• 文献检索
  • 文档翻译
  • 深度研究
  • 学术资讯
  • Suppr Zotero 插件Zotero 插件
  • 邀请有礼
  • 套餐&价格
  • 历史记录
应用&插件
Suppr Zotero 插件Zotero 插件浏览器插件Mac 客户端Windows 客户端微信小程序
定价
高级版会员购买积分包购买API积分包
服务
文献检索文档翻译深度研究API 文档MCP 服务
关于我们
关于 Suppr公司介绍联系我们用户协议隐私条款
关注我们

Suppr 超能文献

核心技术专利:CN118964589B侵权必究
粤ICP备2023148730 号-1Suppr @ 2026

文献检索

告别复杂PubMed语法,用中文像聊天一样搜索,搜遍4000万医学文献。AI智能推荐,让科研检索更轻松。

立即免费搜索

文件翻译

保留排版,准确专业,支持PDF/Word/PPT等文件格式,支持 12+语言互译。

免费翻译文档

深度研究

AI帮你快速写综述,25分钟生成高质量综述,智能提取关键信息,辅助科研写作。

立即免费体验

RNA 结合蛋白调节软骨细胞中合成代谢和分解代谢基因的表达。

RNA binding proteins regulate anabolic and catabolic gene expression in chondrocytes.

机构信息

Department of Musculoskeletal Biology, Institute of Ageing and Chronic Disease, University of Liverpool, Leahurst Campus, Neston, Cheshire CH64 7TE, UK.

Department of Musculoskeletal Biology, Institute of Ageing and Chronic Disease, University of Liverpool, Leahurst Campus, Neston, Cheshire CH64 7TE, UK.

出版信息

Osteoarthritis Cartilage. 2016 Jul;24(7):1263-73. doi: 10.1016/j.joca.2016.01.988. Epub 2016 Feb 4.

DOI:10.1016/j.joca.2016.01.988
PMID:26853752
原文链接:https://pmc.ncbi.nlm.nih.gov/articles/PMC4917896/
Abstract

OBJECTIVE

Regulation of anabolic and catabolic factors is considered essential in maintaining the homoeostasis of healthy articular cartilage. In this study we investigated the influence of RNA binding proteins (RNABPs) in this process.

DESIGN

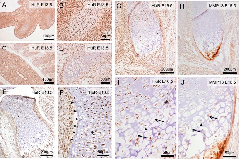
Using small interfering RNA (siRNA), RNABP expression was knocked down in SW1353 chondrosarcoma cells and human articular chondrocytes. Gene expression and messenger RNA (mRNA) decay of anabolic (SOX9, Aggrecan) and catabolic (matrix metalloproteinase (MMP)13) factors were analysed using reverse transcription quantitative polymerase chain reaction (RT-qPCR). RNA-electromobility shift assays (EMSAs) were used to investigate RNABP interactions with the SOX9 mRNA 3' untranslated region (UTR). Immunohistochemical localisation of MMP13 and the RNABP human antigen R (HuR) was performed in E13.5 and E16.5 mouse embryo sections.

RESULTS

SOX9 mRNA, mRNA half-life and protein expression were increased with siRNA targeting the RNABP tristetraprolin (TTP) in both HACs and SW1353s. TTP knockdown also stimulated aggrecan mRNA expression but did not affect its stability. RNA-EMSAs demonstrated that adenine uracil (AU)-rich elements in the SOX9 mRNA 3'UTR interacted with chondrocyte proteins with three specific elements interacting with TTP. HuR knockdown significantly increased MMP13 expression and also regulated the expression of a number of known transcriptional repressors of MMP13. HuR was ubiquitously expressed within mouse embryos yet displayed regional down-regulation within developing skeletal structures.

CONCLUSION

This study demonstrates for the first time how RNABPs are able to affect the balance of anabolic and catabolic gene expression in human chondrocytes. The post-transcriptional mechanisms controlled by RNABPs present novel avenues of regulation and potential points of intervention for controlling the expression of SOX9 and MMP13 in chondrocytes.

摘要

目的

调控合成代谢和分解代谢因子被认为是维持健康关节软骨内稳态的关键。在本研究中,我们研究了 RNA 结合蛋白(RNABP)在这一过程中的影响。

设计

使用小干扰 RNA(siRNA)敲低 SW1353 软骨肉瘤细胞和人关节软骨细胞中的 RNABP 表达。使用逆转录定量聚合酶链反应(RT-qPCR)分析合成代谢(SOX9、聚集蛋白聚糖)和分解代谢(基质金属蛋白酶(MMP)13)因子的基因表达和信使 RNA(mRNA)衰减。RNA 电泳迁移率变动分析(EMSA)用于研究 RNABP 与 SOX9 mRNA 3'非翻译区(UTR)的相互作用。在 E13.5 和 E16.5 小鼠胚胎切片中进行 MMP13 和 RNA 结合蛋白人类抗原 R(HuR)的免疫组织化学定位。

