Suppr超能文献

下腔静脉发育不全引发的深静脉血栓形成

Deep Vein Thrombosis Provoked by Inferior Vena Cava Agenesis.

作者信息

Haddad Raad A, Saadaldin Mazin, Kumar Binay, Bachuwa Ghassan

机构信息

Department of Internal Medicine, Michigan State University, Hurley Medical Center, 1 Hurley Plaza, Flint, MI 48503, USA.

出版信息

Case Rep Vasc Med. 2015;2015:651436. doi: 10.1155/2015/651436. Epub 2015 Dec 16.

Abstract

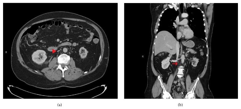
Inferior vena cava agenesis (IVCA) is a rare congenital anomaly that can be asymptomatic or present with vague, nonspecific symptoms, such as abdominal or lower back pain, or deep vein thrombosis (DVT). Here, we present a 55-year-old male who came with painless swelling and redness of his left lower limb. On examination, swelling and redness were noted extending from the left foot to the upper thigh; it was also warm compared to his right lower limb. Venous Doppler ultrasound was done which showed DVT extending up to the common femoral vein. Subsequently, computed-tomography (CT) of the chest and abdomen was done to exclude malignancy or venous flow obstruction; it revealed congenital absence (agenesis) of the infrarenal inferior vena cava (IVC).

摘要

下腔静脉发育不全(IVCA)是一种罕见的先天性异常,可能无症状,或表现为模糊、非特异性的症状,如腹痛或下背痛,或深静脉血栓形成(DVT)。在此,我们报告一名55岁男性,他因左下肢无痛性肿胀和发红前来就诊。检查时,发现肿胀和发红从左脚延伸至大腿上部;与右下肢相比,该部位也更温暖。进行了静脉多普勒超声检查,结果显示深静脉血栓形成延伸至股总静脉。随后,进行了胸部和腹部的计算机断层扫描(CT)以排除恶性肿瘤或静脉血流阻塞;结果显示肾下下腔静脉(IVC)先天性缺失(发育不全)。

https://cdn.ncbi.nlm.nih.gov/pmc/blobs/5781/4695640/1a913361a909/CRIVAM2015-651436.001.jpg

文献AI研究员

20分钟写一篇综述,助力文献阅读效率提升50倍。

立即体验

用中文搜PubMed

大模型驱动的PubMed中文搜索引擎

马上搜索

文档翻译

学术文献翻译模型,支持多种主流文档格式。

立即体验