• 文献检索
  • 文档翻译
  • 深度研究
  • 学术资讯
  • Suppr Zotero 插件Zotero 插件
  • 邀请有礼
  • 套餐&价格
  • 历史记录
应用&插件
Suppr Zotero 插件Zotero 插件浏览器插件Mac 客户端Windows 客户端微信小程序
定价
高级版会员购买积分包购买API积分包
服务
文献检索文档翻译深度研究API 文档MCP 服务
关于我们
关于 Suppr公司介绍联系我们用户协议隐私条款
关注我们

Suppr 超能文献

核心技术专利:CN118964589B侵权必究
粤ICP备2023148730 号-1Suppr @ 2026

文献检索

告别复杂PubMed语法,用中文像聊天一样搜索,搜遍4000万医学文献。AI智能推荐,让科研检索更轻松。

立即免费搜索

文件翻译

保留排版,准确专业,支持PDF/Word/PPT等文件格式,支持 12+语言互译。

免费翻译文档

深度研究

AI帮你快速写综述,25分钟生成高质量综述,智能提取关键信息,辅助科研写作。

立即免费体验

通过机械取栓术从急性缺血性脑卒中患者中取出的脑血栓的免疫组化分析。

Immunohistochemical Analysis of Cerebral Thrombi Retrieved by Mechanical Thrombectomy from Patients with Acute Ischemic Stroke.

机构信息

Department of Neurology, University Hospital Würzburg, 97080 Würzburg, Germany.

出版信息

Int J Mol Sci. 2016 Feb 26;17(3):298. doi: 10.3390/ijms17030298.

DOI:10.3390/ijms17030298
PMID:26927082
原文链接:https://pmc.ncbi.nlm.nih.gov/articles/PMC4813162/
Abstract

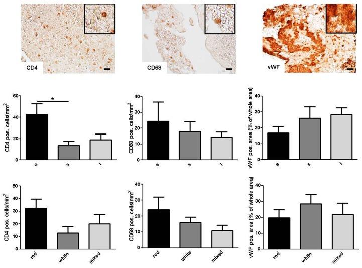
Mechanical thrombectomy is a novel treatment option for patients with acute ischemic stroke (AIS). Only a few studies have previously suggested strategies to categorize retrieved clots according to their histologic composition. However, these reports did not analyze potential biomarkers that are of importance in stroke-related inflammation. We therefore histopathologically investigated 37 intracerebral thrombi mechanically retrieved from patients with AIS, and focused on the composition of immune cells and platelets. We also conducted correlation analyses of distinctive morphologic patterns (erythrocytic, serpentine, layered, red, white, mixed appearance) with clinical parameters. Most T cells and monocytes were detected in erythrocytic and red clots, in which the distribution of these cells was random. In contrast, von Willebrand factor (vWF)-positive areas co-localized with regions of fibrin and collagen. While clots with huge amounts of vWF seem to be associated with a high National Institute of Health Stroke Scale score at admission, histologic findings could not predict the clinical outcome at discharge. In summary, we provide the first histologic description of mechanically retrieved intracerebral thrombi regarding biomarkers relevant for inflammation in ischemic stroke.

摘要

机械取栓是治疗急性缺血性脑卒中(AIS)患者的一种新的治疗选择。之前只有少数研究提出了根据血栓的组织学成分对其进行分类的策略。然而,这些报告并没有分析在与中风相关的炎症中很重要的潜在生物标志物。因此,我们对 37 例 AIS 患者机械取出的颅内血栓进行了组织病理学研究,并重点研究了免疫细胞和血小板的组成。我们还对独特的形态模式(红细胞、蛇形、分层、红色、白色、混合外观)与临床参数进行了相关性分析。大多数 T 细胞和单核细胞存在于红细胞和红色血栓中,这些细胞的分布是随机的。相比之下,血管性血友病因子(vWF)阳性区域与纤维蛋白和胶原区域共存。虽然含有大量 vWF 的血栓似乎与入院时较高的国立卫生研究院卒中量表(NIHSS)评分相关,但组织学发现并不能预测出院时的临床结局。总之,我们提供了机械取栓的脑内血栓与缺血性脑卒中炎症相关的生物标志物的首次组织学描述。

