Suppr超能文献

腹部滤泡性树突状细胞肉瘤的计算机断层扫描成像表现:5例报告

Computer Tomography Imaging Findings of Abdominal Follicular Dendritic Cell Sarcoma: A Report of 5 Cases.

作者信息

Li Jing, Geng Zhi-Jun, Xie Chuan-Miao, Zhang Xin-Ke, Chen Rui-Ying, Cai Pei-Qiang, Lv Xiao-Fei

机构信息

From the Department of Medical Imaging (JL, Z-JG, C-MX, P-QC, X-FL), Collaborative Innovation Center for Cancer Medicine, State Key Laboratory of Oncology in South China, Sun Yat-sen University Cancer Center; Department of Pathology (X-KZ), Sun Yat-sen University Cancer Center; and Department of Medical Imaging Center (R-YC), NanFang Hospital, Southern Medical University, Guangzhou, PR China.

出版信息

Medicine (Baltimore). 2016 Jan;95(1):e2404. doi: 10.1097/MD.0000000000002404.

Abstract

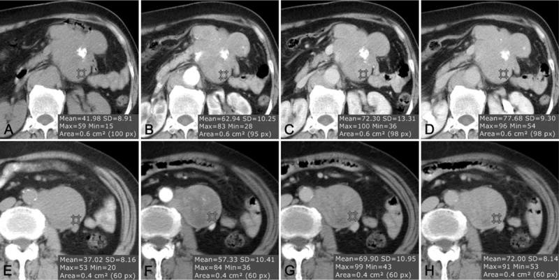
Follicular dendritic cell sarcoma (FDCS) is a neoplasm that arises from follicular dendritic cells. FDCSs originating in the abdomen are extremely rare. Clinically, they often mimic a wide variety of other abdominal tumors, and correct preoperative diagnosis is often a challenging task. To date, only scattered cases of abdominal FDCS have been reported and few data are available on their radiological features. Here we present the computer tomography imaging findings of 5 patients with surgically and pathologically demonstrated abdominal FDCS. An abdominal FDCS should be included in the differential diagnosis when single or multiple masses with relatively large size, well- or ill-defined borders, complex internal architecture with marked internal necrosis and/or focal calcification, and heterogeneous enhancement with "rapid wash-in and slow wash-out" or "progressive enhancement" enhancement patterns in the solid component are seen.

摘要

滤泡性树突状细胞肉瘤(FDCS)是一种起源于滤泡性树突状细胞的肿瘤。起源于腹部的FDCS极为罕见。临床上,它们常常酷似多种其他腹部肿瘤,术前做出正确诊断往往是一项具有挑战性的任务。迄今为止,仅报道过散发性腹部FDCS病例,关于其放射学特征的数据很少。在此,我们展示5例经手术和病理证实的腹部FDCS患者的计算机断层扫描成像结果。当见到单个或多个肿块,大小相对较大,边界清晰或不清,内部结构复杂且有明显内部坏死和/或局灶性钙化,以及实性成分呈“快进慢出”或“渐进性强化”强化模式的不均匀强化时,应将腹部FDCS纳入鉴别诊断。

https://cdn.ncbi.nlm.nih.gov/pmc/blobs/099c/4706263/fbf660fe1928/medi-95-e2404-g002.jpg

相似文献

1
Computer Tomography Imaging Findings of Abdominal Follicular Dendritic Cell Sarcoma: A Report of 5 Cases.
Medicine (Baltimore). 2016 Jan;95(1):e2404. doi: 10.1097/MD.0000000000002404.
2
Intra-abdominal Follicular Dendritic Cell Sarcoma (FDCS): Series of 18 cases of a rare entity from Pakistan.
Ann Diagn Pathol. 2020 Dec;49:151595. doi: 10.1016/j.anndiagpath.2020.151595. Epub 2020 Aug 15.
5
Follicular Dendritic Cell Sarcomas: CT and MRI Findings in 20 Patients.
AJR Am J Roentgenol. 2021 Mar;216(3):835-843. doi: 10.2214/AJR.19.22759. Epub 2021 Jan 6.
6
Follicular dendritic cell sarcoma of the abdomen: the imaging findings.
Korean J Radiol. 2010 Mar-Apr;11(2):239-43. doi: 10.3348/kjr.2010.11.2.239. Epub 2010 Feb 22.
7
Clinicopathologic profile of intra-abdominal follicular dendritic cell sarcoma: A study of three cases with a literature review.
Indian J Pathol Microbiol. 2024 Jan-Mar;67(1):195-200. doi: 10.4103/ijpm.ijpm_1089_21.
10
Follicular Dendritic Cell Sarcoma of Appendix Presenting as Acute Appendicitis: An Exceptionally Rare Case Report.
Int J Surg Pathol. 2016 Oct;24(7):631-4. doi: 10.1177/1066896916651494. Epub 2016 May 25.

