Suppr超能文献

西番泻对绵羊(ovis aries)的心脏毒性

Cardiotoxicity of Senna occidentalis in sheep (Ovis aries).

作者信息

Lopes D I S, Sousa M G, Ramos A T, Maruo V M

机构信息

Federal University of Tocantins (UFT), College of Veterinary Medicine and Animal Science, Araguaina, TO, Brazil.

Federal University of Paraná (UFPR), Department of Veterinary Medicine, Curitiba, Paraná, Brazil.

出版信息

Open Vet J. 2016;6(1):30-5. doi: 10.4314/ovj.v6i1.5. Epub 2016 Feb 9.

Abstract

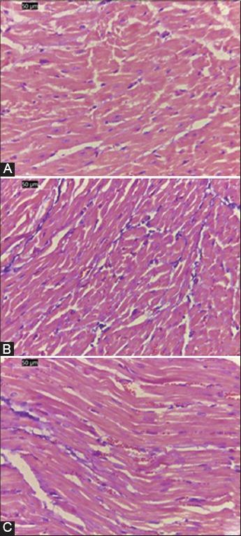
The cardiotoxicity of Coffee senna (Senna occidentalis) was investigated in sheep that were fed diets containing its seeds, which are recognized as the most poisonous part of such weed. Dianthrone, the main toxic component of S. occidentalis, is known to impair mitochondrial oxidative phosphorylation, leading to myofiber degeneration. In this study, fifteen ewes were fed 0%, 2% or 4% of seeds of S. occidentalis for 63 days. Non-specific markers of myocyte injury and electrocardiograms were undertaken at baseline, and at 14, 35, and 63 days after the animals were first fed the diets, while histopathology of heart samples was performed at the very end of the study. Our results showed an increase in serum AST and LDH over time, while CK-MB did not change significantly. Changes that could be ascribed to myocardial damage were not documented in the electrocardiograms. Cardiac histopathology demonstrated only mild-to-moderate vacuolar degeneration, myofiber edema and disarray, structural disorganization, and cellular necrosis. In conclusion, S. occidentalis caused myocardial fiber degeneration in a dose-dependent fashion, but the electrocardiogram was not able to identify these lesions non-invasively. Because the markers of myofiber injury used in this study lack specificity, they may not be used to support cardiac impairment objectively, despite some of them did change over time.

摘要

对咖啡决明(Senna occidentalis)的心脏毒性进行了研究,研究对象是喂食含有其种子日粮的绵羊,该种子被认为是这种杂草中最具毒性的部分。已知决明的主要毒性成分二蒽酮会损害线粒体氧化磷酸化,导致肌纤维变性。在本研究中,15只母羊分别喂食0%、2%或4%的决明种子,持续63天。在基线时以及动物首次喂食日粮后的第14、35和63天进行了心肌损伤的非特异性标志物检测和心电图检查,而在研究结束时对心脏样本进行了组织病理学检查。我们的结果显示,血清AST和LDH随时间增加,而CK-MB没有显著变化。心电图中未记录到可归因于心肌损伤的变化。心脏组织病理学仅显示轻度至中度的空泡变性、肌纤维水肿和紊乱、结构紊乱以及细胞坏死。总之,决明以剂量依赖的方式导致心肌纤维变性,但心电图无法无创地识别这些病变。由于本研究中使用的肌纤维损伤标志物缺乏特异性,尽管其中一些标志物随时间发生了变化,但它们可能无法客观地用于支持心脏损伤的诊断。

https://cdn.ncbi.nlm.nih.gov/pmc/blobs/37ae/4756171/370c56705273/OpenVetJ-6-30-g001.jpg

文献AI研究员

20分钟写一篇综述,助力文献阅读效率提升50倍。

立即体验

用中文搜PubMed

大模型驱动的PubMed中文搜索引擎

马上搜索

文档翻译

学术文献翻译模型,支持多种主流文档格式。

立即体验