https://cdn.ncbi.nlm.nih.gov/pmc/blobs/93ca/4813162/934329e4fbff/ijms-17-00298-g003.jpg
https://cdn.ncbi.nlm.nih.gov/pmc/blobs/93ca/4813162/d525befe483a/ijms-17-00298-g001a.jpg
https://cdn.ncbi.nlm.nih.gov/pmc/blobs/93ca/4813162/796654c7b7b8/ijms-17-00298-g002.jpg
https://cdn.ncbi.nlm.nih.gov/pmc/blobs/93ca/4813162/934329e4fbff/ijms-17-00298-g003.jpg
https://cdn.ncbi.nlm.nih.gov/pmc/blobs/93ca/4813162/d525befe483a/ijms-17-00298-g001a.jpg
https://cdn.ncbi.nlm.nih.gov/pmc/blobs/93ca/4813162/796654c7b7b8/ijms-17-00298-g002.jpg
https://cdn.ncbi.nlm.nih.gov/pmc/blobs/93ca/4813162/934329e4fbff/ijms-17-00298-g003.jpg

相似文献

1
Immunohistochemical Analysis of Cerebral Thrombi Retrieved by Mechanical Thrombectomy from Patients with Acute Ischemic Stroke.通过机械取栓术从急性缺血性脑卒中患者中取出的脑血栓的免疫组化分析。
Int J Mol Sci. 2016 Feb 26;17(3):298. doi: 10.3390/ijms17030298.
2
The Role of von Willebrand Factor, ADAMTS13, and Cerebral Artery Thrombus Composition in Patient Outcome Following Mechanical Thrombectomy for Acute Ischemic Stroke.机械取栓治疗急性缺血性脑卒中后患者结局与血管性血友病因子、ADAMTS13 及脑动脉血栓成分的关系
Med Sci Monit. 2018 Jun 11;24:3929-3945. doi: 10.12659/MSM.908441.
3
Erythrocyte-Rich Thrombus Is Associated with Reduced Number of Maneuvers and Procedure Time in Patients with Acute Ischemic Stroke Undergoing Mechanical Thrombectomy.富含红细胞的血栓与急性缺血性卒中患者接受机械取栓术时的操作次数减少及手术时间缩短相关。
Cerebrovasc Dis Extra. 2018;8(1):39-49. doi: 10.1159/000486042. Epub 2018 Jan 15.
4
Histologic features of acute thrombi retrieved from stroke patients during mechanical reperfusion therapy.机械再灌注治疗期间从卒中患者体内取出的急性血栓的组织学特征。
Int J Stroke. 2016 Dec;11(9):1036-1044. doi: 10.1177/1747493016641965. Epub 2016 Apr 7.
5
Acute ischemic stroke thrombi have an outer shell that impairs fibrinolysis.急性缺血性脑卒中血栓的外壳可阻碍纤维蛋白溶解。
Neurology. 2019 Oct 29;93(18):e1686-e1698. doi: 10.1212/WNL.0000000000008395. Epub 2019 Sep 20.
6
Bridging Therapy Versus Direct Mechanical Thrombectomy in Patients with Acute Ischemic Stroke due to Middle Cerebral Artery Occlusion: A Clinical- Histological Analysis of Retrieved Thrombi.桥接治疗与直接机械取栓治疗大脑中动脉闭塞所致急性缺血性脑卒中患者的临床-组织学分析:取栓血栓的研究。
Cell Transplant. 2019 Jun;28(6):684-690. doi: 10.1177/0963689718823206. Epub 2019 Jan 18.
7
Clot composition in retrieved thrombi after mechanical thrombectomy in strokes due to carotid web.颈动脉网所致卒中机械取栓术后取出血栓的凝块成分
J Neurointerv Surg. 2021 Jun;13(6):530-533. doi: 10.1136/neurintsurg-2020-017112. Epub 2021 Jan 29.
8
Mechanical Characterization of Thrombi Retrieved With Endovascular Thrombectomy in Patients With Acute Ischemic Stroke.急性缺血性脑卒中患者血管内血栓切除术取出的血栓的机械特性。
Stroke. 2021 Aug;52(8):2510-2517. doi: 10.1161/STROKEAHA.120.033527. Epub 2021 Jun 3.
9
Association between acute ischemic stroke etiology and macroscopic aspect of retrieved clots: is a clot's color a warning light for underlying pathologies?急性缺血性脑卒中病因与血栓取出后宏观特征的关系:血栓颜色是潜在病理的警示信号吗?
J Neurointerv Surg. 2019 Dec;11(12):1197-1200. doi: 10.1136/neurintsurg-2019-014905. Epub 2019 May 3.
10
Ischemic Stroke: What Does the Histological Composition Tell Us About the Origin of the Thrombus?缺血性脑卒中:血栓的组织学成分能告诉我们什么关于其起源的信息?
Stroke. 2017 Aug;48(8):2206-2210. doi: 10.1161/STROKEAHA.117.016590. Epub 2017 Jun 16.

