Gaya Andy, Giakoustidis Alex, Winslet Mark, Mudan Satvinder
London Oncology Clinic, Guy's and St. Thomas' NHS Foundation Trust.
Department of HPB Surgery, Royal London Hospital.
Cureus. 2015 Dec 21;7(12):e420. doi: 10.7759/cureus.420.
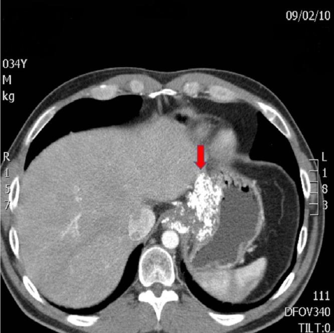
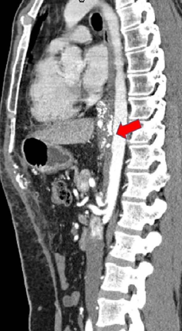
Disease assessment based on measurements of size and anatomic involvement have historically been central to surgical strategy. We propose this to be an outdated concept, which should be replaced by a deeper understanding of tumor biology and careful treatment planning. Report of case: A 34-year-old male was diagnosed with a Siewert Type 3 locally advanced cancer of the gastroesophageal junction, involving the coeliac axis and the superior mesenteric artery (SMA). He was treated with neoadjuvant chemotherapy, followed by chemoradiation, and then proceeded to surgery, at which time the tumor was judged unresectable. After extensive planning, a further surgery was attempted - an extended gastrectomy with distal esophagectomy, left hepatectomy, and splenectomy were performed. Additionally, the coeliac axis and the SMA were excised, followed by reconstruction of the hepatic artery and the SMA with grafts. Adjuvant chemotherapy was administered, and the patient is recurrence-free after five years follow-up.
This case highlights the importance of the distinction between resectability and operability, and that patient treatment should be tailored and individualised based on the response to treatment, comorbidities, and underlying tumor biology.
基于大小测量和解剖受累情况进行疾病评估在历史上一直是手术策略的核心。我们认为这是一个过时的概念,应由对肿瘤生物学的更深入理解和精心的治疗规划取而代之。病例报告:一名34岁男性被诊断为Siewert 3型局部进展期胃食管交界癌,累及腹腔干和肠系膜上动脉(SMA)。他接受了新辅助化疗,随后进行了放化疗,然后进行手术,此时判断肿瘤无法切除。经过广泛规划后,尝试了进一步的手术——进行了扩大胃切除术、远端食管切除术、左肝切除术和脾切除术。此外,切除了腹腔干和肠系膜上动脉,随后用移植物重建肝动脉和肠系膜上动脉。给予辅助化疗,患者在五年随访后无复发。
该病例突出了可切除性和可操作性之间区别的重要性,并且患者治疗应根据治疗反应、合并症和潜在肿瘤生物学进行量身定制和个体化。