Ojima Hidenori, Masugi Yohei, Tsujikawa Hanako, Emoto Katsura, Fujii-Nishimura Yoko, Hatano Mami, Kawaida Miho, Itano Osamu, Kitagawa Yuko, Sakamoto Michiie
Department of Pathology, Keio University School of Medicine, Tokyo, Japan.
Department of Surgery, Keio University School of Medicine, Tokyo, Japan.
Cancer Sci. 2016 Apr;107(4):543-50. doi: 10.1111/cas.12893. Epub 2016 Mar 18.
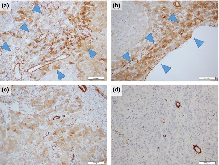
Multistep hepatocarcinogenesis progresses from dysplastic nodules to early hepatocellular carcinoma (eHCC) and to advanced HCC. The aim of the present study was to investigate the detailed histopathological features of eHCC. We investigated 66 small vaguely nodular lesions resected from 40 patients. The degree of cellular and structural atypia and stromal invasion were assessed. The immunohistochemical expression of HCC-related markers adenylate cyclase-associated protein 2 (CAP2), heat shock protein 70 (HSP70), Bmi-1, CD34 and h-caldesmon were evaluated. Of the 66 nodules, 10 were diagnosed as low-grade dysplastic nodules (LGDN), 10 as high-grade dysplastic nodules (HGDN) and 46 as eHCC. Among the 46 eHCC, 18 nodules (39.1%) showed marked stromal invasion and/or the presence of the scirrhous component and were subclassified as high-grade eHCC (HGeHCC). The remaining 28 eHCC, which lacked these features, were subclassified as low-grade eHCC (LGeHCC) and were examined further. HGeHCC showed high levels of cellular and structural atypia and large tumor size. The immunohistochemical expression of CAP2 and the area of sinusoidal vascularization showed increases from LGDN to HGeHCC. The density of arterial tumor vessels was high in HGeHCC compared with other nodule types. Cluster analysis of these parameters subclassified 65 nodules into HGeHCC-dominant, LGeHCC and HGDN-dominant, and LGDN-dominant groups. These results indicate the increased malignant potential of HGeHCC and suggest that it is already a transitional stage to advanced HCC. We consider that our grading classification system may be valuable for considering treatment strategies for eHCC around 2 cm in diameter.
多步骤肝癌发生过程从发育异常结节发展为早期肝细胞癌(eHCC),再到进展期肝癌。本研究的目的是调查eHCC的详细组织病理学特征。我们研究了从40例患者切除的66个小的模糊结节性病变。评估了细胞和结构异型性程度以及间质浸润情况。评估了肝癌相关标志物腺苷酸环化酶相关蛋白2(CAP2)、热休克蛋白70(HSP70)、Bmi-1、CD34和h-钙调蛋白的免疫组化表达。在这66个结节中,10个被诊断为低级别发育异常结节(LGDN),10个为高级别发育异常结节(HGDN),46个为eHCC。在46个eHCC中,18个结节(39.1%)表现出明显的间质浸润和/或存在硬化成分,被归类为高级别eHCC(HGeHCC)。其余28个缺乏这些特征的eHCC被归类为低级别eHCC(LGeHCC)并进一步检查。HGeHCC表现出高水平的细胞和结构异型性以及较大的肿瘤大小。CAP2的免疫组化表达和窦状血管化面积从LGDN到HGeHCC呈增加趋势。与其他结节类型相比,HGeHCC中肿瘤动脉血管密度较高。对这些参数进行聚类分析,将65个结节分为以HGeHCC为主、LGeHCC和以HGDN为主以及以LGDN为主的组。这些结果表明HGeHCC的恶性潜能增加,并提示其已经是进展期肝癌的过渡阶段。我们认为我们的分级分类系统对于考虑直径约2 cm的eHCC的治疗策略可能有价值。