Suppr超能文献

一名四肢瘫痪患者因导尿管误置于尿道导致急性尿路梗阻

Acute Urinary Obstruction in a Tetraplegic Patient from Misplacement of Catheter in Urethra.

作者信息

Vaidyanathan Subramanian, Singh Gurpreet, Hughes Peter L, Soni Bakul M

机构信息

Regional Spinal Injuries Centre, Southport and Formby District General Hospital, Southport, UK.

Department of Urology, Southport and Formby District General Hospital, Southport, UK.

出版信息

Clin Med Insights Case Rep. 2016 Jan 13;9:1-4. doi: 10.4137/CCRep.S30885. eCollection 2016.

Abstract

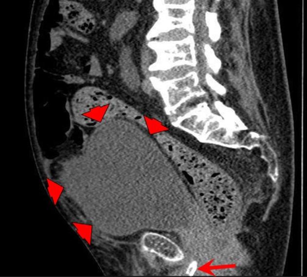
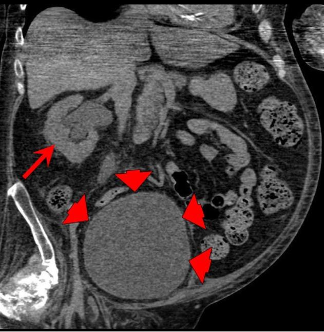
A male tetraplegic patient attended accident and emergency with a blocked catheter; on removing the catheter, he passed bloody urine. After three unsuccessful attempts were made to insert a catheter by nursing staff, a junior doctor inserted a three-way Foley catheter with a 30-mL balloon but inflated the balloon with 10 mL of water to commence the bladder irrigation. The creatinine level was mostly 19 µmol/L (range: 0-135 µmol/L) but increased to 46 µmol/L on day 7. Computerized tomography urogram revealed that the bilateral hydronephrosis with hydroureter was extended down to urinary bladder, the bladder was distended, prostatic urethra was dilated and filled with urine, and although the balloon of Foley catheter was not seen in the bladder, the tip of the catheter was seen lying in the urethra. Following the re-catheterization, the creatinine level decreased to 21 µmol/L. A follow-up ultrasound scan revealed no evidence of hydronephrosis in both kidneys. Flexible cystoscopy revealed inflamed bladder mucosa, catheter reaction, and tiny stones. There was no bladder tumor. This case report concludes that the cause of bilateral hydronephrosis, hydroureter, and distended bladder was inadequate drainage of urinary bladder as the Foley balloon that was under-filled slipped into the urethra resulting in an obstruction to urine flow. Urethral catheterization in tetraplegic patients should be performed by senior, experienced staff in order to avoid trauma and incorrect positioning. Tetraplegic subjects with decreased muscle mass have low creatinine level. Increase in creatinine level (>1.5 times the basal level) indicates acute kidney injury, although peak creatinine level may still be within laboratory reference range. While scanning the urinary tract of spinal cord injury patients with indwelling urinary catheter, if Foley balloon is not seen within the bladder, urethra should be scanned to locate the Foley balloon.

摘要

一名男性四肢瘫痪患者因导尿管堵塞前往急诊;拔除导尿管后,他排出了血尿。护理人员三次尝试插入导尿管均未成功,一名初级医生插入了一根带30毫升球囊的三腔Foley导尿管,但仅用10毫升水充盈球囊以开始膀胱冲洗。肌酐水平大多为19微摩尔/升(范围:0 - 135微摩尔/升),但在第7天升至46微摩尔/升。计算机断层扫描尿路造影显示双侧肾盂积水伴输尿管积水向下延伸至膀胱,膀胱扩张,前列腺尿道扩张并充满尿液,尽管在膀胱内未见Foley导尿管的球囊,但可见导尿管尖端位于尿道内。重新插管后,肌酐水平降至21微摩尔/升。后续超声扫描显示双肾无肾盂积水迹象。软性膀胱镜检查显示膀胱黏膜发炎、导管反应及微小结石。未发现膀胱肿瘤。本病例报告得出结论,双侧肾盂积水、输尿管积水及膀胱扩张的原因是膀胱引流不畅,因为未充分充盈的Foley球囊滑入尿道导致尿液流动受阻。四肢瘫痪患者的尿道插管应由资深、有经验的人员进行,以避免创伤和定位错误。肌肉量减少的四肢瘫痪患者肌酐水平较低。肌酐水平升高(>基础水平的1.5倍)表明急性肾损伤,尽管肌酐峰值水平可能仍在实验室参考范围内。在对留置导尿管的脊髓损伤患者进行尿路扫描时,如果在膀胱内未见Foley球囊,应扫描尿道以定位Foley球囊。

https://cdn.ncbi.nlm.nih.gov/pmc/blobs/02d0/4712982/efc26cdbad9a/ccrep-9-2016-001f1.jpg

文献检索

告别复杂PubMed语法,用中文像聊天一样搜索,搜遍4000万医学文献。AI智能推荐,让科研检索更轻松。

立即免费搜索

文件翻译

保留排版,准确专业,支持PDF/Word/PPT等文件格式,支持 12+语言互译。

免费翻译文档

深度研究

AI帮你快速写综述,25分钟生成高质量综述,智能提取关键信息,辅助科研写作。

立即免费体验