• 文献检索
  • 文档翻译
  • 深度研究
  • 学术资讯
  • Suppr Zotero 插件Zotero 插件
  • 邀请有礼
  • 套餐&价格
  • 历史记录
应用&插件
Suppr Zotero 插件Zotero 插件浏览器插件Mac 客户端Windows 客户端微信小程序
定价
高级版会员购买积分包购买API积分包
服务
文献检索文档翻译深度研究API 文档MCP 服务
关于我们
关于 Suppr公司介绍联系我们用户协议隐私条款
关注我们

Suppr 超能文献

核心技术专利:CN118964589B侵权必究
粤ICP备2023148730 号-1Suppr @ 2026

文献检索

告别复杂PubMed语法,用中文像聊天一样搜索,搜遍4000万医学文献。AI智能推荐,让科研检索更轻松。

立即免费搜索

文件翻译

保留排版,准确专业,支持PDF/Word/PPT等文件格式,支持 12+语言互译。

免费翻译文档

深度研究

AI帮你快速写综述,25分钟生成高质量综述,智能提取关键信息,辅助科研写作。

立即免费体验

伊马替尼治疗的慢性髓性白血病患者复发呈髓母细胞危象时出现的孤立性眼部表现:一例报告并文献复习

Isolated Ocular Manifestation of Relapsed Chronic Myelogenous Leukemia Presenting as Myeloid Blast Crisis in a Patient on Imatinib Therapy: A Case Report and Review of the Literature.

作者信息

Gulati Rohit, Alkhatib Yaser, Donthireddy Vijayalakshmi, Felicella Michelle Madden, Menon Madhu P, Inamdar Kedar V

机构信息

Henry Ford Hospital, 2799 W. Grand Boulevard, Detroit, MI 48202, USA.

出版信息

Case Rep Pathol. 2015;2015:380451. doi: 10.1155/2015/380451. Epub 2015 Dec 24.

DOI:10.1155/2015/380451
PMID:26819793
原文链接:https://pmc.ncbi.nlm.nih.gov/articles/PMC4706875/
Abstract

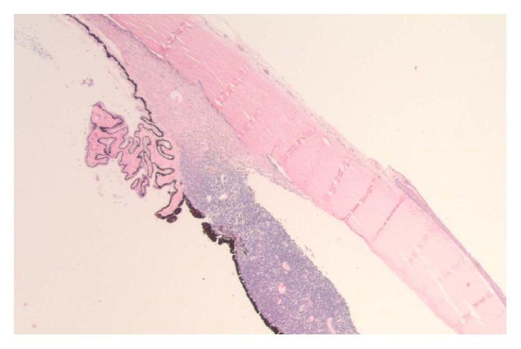
Blast phase in chronic myelogenous leukemia (CML) has rarely been reported to involve extramedullary sites like skin, lymph nodes, and central nervous system. Clinical history, characteristic hematologic findings (elevated leukocyte counts, myelocytic predominance, and basophilia), and Philadelphia chromosome are of high diagnostic significance especially in isolated extramedullary presentations. We describe a unique case of CML relapse with blast phase involving the eye. A 66-year-old man with a known diagnosis of CML on imatinib and in molecular remission for 3 years presented with a painful blind eye. Histologic examination revealed diffuse involvement of choroid, iris, vitreous humor, and the optic nerve by blast cells. The blasts expressed CD34, aberrant TdT, and a myeloid phenotype (CD13, CD33, and CD117). Fluorescence in situ hybridization (FISH) of vitreous fluid detected BCR-ABL1 gene rearrangement. Additionally, trisomy 8 and gains of 9 and 22 were seen which were not present in the initial diagnostic marrow study 3 years ago. At relapse, the bone marrow, peripheral blood, and the cerebrospinal fluid were not involved by CML. Patient received induction chemotherapy and single dose prophylactic intrathecal methotrexate and was maintained on antityrosine kinase therapy and eventually underwent allogenic stem cell transplantation.