引用本文的文献

1
Follicular dendritic cell sarcoma of the stomach in a young male: A rare case report and literature review.
Medicine (Baltimore). 2025 Jul 4;104(27):e43004. doi: 10.1097/MD.0000000000043004.
2
Imaging and pathological characteristics of hepatosplenic EBV-positive inflammatory follicular dendritic cell sarcoma.
Front Oncol. 2025 May 16;15:1552193. doi: 10.3389/fonc.2025.1552193. eCollection 2025.
3
Follicular dendritic cell sarcoma arising in the stomach and abdominal cavity: A case report.
Medicine (Baltimore). 2023 Aug 4;102(31):e34289. doi: 10.1097/MD.0000000000034289.
4
Pancreatic follicular dendritic cell sarcoma: a rare case report and systematic literature review of 7 cases.
World J Surg Oncol. 2023 Jul 21;21(1):212. doi: 10.1186/s12957-023-03115-5.
6
Role of Adjuvant Chemotherapy in Extranodal Follicular Dendritic Cell Sarcoma.
ACG Case Rep J. 2019 Feb 12;6(3):1-4. doi: 10.14309/crj.0000000000000008. eCollection 2019 Mar.
8
Follicular Dendritic Cell Sarcoma of Gastrointestinal Tract: an Uncommon Lesion, Commonly Missed.
J Gastrointest Cancer. 2019 Dec;50(4):913-918. doi: 10.1007/s12029-018-0178-0.
9
Small intestine follicular dendritic cell sarcoma with liver metastasis: A case report.
Medicine (Baltimore). 2017 Aug;96(31):e7261. doi: 10.1097/MD.0000000000007261.

本文引用的文献

2
Extranodal follicular dendritic cell sarcoma: A clinicopathological report of four cases and a literature review.
Oncol Lett. 2015 Jan;9(1):391-398. doi: 10.3892/ol.2014.2681. Epub 2014 Nov 7.
4
Follicular dendritic cell sarcoma of the omentum: multidetector computed tomography findings.
Korean J Radiol. 2013 Mar-Apr;14(2):213-7. doi: 10.3348/kjr.2013.14.2.213. Epub 2013 Feb 22.
5
Extranodal follicular dendritic cell sarcoma in mesentery: A case report.
Oncol Lett. 2011 Jul;2(4):649-652. doi: 10.3892/ol.2011.296. Epub 2011 May 3.
6
Imaging findings of follicular dendritic cell sarcoma: report of four cases.
Korean J Radiol. 2011 Jan-Feb;12(1):122-8. doi: 10.3348/kjr.2011.12.1.122. Epub 2011 Jan 3.
8
Clinicopathological features and prognosis assessment of extranodal follicular dendritic cell sarcoma.
World J Gastroenterol. 2010 May 28;16(20):2504-19. doi: 10.3748/wjg.v16.i20.2504.
9
Follicular dendritic cell sarcoma of the abdomen: the imaging findings.
Korean J Radiol. 2010 Mar-Apr;11(2):239-43. doi: 10.3348/kjr.2010.11.2.239. Epub 2010 Feb 22.
10
Follicular dendritic cell sarcoma of the mediastinum.
AJR Am J Roentgenol. 2007 Jun;188(6):W554-6. doi: 10.2214/AJR.04.1530.

文献AI研究员

20分钟写一篇综述,助力文献阅读效率提升50倍。

立即体验

用中文搜PubMed

大模型驱动的PubMed中文搜索引擎

马上搜索

文档翻译

学术文献翻译模型,支持多种主流文档格式。

立即体验