Suppr超能文献

源自Lgr5+干细胞的侵袭性小鼠胃腺癌依赖于刺猬信号通路/GLI2和mTOR信号通路之间的串扰。

Invasive mouse gastric adenocarcinomas arising from Lgr5+ stem cells are dependent on crosstalk between the Hedgehog/GLI2 and mTOR pathways.

作者信息

Syu Li-Jyun, Zhao Xinyi, Zhang Yaqing, Grachtchouk Marina, Demitrack Elise, Ermilov Alexandre, Wilbert Dawn M, Zheng Xinlei, Kaatz Ashley, Greenson Joel K, Gumucio Deborah L, Merchant Juanita L, di Magliano Marina Pasca, Samuelson Linda C, Dlugosz Andrzej A

机构信息

Department of Dermatology, University of Michigan, Ann Arbor, MI, USA.

Department of Surgery, University of Michigan, Ann Arbor, MI, USA.

出版信息

Oncotarget. 2016 Mar 1;7(9):10255-70. doi: 10.18632/oncotarget.7182.

Abstract

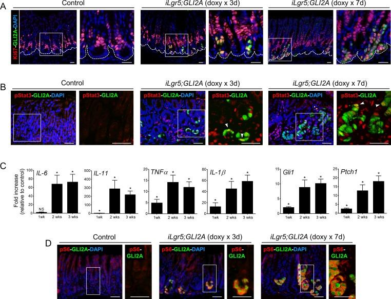
Gastric adenocarcinoma is the third most common cause of cancer-related death worldwide. Here we report a novel, highly-penetrant mouse model of invasive gastric cancer arising from deregulated Hedgehog/Gli2 signaling targeted to Lgr5-expressing stem cells in adult stomach. Tumor development progressed rapidly: three weeks after inducing the Hh pathway oncogene GLI2A, 65% of mice harbored in situ gastric cancer, and an additional 23% of mice had locally invasive tumors. Advanced mouse gastric tumors had multiple features in common with human gastric adenocarcinomas, including characteristic histological changes, expression of RNA and protein markers, and the presence of major inflammatory and stromal cell populations. A subset of tumor cells underwent epithelial-mesenchymal transition, likely mediated by focal activation of canonical Wnt signaling and Snail1 induction. Strikingly, mTOR pathway activation, based on pS6 expression, was robustly activated in mouse gastric adenocarcinomas from the earliest stages of tumor development, and treatment with rapamycin impaired tumor growth. GLI2A-expressing epithelial cells were detected transiently in intestine, which also contains Lgr5+ stem cells, but they did not give rise to epithelial tumors in this organ. These findings establish that deregulated activation of Hedgehog/Gli2 signaling in Lgr5-expressing stem cells is sufficient to drive gastric adenocarcinoma development in mice, identify a critical requirement for mTOR signaling in the pathogenesis of these tumors, and underscore the importance of tissue context in defining stem cell responsiveness to oncogenic stimuli.

摘要

胃腺癌是全球癌症相关死亡的第三大常见原因。在此,我们报告了一种新型的、高侵袭性的小鼠胃癌模型,该模型源于成年胃中靶向Lgr5表达干细胞的Hedgehog/Gli2信号通路失调。肿瘤发展迅速:诱导Hh通路致癌基因GLI2A三周后,65%的小鼠患有原位胃癌,另外23%的小鼠患有局部侵袭性肿瘤。晚期小鼠胃肿瘤具有与人类胃腺癌相同的多个特征,包括特征性组织学变化、RNA和蛋白质标志物的表达以及主要炎症和基质细胞群的存在。一部分肿瘤细胞发生上皮-间质转化,可能由经典Wnt信号通路的局部激活和Snail1诱导介导。引人注目的是,基于pS6表达的mTOR通路激活在小鼠胃腺癌肿瘤发展的最早阶段就被强烈激活,雷帕霉素治疗会损害肿瘤生长。在同样含有Lgr5 +干细胞的肠道中短暂检测到表达GLI2A的上皮细胞,但它们在该器官中并未引发上皮肿瘤。这些发现表明,Lgr5表达干细胞中Hedgehog/Gli2信号通路的失调激活足以驱动小鼠胃腺癌的发展,确定了mTOR信号通路在这些肿瘤发病机制中的关键需求,并强调了组织背景在定义干细胞对致癌刺激反应性方面的重要性。

https://cdn.ncbi.nlm.nih.gov/pmc/blobs/53a6/4891118/d5b8ef13c85e/oncotarget-07-10255-g001.jpg

文献AI研究员

20分钟写一篇综述,助力文献阅读效率提升50倍。

立即体验

用中文搜PubMed

大模型驱动的PubMed中文搜索引擎

马上搜索

文档翻译

学术文献翻译模型,支持多种主流文档格式。

立即体验