摘要

慢性髓性白血病(CML)的急变期很少有累及皮肤、淋巴结和中枢神经系统等髓外部位的报道。临床病史、特征性血液学表现(白细胞计数升高、以髓细胞为主及嗜碱性粒细胞增多)和费城染色体具有很高的诊断意义,尤其是在孤立的髓外表现中。我们描述了1例CML急变期复发累及眼部的独特病例。1名66岁男性,已知诊断为CML,服用伊马替尼且处于分子缓解状态3年,出现患眼疼痛、失明。组织学检查显示原始细胞弥漫性累及脉络膜、虹膜、玻璃体和视神经。原始细胞表达CD34、异常末端脱氧核苷酸转移酶和髓系表型(CD13、CD33和CD117)。玻璃体荧光原位杂交(FISH)检测到BCR-ABL1基因重排。此外,还发现了8号染色体三体以及9号和22号染色体增加,而3年前初始诊断时的骨髓检查中并未出现这些情况。复发时,骨髓、外周血和脑脊液均未被CML累及。患者接受了诱导化疗和单剂量鞘内预防性甲氨蝶呤治疗,并继续接受抗酪氨酸激酶治疗,最终接受了异基因干细胞移植。

https://cdn.ncbi.nlm.nih.gov/pmc/blobs/05ec/4706875/91ec3d459025/CRIPA2015-380451.009.jpg
https://cdn.ncbi.nlm.nih.gov/pmc/blobs/05ec/4706875/752fd507c226/CRIPA2015-380451.001.jpg
https://cdn.ncbi.nlm.nih.gov/pmc/blobs/05ec/4706875/df41efef132f/CRIPA2015-380451.002.jpg
https://cdn.ncbi.nlm.nih.gov/pmc/blobs/05ec/4706875/59681df4660e/CRIPA2015-380451.003.jpg
https://cdn.ncbi.nlm.nih.gov/pmc/blobs/05ec/4706875/4186132c5183/CRIPA2015-380451.004.jpg
https://cdn.ncbi.nlm.nih.gov/pmc/blobs/05ec/4706875/396c1f9b8a7d/CRIPA2015-380451.005.jpg
https://cdn.ncbi.nlm.nih.gov/pmc/blobs/05ec/4706875/290ed4ed44b1/CRIPA2015-380451.006.jpg
https://cdn.ncbi.nlm.nih.gov/pmc/blobs/05ec/4706875/00784252082d/CRIPA2015-380451.007.jpg
https://cdn.ncbi.nlm.nih.gov/pmc/blobs/05ec/4706875/8ddf15beaa4d/CRIPA2015-380451.008.jpg
https://cdn.ncbi.nlm.nih.gov/pmc/blobs/05ec/4706875/91ec3d459025/CRIPA2015-380451.009.jpg
https://cdn.ncbi.nlm.nih.gov/pmc/blobs/05ec/4706875/752fd507c226/CRIPA2015-380451.001.jpg
https://cdn.ncbi.nlm.nih.gov/pmc/blobs/05ec/4706875/df41efef132f/CRIPA2015-380451.002.jpg
https://cdn.ncbi.nlm.nih.gov/pmc/blobs/05ec/4706875/59681df4660e/CRIPA2015-380451.003.jpg
https://cdn.ncbi.nlm.nih.gov/pmc/blobs/05ec/4706875/4186132c5183/CRIPA2015-380451.004.jpg
https://cdn.ncbi.nlm.nih.gov/pmc/blobs/05ec/4706875/396c1f9b8a7d/CRIPA2015-380451.005.jpg
https://cdn.ncbi.nlm.nih.gov/pmc/blobs/05ec/4706875/290ed4ed44b1/CRIPA2015-380451.006.jpg
https://cdn.ncbi.nlm.nih.gov/pmc/blobs/05ec/4706875/00784252082d/CRIPA2015-380451.007.jpg
https://cdn.ncbi.nlm.nih.gov/pmc/blobs/05ec/4706875/8ddf15beaa4d/CRIPA2015-380451.008.jpg
https://cdn.ncbi.nlm.nih.gov/pmc/blobs/05ec/4706875/91ec3d459025/CRIPA2015-380451.009.jpg

