对DMBA诱导的大鼠乳腺致癌过程中肿瘤内雌激素受体(ER)-α、ER-β、β-连环蛋白和细胞周期蛋白D1表达的影响。乳腺肿瘤切片取自一项化学预防研究,在该研究中,PE(0.2、1.0和5.0 g/kg)以剂量反应方式抑制乳腺肿瘤发生。采用免疫组织化学技术分析ER-α、ER-β、β-连环蛋白和细胞周期蛋白D1的表达。PE下调肿瘤内ER-α和ER-β的表达,并降低ER-α:ER-β比值。PE还降低了β-连环蛋白的表达、细胞质积累和核转位,β-连环蛋白是Wnt信号传导的重要转录共激活因子。此外,PE抑制了细胞生长调节蛋白细胞周期蛋白D1的表达,细胞周期蛋白D1是ER和Wnt信号传导的下游靶点。我们目前的结果与我们之前的发现表明,ER和Wnt/β-连环蛋白信号通路的同时破坏可能有助于PE介导的对DMBA所致大鼠乳腺肿瘤发生的化学预防中涉及的抗增殖和促凋亡作用。

https://cdn.ncbi.nlm.nih.gov/pmc/blobs/e517/6332439/21cb61dba6de/molecules-20-19853-g001.jpg

文献检索

告别复杂PubMed语法,用中文像聊天一样搜索,搜遍4000万医学文献。AI智能推荐,让科研检索更轻松。

立即免费搜索

文件翻译

保留排版,准确专业,支持PDF/Word/PPT等文件格式,支持 12+语言互译。

免费翻译文档

深度研究

AI帮你快速写综述,25分钟生成高质量综述,智能提取关键信息,辅助科研写作。

立即免费体验