Suppr超能文献

一例4岁男孩肠系膜乳糜囊肿合并荚膜组织胞浆菌感染的病例。

A Case of a 4-Year-Old Boy with a Mesenteric Chylous Cyst Infected with Histoplasma capsulatum.

作者信息

Kweyamba Vianney, Apiyo Mirraim, Olika Biratu, Kituuka Olivia

机构信息

Department of Surgery, Case Hospital, Kampala, Uganda.

Department of Pediatrics, Case Hospital, Kampala, Uganda.

出版信息

Case Rep Surg. 2016;2016:4296059. doi: 10.1155/2016/4296059. Epub 2016 Jan 6.

Abstract

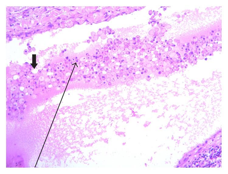
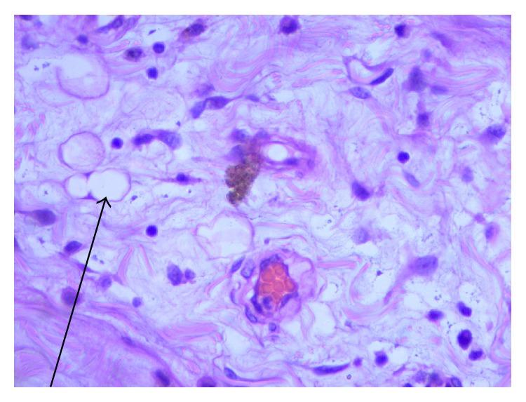
Mesenteric cysts are uncommon entities and chyle- (lymph-) containing cysts are the rarest of this group. This is a case report of a 4-year-old boy with a mesenteric chylous cyst who was later found to have Histoplasma capsulatum infection.

摘要

肠系膜囊肿是罕见的疾病,而含乳糜(淋巴)的囊肿是该类疾病中最为罕见的。本文报告一例4岁男孩肠系膜乳糜囊肿病例,该患儿后来被发现感染荚膜组织胞浆菌。

https://cdn.ncbi.nlm.nih.gov/pmc/blobs/9f54/4736760/8cb48a6a884c/CRIS2016-4296059.001.jpg

文献AI研究员

20分钟写一篇综述,助力文献阅读效率提升50倍。

立即体验

用中文搜PubMed

大模型驱动的PubMed中文搜索引擎

马上搜索

文档翻译

学术文献翻译模型,支持多种主流文档格式。

立即体验