Suppr超能文献

胰腺的围手术期计算机断层扫描评估可预测胰十二指肠切除术后的非酒精性脂肪性肝病。

Perioperative Computed Tomography Assessments of the Pancreas Predict Nonalcoholic Fatty Liver Disease After Pancreaticoduodenectomy.

作者信息

Ohgi Katsuhisa, Okamura Yukiyasu, Yamamoto Yusuke, Ashida Ryo, Ito Takaaki, Sugiura Teiichi, Aramaki Takeshi, Uesaka Katsuhiko

机构信息

From the Division of Hepato-Biliary-Pancreatic Surgery (KO, YO, YY, RA, TI, TS, KU) and Division of Interventional Radiology (TA), Shizuoka Cancer Center, Shizuoka, Japan.

出版信息

Medicine (Baltimore). 2016 Feb;95(6):e2535. doi: 10.1097/MD.0000000000002535.

Abstract

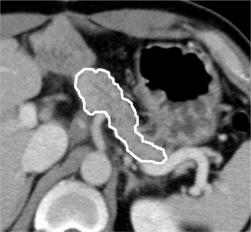
Nonalcoholic fatty liver disease (NAFLD) after pancreaticoduodenectomy (PD) has become a clinically important issue. Although pancreatic exocrine insufficiency has been reported to be a main cause of NAFLD after PD, a clinically practical examination to assess the pancreatic exocrine function has not been established. The aim of this study was to evaluate risk factors for NAFLD after PD with a focus on perioperative computed tomography (CT) assessments of the pancreas.A retrospective review of 245 patients followed for more than 6 months after PD was conducted. We evaluated several pancreatic CT parameters, including the pancreatic parenchymal thickness, pancreatic duct-to-parenchymal ratio, pancreatic attenuation, and remnant pancreatic volume (RPV) on pre- and/or postoperative CT around 6 months after surgery. The variables, including the pancreatic CT parameters, were compared between the groups with and without NAFLD after PD.The incidence of NAFLD after PD was 19.2%. A multivariate analysis identified 5 independent risk factors for NAFLD after PD: a female gender (odds ratio [OR] 5.66, P < 0.001), RPV < 12 mL (OR 4.73, P = 0.001), preoperative pancreatic attenuation of <30 Hounsfield units (OR 4.50, P = 0.002), dissection of the right-sided nerve plexus around the superior mesenteric artery (OR 3.02, P = 0.017) and a preoperative serum carbohydrate antigen 19-9 level of ≥70 U/mL (OR 2.58, P = 0.029).Our results showed that 2 pancreatic CT parameters, the degree of preoperative pancreatic attenuation and RPV, significantly influence the development of NAFLD after PD. Perioperative CT assessments of the pancreas may be helpful for predicting NAFLD after PD.

摘要

胰十二指肠切除术(PD)后非酒精性脂肪性肝病(NAFLD)已成为一个具有临床重要性的问题。尽管据报道胰腺外分泌功能不全是PD后NAFLD的主要原因,但尚未建立用于评估胰腺外分泌功能的临床实用检查方法。本研究的目的是评估PD后NAFLD的危险因素,重点关注胰腺的围手术期计算机断层扫描(CT)评估。

对245例行PD后随访超过6个月的患者进行了回顾性研究。我们评估了几个胰腺CT参数,包括手术约6个月后术前和/或术后CT上的胰腺实质厚度、胰管与实质比、胰腺衰减以及残余胰腺体积(RPV)。将包括胰腺CT参数在内的变量在PD后有和没有NAFLD的组之间进行比较。

PD后NAFLD的发生率为19.2%。多因素分析确定了PD后NAFLD的5个独立危险因素:女性(比值比[OR]5.66,P<0.001)、RPV<12 mL(OR 4.73,P=0.001)、术前胰腺衰减<30亨氏单位(OR 4.50,P=0.002)、肠系膜上动脉周围右侧神经丛的解剖(OR 3.02,P=0.017)以及术前血清糖类抗原19-9水平≥70 U/mL(OR 2.58,P=0.029)。

我们的结果表明,2个胰腺CT参数,即术前胰腺衰减程度和RPV,对PD后NAFLD的发生有显著影响。胰腺的围手术期CT评估可能有助于预测PD后NAFLD。

https://cdn.ncbi.nlm.nih.gov/pmc/blobs/d0df/4753867/f6fe5c6e1a3a/medi-95-e2535-g001.jpg

文献AI研究员

20分钟写一篇综述,助力文献阅读效率提升50倍。

立即体验

用中文搜PubMed

大模型驱动的PubMed中文搜索引擎

马上搜索

文档翻译

学术文献翻译模型,支持多种主流文档格式。

立即体验