结果

在 HACs 和 SW1353s 中,针对 RNABP 三丝氨酸脯氨酸(TTP)的 siRNA 可增加 SOX9 mRNA、mRNA 半衰期和蛋白表达。TTP 敲低也刺激聚集蛋白聚糖 mRNA 表达,但不影响其稳定性。RNA-EMSA 表明,SOX9 mRNA 3'UTR 中的腺嘌呤尿嘧啶(AU)丰富元件与软骨细胞蛋白相互作用,其中三个特定元件与 TTP 相互作用。HuR 敲低显著增加 MMP13 表达,还调节了 MMP13 的许多已知转录抑制剂的表达。HuR 在小鼠胚胎中广泛表达,但在发育中的骨骼结构中显示区域下调。

结论

本研究首次证明了 RNABP 如何影响人软骨细胞中合成代谢和分解代谢基因表达的平衡。RNABP 控制的转录后机制为调控软骨细胞中 SOX9 和 MMP13 的表达提供了新的途径和潜在的干预点。

https://cdn.ncbi.nlm.nih.gov/pmc/blobs/ad18/4917896/65bfe7220d33/gr6.jpg
https://cdn.ncbi.nlm.nih.gov/pmc/blobs/ad18/4917896/81778cbebddb/gr1.jpg
https://cdn.ncbi.nlm.nih.gov/pmc/blobs/ad18/4917896/34766aca88bb/gr2.jpg
https://cdn.ncbi.nlm.nih.gov/pmc/blobs/ad18/4917896/04976357181d/gr3.jpg
https://cdn.ncbi.nlm.nih.gov/pmc/blobs/ad18/4917896/3b6e2a8bd598/gr4.jpg
https://cdn.ncbi.nlm.nih.gov/pmc/blobs/ad18/4917896/9a1a51af04a1/gr5.jpg
https://cdn.ncbi.nlm.nih.gov/pmc/blobs/ad18/4917896/65bfe7220d33/gr6.jpg
https://cdn.ncbi.nlm.nih.gov/pmc/blobs/ad18/4917896/81778cbebddb/gr1.jpg
https://cdn.ncbi.nlm.nih.gov/pmc/blobs/ad18/4917896/34766aca88bb/gr2.jpg
https://cdn.ncbi.nlm.nih.gov/pmc/blobs/ad18/4917896/04976357181d/gr3.jpg
https://cdn.ncbi.nlm.nih.gov/pmc/blobs/ad18/4917896/3b6e2a8bd598/gr4.jpg
https://cdn.ncbi.nlm.nih.gov/pmc/blobs/ad18/4917896/9a1a51af04a1/gr5.jpg
https://cdn.ncbi.nlm.nih.gov/pmc/blobs/ad18/4917896/65bfe7220d33/gr6.jpg

