Franco Claudio A, Jones Martin L, Bernabeu Miguel O, Vion Anne-Clemence, Barbacena Pedro, Fan Jieqing, Mathivet Thomas, Fonseca Catarina G, Ragab Anan, Yamaguchi Terry P, Coveney Peter V, Lang Richard A, Gerhardt Holger
Vascular Biology Laboratory, Lincoln's Inn Laboratories, London Research Institute, The Francis Crick Institute, London, United Kingdom.
Instituto de Medicina Molecular, Faculdade de Medicina Universidade de Lisboa, Lisbon, Portugal.
Elife. 2016 Feb 4;5:e07727. doi: 10.7554/eLife.07727.
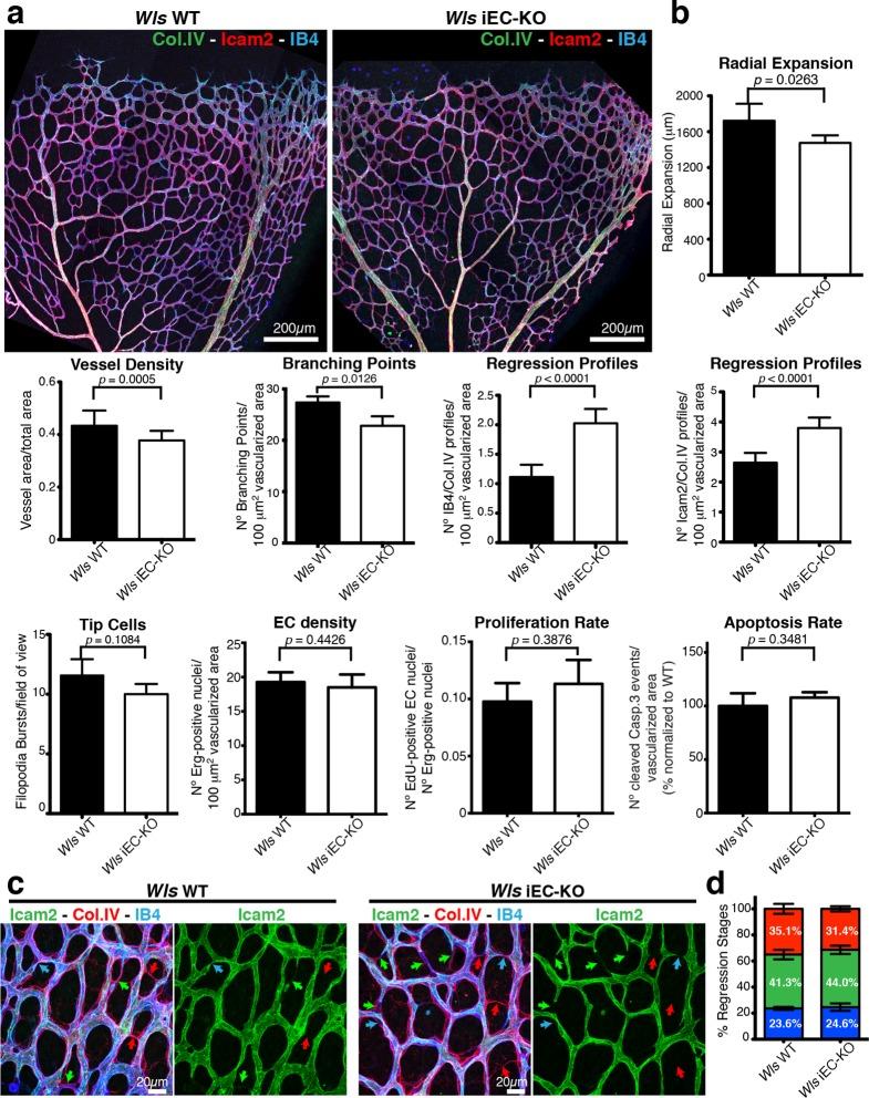
Endothelial cells respond to molecular and physical forces in development and vascular homeostasis. Deregulation of endothelial responses to flow-induced shear is believed to contribute to many aspects of cardiovascular diseases including atherosclerosis. However, how molecular signals and shear-mediated physical forces integrate to regulate vascular patterning is poorly understood. Here we show that endothelial non-canonical Wnt signalling regulates endothelial sensitivity to shear forces. Loss of Wnt5a/Wnt11 renders endothelial cells more sensitive to shear, resulting in axial polarization and migration against flow at lower shear levels. Integration of flow modelling and polarity analysis in entire vascular networks demonstrates that polarization against flow is achieved differentially in artery, vein, capillaries and the primitive sprouting front. Collectively our data suggest that non-canonical Wnt signalling stabilizes forming vascular networks by reducing endothelial shear sensitivity, thus keeping vessels open under low flow conditions that prevail in the primitive plexus.
内皮细胞在发育和血管稳态过程中对分子和物理力作出反应。内皮细胞对血流诱导的剪切力反应失调被认为是导致包括动脉粥样硬化在内的心血管疾病诸多方面的原因。然而,分子信号和剪切力介导的物理力如何整合以调节血管形态形成却知之甚少。在此,我们表明内皮细胞非经典Wnt信号传导调节内皮细胞对剪切力的敏感性。Wnt5a/Wnt11缺失使内皮细胞对剪切力更敏感,导致在较低剪切力水平下轴向极化并逆血流迁移。对整个血管网络进行血流建模和极性分析表明,动脉、静脉、毛细血管和原始发芽前端以不同方式实现逆血流极化。我们的数据共同表明,非经典Wnt信号传导通过降低内皮细胞剪切敏感性来稳定正在形成的血管网络,从而在原始丛中普遍存在的低血流条件下保持血管通畅。