相似文献

1
Isolated Ocular Manifestation of Relapsed Chronic Myelogenous Leukemia Presenting as Myeloid Blast Crisis in a Patient on Imatinib Therapy: A Case Report and Review of the Literature.伊马替尼治疗的慢性髓性白血病患者复发呈髓母细胞危象时出现的孤立性眼部表现:一例报告并文献复习
Case Rep Pathol. 2015;2015:380451. doi: 10.1155/2015/380451. Epub 2015 Dec 24.
2
Mixed phenotype (T/B/myeloid) extramedullary blast crisis as an initial presentation of chronic myelogenous leukemia.混合表型(T/B/髓系)髓外原始细胞危象作为慢性髓性白血病的初始表现。
Exp Mol Pathol. 2018 Apr;104(2):130-133. doi: 10.1016/j.yexmp.2018.02.005. Epub 2018 Mar 1.
3
Bilineal Extramedullary Blast Crisis as an Initial Presentation of Chronic Myeloid Leukemia: A Case Report and Literature Review.双系髓外原始细胞危象作为慢性髓性白血病的初始表现:一例报告及文献复习
Am J Case Rep. 2016 Oct 27;17:793-798. doi: 10.12659/ajcr.899621.
4
Chronic Myeloid Leukemia with cryptic Philadelphia translocation and extramedullary B-lymphoid blast phase as an initial presentation.以隐匿性费城染色体易位和髓外B淋巴细胞母细胞期为首发表现的慢性髓系白血病。
Acta Biomed. 2018 Apr 3;89(3-S):38-44. doi: 10.23750/abm.v89i3-S.7219.
5
Precursor Lymphoblastic Lymphoma in the Extramedullary Tissue: A Rare Manifestation of Chronic Myeloid Leukemia in Blast Crisis.髓外组织中的前体淋巴细胞淋巴瘤:慢性粒细胞白血病急变期的一种罕见表现。
Cureus. 2020 Oct 17;12(10):e11009. doi: 10.7759/cureus.11009.
6
A case of non-Hodgkin lymphoma in a patient with chronic myeloid leukemia.一名慢性髓性白血病患者发生非霍奇金淋巴瘤的病例。
Rom J Morphol Embryol. 2013;54(4):1141-5.
7
Ph-negative non-Hodgkin's lymphoma occurring in chronic phase of Ph-positive chronic myelogenous leukemia is defined as a genetically different neoplasm from extramedullary localized blast crisis: report of two cases and review of the literature.发生于Ph阳性慢性髓性白血病慢性期的Ph阴性非霍奇金淋巴瘤被定义为一种与髓外局限性原始细胞危象基因不同的肿瘤:两例报告及文献复习
Leukemia. 2000 Jan;14(1):169-82. doi: 10.1038/sj.leu.2401606.
8
Extramedullary T-lymphoblastic blast crisis in chronic myelogenous leukemia: A case report of successful diagnosis and treatment.慢性粒细胞白血病髓外T淋巴细胞母细胞危象:一例成功诊断与治疗的病例报告
Exp Ther Med. 2015 Mar;9(3):850-852. doi: 10.3892/etm.2015.2173. Epub 2015 Jan 9.
9
U.S. Food and Drug Administration Drug Approval Summary: conversion of imatinib mesylate (STI571; Gleevec) tablets from accelerated approval to full approval.美国食品药品监督管理局药品批准总结:甲磺酸伊马替尼(STI571;格列卫)片剂从加速批准转为完全批准。
Clin Cancer Res. 2005 Jan 1;11(1):12-9.
10
Chronic myelogenous leukemia presenting with central nervous system infiltration, successfully treated with central nervous system-directed chemotherapy followed by allogeneic stem cell transplantation.慢性粒细胞白血病伴中枢神经系统浸润,经中枢神经系统定向化疗后成功治疗,随后进行异基因干细胞移植。
Int J Hematol. 2018 Dec;108(6):640-646. doi: 10.1007/s12185-018-2511-6. Epub 2018 Aug 4.

引用本文的文献

1
Assessment of retinal, choroidal and peripapillary microvascular changes in patients with chronic myeloid leukemia.慢性髓性白血病患者视网膜、脉络膜及视乳头周围微血管变化的评估
Jpn J Ophthalmol. 2025 May 26. doi: 10.1007/s10384-025-01216-0.
2
Isolated Ocular Manifestations in Chronic Myeloid Leukaemia.慢性髓系白血病的孤立性眼部表现
Cureus. 2021 Nov 10;13(11):e19450. doi: 10.7759/cureus.19450. eCollection 2021 Nov.
3
Bilateral Serous Retinal Detachment in Lymphoid Blast Crisis of Chronic Myeloid Leukemia.慢性髓性白血病淋巴母细胞危象中的双侧浆液性视网膜脱离

