Suppr超能文献

大鼠实验性牙齿移动后牙髓组织的年龄相关变化。

Age-related changes of dental pulp tissue after experimental tooth movement in rats.

作者信息

Von Böhl Martina, Ren Yijin, Kuijpers-Jagtman Anne M, Fudalej Piotr S, Maltha Jaap C

机构信息

Department of Orthodontics and Craniofacial Biology, Radboud University Nijmegen , Nijmegen , The Netherlands.

Department of Orthodontics, University of Groningen, University Medical Centre Groningen , Groningen, Griningen , The Netherlands.

出版信息

PeerJ. 2016 Jan 25;4:e1625. doi: 10.7717/peerj.1625. eCollection 2016.

Abstract

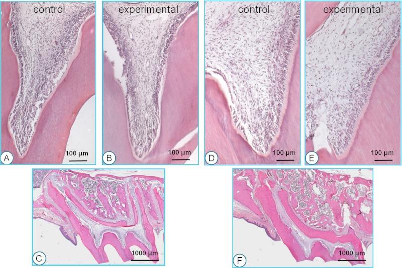
It is generally accepted that the effect of orthodontic tooth movement on the dental pulp in adolescents is reversible and that it has no long-lasting effect on pulpal physiology. However, it is not clear yet if the same conclusion is also valid for adult subjects. Thus, in two groups of rats, aged 6 and 40 weeks respectively, 3 molars at one side of the maxilla were moved together in a mesial direction with a standardized orthodontic appliance delivering a force of 10 cN. The contralateral side served as a control. Parasagittal histological sections were prepared after tooth movement for 1, 2, 4, 8, and 12 weeks. The pulp tissue was characterized for the different groups, with special emphasis on cell density, inflammatory cells, vascularity, and odontoblasts. Dimensions of dentin and the pulpal horns was determined and related with the duration of orthodontic force application and age ware evaluated. We found that neither in young nor in adult rats, force application led to long-lasting or irreversible changes in pulpal tissues. Dimensional variables showed significant age-related changes. In conclusion, orthodontic tooth movement per se has no long-lasting or irreversible effect on pulpal tissues, neither in the young nor in the adult animals.

摘要

人们普遍认为,正畸牙齿移动对青少年牙髓的影响是可逆的,并且对牙髓生理没有长期影响。然而,对于成年受试者,同样的结论是否成立尚不清楚。因此,在分别为6周龄和40周龄的两组大鼠中,使用施加10 cN力的标准化正畸矫治器将上颌一侧的3颗磨牙一起向近中方向移动。对侧作为对照。在牙齿移动1、2、4、8和12周后制备矢状旁组织切片。对不同组的牙髓组织进行特征分析,特别关注细胞密度、炎症细胞、血管分布和成牙本质细胞。测定牙本质和牙髓角的尺寸,并评估其与正畸力施加持续时间和年龄的关系。我们发现,无论是幼鼠还是成年大鼠,施加力都不会导致牙髓组织发生长期或不可逆的变化。尺寸变量显示出与年龄相关的显著变化。总之,正畸牙齿移动本身对幼龄和成年动物的牙髓组织均没有长期或不可逆的影响。

https://cdn.ncbi.nlm.nih.gov/pmc/blobs/34cf/4741077/1fe8f0ac2233/peerj-04-1625-g001.jpg

文献检索

告别复杂PubMed语法,用中文像聊天一样搜索,搜遍4000万医学文献。AI智能推荐,让科研检索更轻松。

立即免费搜索

文件翻译

保留排版,准确专业,支持PDF/Word/PPT等文件格式,支持 12+语言互译。

免费翻译文档

深度研究

AI帮你快速写综述,25分钟生成高质量综述,智能提取关键信息,辅助科研写作。

立即免费体验