相似文献

1
RNA binding proteins regulate anabolic and catabolic gene expression in chondrocytes.RNA 结合蛋白调节软骨细胞中合成代谢和分解代谢基因的表达。
Osteoarthritis Cartilage. 2016 Jul;24(7):1263-73. doi: 10.1016/j.joca.2016.01.988. Epub 2016 Feb 4.
2
Effects of Wnt3A and mechanical load on cartilage chondrocyte homeostasis.Wnt3A 和机械负荷对软骨细胞稳态的影响。
Arthritis Res Ther. 2011;13(6):R203. doi: 10.1186/ar3536. Epub 2011 Dec 9.
3
Role of sox9 in growth factor regulation of articular chondrocytes.Sox9在关节软骨细胞生长因子调节中的作用。
J Cell Biochem. 2015 Jul;116(7):1391-400. doi: 10.1002/jcb.25099.
4
Regulation of anabolic and catabolic gene expression in normal and osteoarthritic adult human articular chondrocytes by osteogenic protein-1.成骨蛋白-1对正常及骨关节炎成年人类关节软骨细胞中合成代谢和分解代谢基因表达的调控
Clin Exp Rheumatol. 2004 Jan-Feb;22(1):103-6.
5
Hu antigen R and tristetraprolin: counter-regulators of rat apical sodium-dependent bile acid transporter by way of effects on messenger RNA stability.Hu 抗原 R 和三萜四醇:通过影响信使 RNA 稳定性来调节大鼠顶端钠依赖性胆汁酸转运蛋白。
Hepatology. 2011 Oct;54(4):1371-8. doi: 10.1002/hep.24496. Epub 2011 Aug 9.
6
Transforming growth factor alpha suppression of articular chondrocyte phenotype and Sox9 expression in a rat model of osteoarthritis.在骨关节炎大鼠模型中转化生长因子α对关节软骨细胞表型和Sox9表达的抑制作用
Arthritis Rheum. 2007 Nov;56(11):3693-705. doi: 10.1002/art.22968.
7
Anabolic role of lysyl oxidase like-2 in cartilage of knee and temporomandibular joints with osteoarthritis.赖氨酰氧化酶样蛋白2在骨关节炎患者膝关节和颞下颌关节软骨中的合成代谢作用
Arthritis Res Ther. 2017 Aug 2;19(1):179. doi: 10.1186/s13075-017-1388-8.
8
Modulation of TGF-beta signaling by proinflammatory cytokines in articular chondrocytes.促炎细胞因子对关节软骨细胞中转化生长因子-β信号通路的调节作用
Osteoarthritis Cartilage. 2007 Dec;15(12):1367-77. doi: 10.1016/j.joca.2007.04.011. Epub 2007 Jun 29.
9
Fibroblast growth factor receptor 1 is principally responsible for fibroblast growth factor 2-induced catabolic activities in human articular chondrocytes.成纤维细胞生长因子受体 1 主要负责成纤维细胞生长因子 2 诱导的人关节软骨细胞的分解代谢活性。
Arthritis Res Ther. 2011 Aug 11;13(4):R130. doi: 10.1186/ar3441.
10
Effects and relationship of ERK1 and ERK2 in interleukin-1β-induced alterations in MMP3, MMP13, type II collagen and aggrecan expression in human chondrocytes.白细胞介素-1β诱导人软骨细胞中 MMP3、MMP13、Ⅱ型胶原和聚集蛋白聚糖表达改变中 ERK1 和 ERK2 的作用及关系。
Int J Mol Med. 2011 Apr;27(4):583-9. doi: 10.3892/ijmm.2011.611. Epub 2011 Feb 3.

引用本文的文献

1
RNA-binding protein HuR interacts with UFM1 mRNA to ameliorate chondrocyte inflammation, apoptosis and extracellular matrix degradation.RNA结合蛋白HuR与UFM1 mRNA相互作用,以改善软骨细胞炎症、凋亡和细胞外基质降解。
Funct Integr Genomics. 2025 Apr 28;25(1):95. doi: 10.1007/s10142-025-01591-4.
2
RNA-binding proteins that are highly expressed and enriched in healthy cartilage but suppressed in osteoarthritis.在健康软骨中高表达且富集,但在骨关节炎中受到抑制的RNA结合蛋白。
Front Cell Dev Biol. 2023 Jun 30;11:1208315. doi: 10.3389/fcell.2023.1208315. eCollection 2023.
3
The Formulation of the N-Acetylglucosamine as Nanoparticles Increases Its Anti-Inflammatory Activities: An In Vitro Study.

