Suppr超能文献

在新型自发性潜伏性结核感染小鼠模型中,灵芝提取物的预防性使用可能会抑制结核分枝杆菌的复制。

Prophylactic Use of Ganoderma lucidum Extract May Inhibit Mycobacterium tuberculosis Replication in a New Mouse Model of Spontaneous Latent Tuberculosis Infection.

作者信息

Zhan Lingjun, Tang Jun, Lin Shuzhu, Xu Yanfeng, Xu Yuhuan, Qin Chuan

机构信息

Key Laboratory of Human Diseases and Comparative Medicine, Ministry of Health, Institute of Laboratory Animal Science, Peking Union Medical College, Chinese Academy of Medical Sciences and Comparative Medicine Center Beijing, China.

出版信息

Front Microbiol. 2016 Jan 8;6:1490. doi: 10.3389/fmicb.2015.01490. eCollection 2015.

Abstract

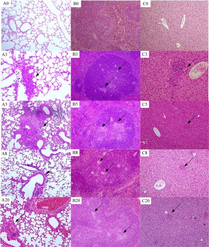
A mouse model of spontaneous latent tuberculosis infection (LTBI) that mimics LTBI in humans is valuable for drug/vaccine development and the study of tuberculosis. However, most LTBI mouse models require interventions, and a spontaneous LTBI mouse model with a low bacterial load is difficult to establish. In this study, mice were IV-inoculated with 100 CFU Mycobacterium tuberculosis H37Rv, and a persistent LTBI was established with low bacterial loads (0.5~1.5log10 CFU in the lung; < 4log10 CFU in the spleen). Histopathological changes in the lung and spleen were mild during the first 20 weeks post-inoculation. The model was used to demonstrate the comparative effects of prophylactic and therapeutic administration of Ganoderma lucidum extract (spores and spores lipid) in preventing H37Rv replication in both lung and spleen. H37Rv was inhibited with prophylactic use of G. lucidum extract relative to that of the untreated control and therapy groups, and observed in the spleen and lung as early as post-inoculation week 3 and week 5 respectively. H37Rv infection in the therapy group was comparable to that of the untreated control mice. No significant mitigation of pathological changes was observed in either the prophylactic or therapeutic group. Our results suggest that this new LTBI mouse model is an efficient tool of testing anti-tuberculosis drug, the use of G. lucidum extract prior to M. tuberculosis infection may protect the host against bacterial replication to some extent.

摘要

一种模拟人类潜伏性结核感染(LTBI)的自发性LTBI小鼠模型,对于药物/疫苗开发以及结核病研究具有重要价值。然而,大多数LTBI小鼠模型需要进行干预,且难以建立细菌载量低的自发性LTBI小鼠模型。在本研究中,给小鼠静脉注射100 CFU结核分枝杆菌H37Rv,建立了细菌载量低的持续性LTBI(肺中为0.5~1.5log10 CFU;脾中<4log10 CFU)。接种后前20周,肺和脾的组织病理学变化轻微。该模型用于证明灵芝提取物(孢子和孢子脂质)预防性和治疗性给药在预防H37Rv在肺和脾中复制方面的比较效果。相对于未治疗的对照组和治疗组,预防性使用灵芝提取物可抑制H37Rv,分别在接种后第3周和第5周在脾和肺中观察到。治疗组的H37Rv感染与未治疗的对照小鼠相当。在预防组或治疗组中均未观察到病理变化有明显减轻。我们的结果表明,这种新的LTBI小鼠模型是测试抗结核药物的有效工具,在结核分枝杆菌感染前使用灵芝提取物可能在一定程度上保护宿主免受细菌复制。

https://cdn.ncbi.nlm.nih.gov/pmc/blobs/789c/4705449/020fd57a649a/fmicb-06-01490-g0001.jpg

文献AI研究员

20分钟写一篇综述,助力文献阅读效率提升50倍。

立即体验

用中文搜PubMed

大模型驱动的PubMed中文搜索引擎

马上搜索

文档翻译

学术文献翻译模型,支持多种主流文档格式。

立即体验