Suppr超能文献

一例源自直肠癌的孤立性阴道转移瘤。

An isolated vaginal metastasis from rectal cancer.

作者信息

Sadatomo Ai, Koinuma Koji, Horie Hisanaga, Lefor Alan K, Sata Naohiro

机构信息

Department of Surgery, Jichi Medical University, 3311-1 Yakushiji, Shimotsuke, Tochigi, 329-0498, Japan.

出版信息

Ann Med Surg (Lond). 2015 Nov 24;5:19-22. doi: 10.1016/j.amsu.2015.11.006. eCollection 2016 Feb.

Abstract

INTRODUCTION

Isolated vaginal metastases from colorectal cancer are extremely rare. There are only a few reported cases in the English literature, and the characteristics of such cases of metastasis remain relatively unknown.

PRESENTATION OF CASE

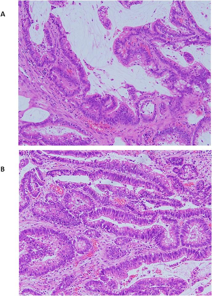
We present a case of isolated vaginal metastasis from rectal cancer in a 78-year-old female patient. The patient had no symptoms related to vaginal tumor. Magnetic resonance imaging (MRI) showed thickening of the middle rectum and a vaginal tumor. Biopsy from the vaginal tumor showed adenocarcinoma, similar to the rectal lesion. Low anterior resection with ileostomy, hystero-oophorectomy, and transvaginal tumor resection was performed. After nineteen months, computed tomography scan revealed multiple lung metastases and recurrent tumor in the pelvis. The patient refused chemotherapy and is alive three months after developing recurrent disease.

DISCUSSION

Most cases of primary vaginal carcinoma are squamous cell carcinoma. Other histologic types such as adenocarcinoma are usually metastatic lesions. Primary lesions associated with metastatic vaginal adenocarcinoma are most often the uterus, and are very rarely from the colon or rectum. We review previous case reports of isolated vaginal metastases from colorectal cancer and discuss their symptoms, treatments, and outcomes.

CONCLUSION

We should keep the vagina within the field of view of pelvic MRI, which is one of the preoperative diagnostic tools for colorectal cancer. If female patients show gynecological symptoms, gynecological examination should be recommended. Isolated vaginal metastases are an indication for surgical resection, and adjuvant chemotherapy is also recommended.

摘要

引言

结直肠癌孤立性阴道转移极为罕见。英文文献中仅有少数病例报道,此类转移病例的特征仍相对不为人知。

病例介绍

我们报告一例78岁女性患者的直肠癌孤立性阴道转移病例。患者无阴道肿瘤相关症状。磁共振成像(MRI)显示直肠中段增厚及阴道肿物。阴道肿物活检显示为腺癌,与直肠病变相似。行低位前切除术加回肠造口术、子宫卵巢切除术及经阴道肿瘤切除术。19个月后,计算机断层扫描显示多发肺转移及盆腔肿瘤复发。患者拒绝化疗,复发疾病后3个月仍存活。

讨论

原发性阴道癌大多为鳞状细胞癌。其他组织学类型如腺癌通常为转移性病变。与转移性阴道腺癌相关的原发病变最常见于子宫,极少来自结肠或直肠。我们回顾了既往结直肠癌孤立性阴道转移的病例报告,并讨论了其症状、治疗及预后。

结论

我们应将阴道纳入盆腔MRI的视野范围,盆腔MRI是结直肠癌术前诊断工具之一。如果女性患者出现妇科症状,建议进行妇科检查。孤立性阴道转移是手术切除的指征,也建议辅助化疗。

https://cdn.ncbi.nlm.nih.gov/pmc/blobs/7bef/4680629/01f7f55056a9/gr1.jpg

文献AI研究员

20分钟写一篇综述,助力文献阅读效率提升50倍。

立即体验

用中文搜PubMed

大模型驱动的PubMed中文搜索引擎

马上搜索

文档翻译

学术文献翻译模型,支持多种主流文档格式。

立即体验