本文引用的文献

1
Regulated transcription of human matrix metalloproteinase 13 (MMP13) and interleukin-1β (IL1B) genes in chondrocytes depends on methylation of specific proximal promoter CpG sites.人类基质金属蛋白酶 13(MMP13)和白细胞介素 1β(IL1B)基因在软骨细胞中的调控转录依赖于特定近端启动子 CpG 位点的甲基化。
J Biol Chem. 2013 Apr 5;288(14):10061-10072. doi: 10.1074/jbc.M112.421156. Epub 2013 Feb 15.
2
MicroRNA-101 suppresses SOX9-dependent tumorigenicity and promotes favorable prognosis of human hepatocellular carcinoma.微小 RNA-101 抑制 SOX9 依赖性肿瘤发生并促进人肝细胞癌的有利预后。
FEBS Lett. 2012 Dec 14;586(24):4362-70. doi: 10.1016/j.febslet.2012.10.053. Epub 2012 Nov 21.
3
N-乙酰葡萄糖胺纳米粒的制剂可增强其抗炎活性:一项体外研究。
Bioengineering (Basel). 2023 Mar 9;10(3):343. doi: 10.3390/bioengineering10030343.
4
MIA/CD-RAP Regulates MMP13 and Is a Potential New Disease-Modifying Target for Osteoarthritis Therapy.MIA/CD-RAP 调控 MMP13,有望成为骨关节炎治疗的新靶点。
Cells. 2023 Jan 5;12(2):229. doi: 10.3390/cells12020229.
5
Individual immune cell and cytokine profiles determine platelet-rich plasma composition.个体免疫细胞和细胞因子谱决定富血小板血浆的组成。
Arthritis Res Ther. 2023 Jan 10;25(1):6. doi: 10.1186/s13075-022-02969-6.
6
RNA binding proteins in osteoarthritis.骨关节炎中的RNA结合蛋白
Front Cell Dev Biol. 2022 Aug 8;10:954376. doi: 10.3389/fcell.2022.954376. eCollection 2022.
7
Elavl1 Impacts Osteogenic Differentiation and mRNA Levels of Genes Involved in ECM Organization.Elavl1影响成骨分化以及参与细胞外基质组织的基因的mRNA水平。
Front Cell Dev Biol. 2021 Feb 4;9:606971. doi: 10.3389/fcell.2021.606971. eCollection 2021.
8
Translational regulation contributes to the secretory response of chondrocytic cells following exposure to interleukin-1β.翻译调控有助于软骨细胞在暴露于白细胞介素-1β后产生分泌反应。
J Biol Chem. 2019 Aug 30;294(35):13027-13039. doi: 10.1074/jbc.RA118.006865. Epub 2019 Jul 12.
9
RNA-binding protein ZFP36L1 regulates osteoarthritis by modulating members of the heat shock protein 70 family.RNA 结合蛋白 ZFP36L1 通过调节热休克蛋白 70 家族成员来调控骨关节炎。
Nat Commun. 2019 Jan 8;10(1):77. doi: 10.1038/s41467-018-08035-7.
10
RNA binding protein HuR regulates extracellular matrix gene expression and pH homeostasis independent of controlling HIF-1α signaling in nucleus pulposus cells.RNA 结合蛋白 HuR 通过调控细胞外基质基因表达和 pH 值平衡,独立于核内体细胞中 HIF-1α 信号调控。
Matrix Biol. 2019 Apr;77:23-40. doi: 10.1016/j.matbio.2018.08.003. Epub 2018 Aug 7.
Regulation of human chondrocyte function through direct inhibition of cartilage master regulator SOX9 by microRNA-145 (miRNA-145).
通过 microRNA-145(miRNA-145)直接抑制软骨主调控因子 SOX9 调节人软骨细胞功能。
J Biol Chem. 2012 Jan 6;287(2):916-24. doi: 10.1074/jbc.M111.302430. Epub 2011 Nov 18.
4
MicroRNA-145 regulates chondrogenic differentiation of mesenchymal stem cells by targeting Sox9.MicroRNA-145 通过靶向 Sox9 调节间充质干细胞的软骨分化。
PLoS One. 2011;6(7):e21679. doi: 10.1371/journal.pone.0021679. Epub 2011 Jul 20.
5
Tristetraprolin regulates interleukin-6, which is correlated with tumor progression in patients with head and neck squamous cell carcinoma.Tristetraprolin 调节白细胞介素-6,后者与头颈部鳞状细胞癌患者的肿瘤进展相关。
Cancer. 2011 Jun 15;117(12):2677-89. doi: 10.1002/cncr.25859. Epub 2011 Jan 10.
6
Analysis of post transcriptional regulation of SOX9 mRNA during in vitro chondrogenesis.分析 Sox9mRNA 在体外软骨形成过程中的转录后调控。
Tissue Eng Part A. 2011 Jul;17(13-14):1801-7. doi: 10.1089/ten.TEA.2010.0579. Epub 2011 Apr 18.
7
Matrix metalloproteinase 13-deficient mice are resistant to osteoarthritic cartilage erosion but not chondrocyte hypertrophy or osteophyte development.基质金属蛋白酶13缺陷型小鼠对骨关节炎软骨侵蚀具有抗性,但对软骨细胞肥大或骨赘形成没有抗性。
Arthritis Rheum. 2009 Dec;60(12):3723-33. doi: 10.1002/art.25002.
8
Hyperosmolarity regulates SOX9 mRNA posttranscriptionally in human articular chondrocytes.高渗作用在转录后水平调节人关节软骨细胞中的SOX9信使核糖核酸。
Am J Physiol Cell Physiol. 2009 Oct;297(4):C898-906. doi: 10.1152/ajpcell.00571.2008. Epub 2009 Aug 5.
9
The p38 MAPK pathway inhibits tristetraprolin-directed decay of interleukin-10 and pro-inflammatory mediator mRNAs in murine macrophages.p38丝裂原活化蛋白激酶(MAPK)信号通路可抑制小鼠巨噬细胞中由锌指蛋白TTP介导的白细胞介素-10及促炎介质mRNA的降解。
FEBS Lett. 2009 Jun 18;583(12):1933-8. doi: 10.1016/j.febslet.2009.04.039. Epub 2009 May 3.
10
The RNA-binding protein Elavl1/HuR is essential for placental branching morphogenesis and embryonic development.RNA结合蛋白Elavl1/HuR对胎盘分支形态发生和胚胎发育至关重要。
Mol Cell Biol. 2009 May;29(10):2762-76. doi: 10.1128/MCB.01393-08. Epub 2009 Mar 23.