• 文献检索
  • 文档翻译
  • 深度研究
  • 学术资讯
  • Suppr Zotero 插件Zotero 插件
  • 邀请有礼
  • 套餐&价格
  • 历史记录
应用&插件
Suppr Zotero 插件Zotero 插件浏览器插件Mac 客户端Windows 客户端微信小程序
定价
高级版会员购买积分包购买API积分包
服务
文献检索文档翻译深度研究API 文档MCP 服务
关于我们
关于 Suppr公司介绍联系我们用户协议隐私条款
关注我们

Suppr 超能文献

核心技术专利:CN118964589B侵权必究
粤ICP备2023148730 号-1Suppr @ 2026

文献检索

告别复杂PubMed语法,用中文像聊天一样搜索,搜遍4000万医学文献。AI智能推荐,让科研检索更轻松。

立即免费搜索

文件翻译

保留排版,准确专业,支持PDF/Word/PPT等文件格式,支持 12+语言互译。

免费翻译文档

深度研究

AI帮你快速写综述,25分钟生成高质量综述,智能提取关键信息,辅助科研写作。

立即免费体验

Angiomyxoma in Accessory Hepatic Lobe.

作者信息

Rossi Alejandro, Pederiva Federica, Santos Rui, Wood Sarah, Humphrey Gill

机构信息

Department of Paediatric Surgery, Royal Manchester Children's Hospital, Oxford Road, Manchester M13 9WL, UK.

Department of Paediatric Radiology, Royal Manchester Children's Hospital, Oxford Road, Manchester M13 9WL, UK.

出版信息

APSP J Case Rep. 2016 Jan 1;7(1):10. eCollection 2016 Jan-Apr.

PMID:26816682
原文链接:https://pmc.ncbi.nlm.nih.gov/articles/PMC4715883/
Abstract
摘要
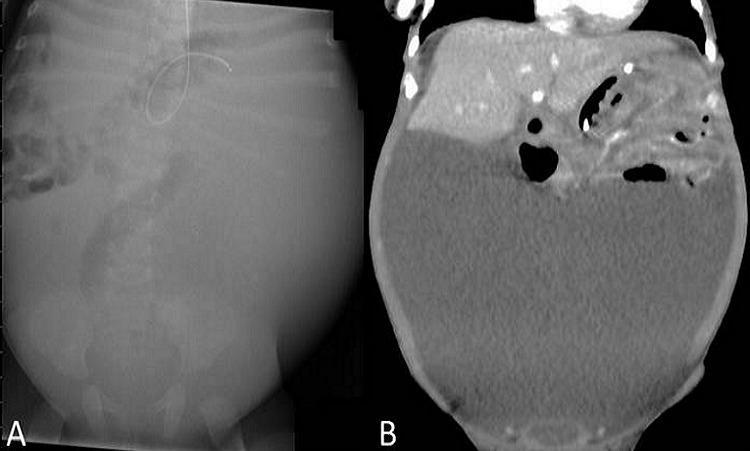
https://cdn.ncbi.nlm.nih.gov/pmc/blobs/ac9b/4715883/315a34498112/ajcr-7-10.f1.jpg
https://cdn.ncbi.nlm.nih.gov/pmc/blobs/ac9b/4715883/315a34498112/ajcr-7-10.f1.jpg
https://cdn.ncbi.nlm.nih.gov/pmc/blobs/ac9b/4715883/315a34498112/ajcr-7-10.f1.jpg

相似文献

1
Angiomyxoma in Accessory Hepatic Lobe.副肝叶血管黏液瘤
APSP J Case Rep. 2016 Jan 1;7(1):10. eCollection 2016 Jan-Apr.
2
Torsion of an Accessory Hepatic Lobe with Embedded Gallbladder: In an 11-Month-Old Boy.伴有嵌入胆囊的副肝叶扭转:发生在一名11个月大男童身上。
European J Pediatr Surg Rep. 2017 Jan;5(1):e62-e64. doi: 10.1055/s-0037-1607218. Epub 2017 Oct 15.
3
Accessory hepatic lobe in right lumbar region - an incidental finding.右腰部副肝叶——偶然发现
J Nepal Health Res Counc. 2014 Sep-Oct;12(28):203-4.
4
Torsion of Accessory Hepatic Lobe.副肝叶扭转
J Indian Assoc Pediatr Surg. 2017 Jan-Mar;22(1):55-56. doi: 10.4103/0971-9261.194628.
5
Accessory Hepatic Lobe: A Rare Cause of Prehepatic Portal Hypertension in a Child.副肝叶:儿童肝前性门静脉高压的罕见病因
Pediatr Gastroenterol Hepatol Nutr. 2018 Oct;21(4):361-364. doi: 10.5223/pghn.2018.21.4.361. Epub 2018 Oct 10.
6
Anatomical variations in the pattern of the right hepatic veins draining the posterior segment of the right lobe of the liver.引流肝右叶后段的肝右静脉模式的解剖变异。
J Clin Diagn Res. 2015 Mar;9(3):AC08-12. doi: 10.7860/JCDR/2015/8736.5671. Epub 2015 Mar 1.
7
Accessory liver lobes: anatomical description and clinical implications.副肝叶:解剖学描述及临床意义
J Visc Surg. 2014 Dec;151(6):451-5. doi: 10.1016/j.jviscsurg.2014.09.013. Epub 2014 Oct 28.
8
A case of a right accessory hepatic duct diagnosed during a Whipple procedure.
Int J Surg Case Rep. 2018;51:210-212. doi: 10.1016/j.ijscr.2018.08.034. Epub 2018 Aug 23.
9
Right accessory hepatic artery arising from the left gastric artery: a case report.起源于胃左动脉的右副肝动脉:一例报告
Rom J Morphol Embryol. 2011;52(3 Suppl):1143-5.
10
A general review of anomalies of hepatic morphology and their clinical implications.肝脏形态异常及其临床意义的综述
Anat Clin. 1985;7(4):285-99. doi: 10.1007/BF01784645.

本文引用的文献

1
Aggressive angiomyxoma of the vulva: a bizarre perineal lesion.外阴侵袭性血管黏液瘤:一种奇特的会阴病变。
Case Rep Oncol Med. 2015;2015:292304. doi: 10.1155/2015/292304. Epub 2015 Apr 22.
2
Accessory lobes of the liver: A report of 3 cases and review of the literature.肝脏副叶:3例报告并文献复习
Intractable Rare Dis Res. 2012 May;1(2):86-91. doi: 10.5582/irdr.2012.v1.2.86.
3
Ectopic liver: different manifestations, one solution.肝外异位:不同表现,一种解决方案。
World J Gastroenterol. 2013 Oct 14;19(38):6485-9. doi: 10.3748/wjg.v19.i38.6485.
4
Accessory liver lobe with mesothelial inclusion cysts in an omphalocele: a new malformative association.
Pediatr Dev Pathol. 2007 May-Jun;10(3):224-8. doi: 10.2350/06-08-0148.1.