Koyama Shohei, Akbay Esra A, Li Yvonne Y, Herter-Sprie Grit S, Buczkowski Kevin A, Richards William G, Gandhi Leena, Redig Amanda J, Rodig Scott J, Asahina Hajime, Jones Robert E, Kulkarni Meghana M, Kuraguchi Mari, Palakurthi Sangeetha, Fecci Peter E, Johnson Bruce E, Janne Pasi A, Engelman Jeffrey A, Gangadharan Sidharta P, Costa Daniel B, Freeman Gordon J, Bueno Raphael, Hodi F Stephen, Dranoff Glenn, Wong Kwok-Kin, Hammerman Peter S
Department of Medical Oncology and Cancer Vaccine Center, Dana Farber Cancer Institute, Boston, Massachusetts 02215, USA.
Depatment of Medicine, Brigham and Women's Hospital and Harvard Medical School, Boston, Massachusetts 02115, USA.
Nat Commun. 2016 Feb 17;7:10501. doi: 10.1038/ncomms10501.
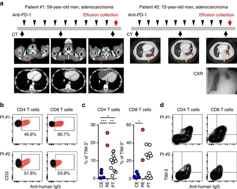
Despite compelling antitumour activity of antibodies targeting the programmed death 1 (PD-1): programmed death ligand 1 (PD-L1) immune checkpoint in lung cancer, resistance to these therapies has increasingly been observed. In this study, to elucidate mechanisms of adaptive resistance, we analyse the tumour immune microenvironment in the context of anti-PD-1 therapy in two fully immunocompetent mouse models of lung adenocarcinoma. In tumours progressing following response to anti-PD-1 therapy, we observe upregulation of alternative immune checkpoints, notably T-cell immunoglobulin mucin-3 (TIM-3), in PD-1 antibody bound T cells and demonstrate a survival advantage with addition of a TIM-3 blocking antibody following failure of PD-1 blockade. Two patients who developed adaptive resistance to anti-PD-1 treatment also show a similar TIM-3 upregulation in blocking antibody-bound T cells at treatment failure. These data suggest that upregulation of TIM-3 and other immune checkpoints may be targetable biomarkers associated with adaptive resistance to PD-1 blockade.
尽管靶向程序性死亡1(PD-1):程序性死亡配体1(PD-L1)免疫检查点的抗体在肺癌中具有显著的抗肿瘤活性,但对这些疗法的耐药性却越来越多地被观察到。在本研究中,为了阐明适应性耐药的机制,我们在两种具有完全免疫活性的肺腺癌小鼠模型中,分析了抗PD-1治疗背景下的肿瘤免疫微环境。在对抗PD-1治疗产生反应后进展的肿瘤中,我们观察到在与PD-1抗体结合的T细胞中,替代免疫检查点,特别是T细胞免疫球蛋白粘蛋白-3(TIM-3)上调,并证明在PD-1阻断失败后添加TIM-3阻断抗体具有生存优势。两名对抗PD-1治疗产生适应性耐药的患者在治疗失败时,在与阻断抗体结合的T细胞中也显示出类似的TIM-3上调。这些数据表明,TIM-3和其他免疫检查点的上调可能是与对PD-1阻断的适应性耐药相关的可靶向生物标志物。