本文引用的文献

1
The choice of first-line chronic myelogenous leukemia treatment.一线慢性粒细胞白血病治疗的选择。
Ann Hematol. 2015 Apr;94 Suppl 2(Suppl 2):S123-31. doi: 10.1007/s00277-015-2321-3. Epub 2015 Mar 27.
2
Phosphorylation of spleen tyrosine kinase at tyrosine 348 (pSyk³⁴⁸) may be a marker of advanced phase of Chronic Myeloid Leukemia (CML).脾酪氨酸激酶酪氨酸 348 位的磷酸化(pSyk³⁴⁸)可能是慢性髓细胞白血病(CML)晚期的一个标志物。
Leuk Res. 2015 Mar;39(3):329-34. doi: 10.1016/j.leukres.2014.11.014. Epub 2014 Dec 13.
3
Predicting early blast transformation in chronic-phase chronic myeloid leukemia: is immunophenotyping the missing link?
Case Rep Ophthalmol. 2021 Jun 17;12(2):555-561. doi: 10.1159/000516861. eCollection 2021 May-Aug.
4
Intraocular infiltration of Philadelphia chromosome-positive acute lymphoblastic leukemia diagnosed by polymerase chain reaction from the aqueous humor: A case report.通过聚合酶链反应从房水诊断费城染色体阳性急性淋巴细胞白血病的眼内浸润:一例报告。
Medicine (Baltimore). 2020 Jan;99(4):e18872. doi: 10.1097/MD.0000000000018872.
5
A Rare Monocytic Crisis of Chronic Myelogenous Leukemia Presenting with Unusual Extramedullary Manifestations and an Atypical (14;22)(q24;q11.2) Translocation in the Bone Marrow.一例慢性髓性白血病罕见单核细胞危象,伴有不寻常的髓外表现及骨髓中不典型的(14;22)(q24;q11.2)易位。
Intern Med. 2017 Dec 15;56(24):3341-3346. doi: 10.2169/internalmedicine.8617-16. Epub 2017 Oct 11.
6
Extramedullary sudden blast crisis in chronic-phase chronic myeloid leukemia during first-line treatment with nilotinib.在一线使用尼罗替尼治疗慢性期慢性髓性白血病期间发生的髓外急性原始细胞危象
Blood Cancer J. 2016 Aug 26;6(8):e461. doi: 10.1038/bcj.2016.66.
预测慢性期慢性髓性白血病的早期急变:免疫表型是缺失的一环吗?
Cancer. 2015 Mar 15;121(6):872-5. doi: 10.1002/cncr.29142. Epub 2014 Nov 11.
4
[Differential analysis of BM cell morphology, immunophenotypic, cytogenetic characters and prognosis between myeloblastic and lymphoblastic crisis of CML].[慢性粒细胞白血病急粒变与急淋变骨髓细胞形态学、免疫表型、细胞遗传学特征及预后的差异分析]
Zhongguo Shi Yan Xue Ye Xue Za Zhi. 2014 Jun;22(3):629-33. doi: 10.7534/j.issn.1009-2137.2014.03.010.
5
Hes1 promotes blast crisis in chronic myelogenous leukemia through MMP-9 upregulation in leukemic cells.Hes1 通过上调白血病细胞中的 MMP-9 促进慢性髓性白血病的急变期。
Blood. 2014 Jun 19;123(25):3932-42. doi: 10.1182/blood-2013-01-476747. Epub 2014 May 13.
6
Evi1 defines leukemia-initiating capacity and tyrosine kinase inhibitor resistance in chronic myeloid leukemia.Evi1决定慢性髓性白血病的白血病起始能力和酪氨酸激酶抑制剂耐药性。
Oncogene. 2014 Oct 16;33(42):5028-38. doi: 10.1038/onc.2014.108. Epub 2014 Apr 21.
7
Discovery of somatic mutations in the progression of chronic myeloid leukemia by whole-exome sequencing.通过全外显子组测序发现慢性髓系白血病进展过程中的体细胞突变。
Genet Mol Res. 2014 Feb 19;13(1):945-53. doi: 10.4238/2014.February.19.5.
8
Extramedullary blast crisis of chronic myelogenous leukemia as an initial presentation.慢性髓性白血病髓外原始细胞危象作为首发表现
Leuk Res Rep. 2013 Aug 13;2(2):67-9. doi: 10.1016/j.lrr.2013.07.002. eCollection 2013.
9
Sudden extramedullary blast crisis of chronic myeloid leukemia manifesting as T-cell lymphoblastic lymphoma.慢性髓系白血病突发髓外原始细胞危象,表现为T细胞淋巴母细胞淋巴瘤。
Onkologie. 2013;36(3):119-22. doi: 10.1159/000348681. Epub 2013 Feb 25.
10
Fluorescent in situ hybridization diagnosis of extramedullary nodal blast crisis.髓外淋巴结母细胞危象的荧光原位杂交诊断
Diagn Cytopathol. 2013 Mar;41(3):253-6. doi: 10.1002/dc.21795. Epub 2011 Aug 26.