Suppr超能文献

以孤立性骨骼受累为表现的毛细胞白血病经放射治疗和克拉屈滨成功治疗:一例报告及文献复习

Hairy Cell Leukemia Presenting with Isolated Skeletal Involvement Successfully Treated by Radiation Therapy and Cladribine: A Case Report and Review of the Literature.

作者信息

Yonal-Hindilerden Ipek, Hindilerden Fehmi, Bulut-Dereli Sanem, Yıldız Eren, Dogan Ibrahim Oner, Nalcaci Meliha

机构信息

Istanbul Medical Faculty, Department of Internal Medicine, Division of Hematology, Istanbul University, 34104 Istanbul, Turkey.

Hematology Clinic, Bakırkoy Sadi Konuk Training and Research Hospital, 34147 Istanbul, Turkey.

出版信息

Case Rep Hematol. 2015;2015:803921. doi: 10.1155/2015/803921. Epub 2015 Dec 16.

Abstract

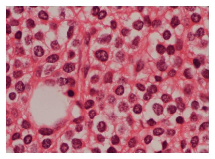
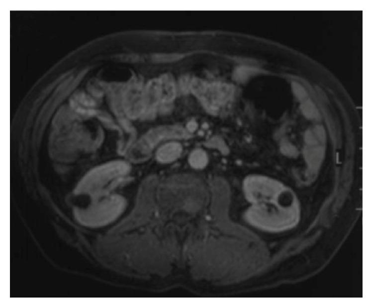
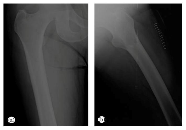
We describe an unusual case of hairy cell leukemia (HCL) in a 55-year-old male presenting with isolated skeletal disease as the initial manifestation without abnormal peripheral blood counts, bone marrow involvement, or splenomegaly. To the best of our knowledge, there have been only two previous reports of a similar case. The patient presented with pain in the right femur. Anteroposterior radiographs of both femurs revealed mixed lytic-sclerotic lesions. PET scan showed multiple metastatic lesions on axial skeleton, pelvis, and both femurs. Histopathological examination of the bone biopsy revealed an infiltrate of HCL. Localized radiation therapy to both proximal femurs and subsequently 4 weeks later, a 7-day course of 0.1 mg/kg/day cladribine provided complete remission with relief of symptoms and resolution of bone lesions. We addressed the manifestations and management of HCL patients with skeletal involvement.

摘要

我们描述了一例罕见的毛细胞白血病(HCL)病例,患者为一名55岁男性,最初表现为孤立性骨骼疾病,外周血细胞计数正常,无骨髓受累或脾肿大。据我们所知,此前仅有两篇类似病例的报道。该患者表现为右股骨疼痛。双股骨前后位X线片显示溶骨性硬化混合性病变。PET扫描显示中轴骨骼、骨盆和双股骨有多处转移灶。骨活检的组织病理学检查显示有HCL浸润。对双侧股骨近端进行局部放射治疗,4周后,给予0.1mg/kg/天的克拉屈滨,疗程7天,症状缓解,骨病变消退,实现完全缓解。我们探讨了骨骼受累的HCL患者的表现及治疗。

https://cdn.ncbi.nlm.nih.gov/pmc/blobs/d539/4695657/9e878af53900/CRIHEM2015-803921.001.jpg

文献AI研究员

20分钟写一篇综述,助力文献阅读效率提升50倍。

立即体验

用中文搜PubMed

大模型驱动的PubMed中文搜索引擎

马上搜索

文档翻译

学术文献翻译模型,支持多种主流文档格式。

立即体验