引用本文的文献

1
Clot Composition and Ischemic Stroke Etiology: A Contemporary Narrative Review.血栓组成与缺血性卒中病因:当代叙述性综述
J Clin Med. 2025 Sep 2;14(17):6203. doi: 10.3390/jcm14176203.
2
Thrombus composition and distribution patterns by thrombus volume in acute ischemic stroke.急性缺血性卒中中血栓成分及按血栓体积的分布模式
Front Neurol. 2025 Aug 4;16:1619683. doi: 10.3389/fneur.2025.1619683. eCollection 2025.
3
Thrombus perviousness in acute ischemic stroke: a scoping review of methodology, predictive value, and future perspectives.

本文引用的文献

1
Role of neutrophils in atherogenesis: an update.中性粒细胞在动脉粥样硬化形成中的作用:最新进展
Eur J Clin Invest. 2016 Mar;46(3):252-63. doi: 10.1111/eci.12566. Epub 2016 Feb 2.
2
Characterization of Peripheral Immune Cell Subsets in Patients with Acute and Chronic Cerebrovascular Disease: A Case-Control Study.急性和慢性脑血管疾病患者外周免疫细胞亚群的特征:一项病例对照研究。
Int J Mol Sci. 2015 Oct 23;16(10):25433-49. doi: 10.3390/ijms161025433.
3
Immune interventions in stroke.中风的免疫干预措施。
急性缺血性卒中的血栓通透性:方法学、预测价值及未来展望的范围综述
Neuroradiology. 2025 Apr 24. doi: 10.1007/s00234-025-03627-9.
4
Thrombo-CARE-cardioembolic stroke etiology in cryptogenic stroke suggested by fibrin-/platelet-rich clot histology : Thrombo-CARE (configuration analysis to refine etiology).富含纤维蛋白/血小板的凝块组织学提示隐源性卒中中心源性栓塞性卒中病因:血栓-CARE(用于明确病因的构型分析)
Wien Med Wochenschr. 2025 Jun;175(9-10):227-236. doi: 10.1007/s10354-024-01060-w. Epub 2024 Nov 11.
5
Platelet Analysis in the Thrombus Plus Serum BNP for Detecting Clot-Related Atrial Fibrillation. Results From the ITACAT Multicentric Registry.血栓加血清脑钠肽中的血小板分析用于检测与血栓相关的心房颤动。ITACAT多中心注册研究结果
Transl Stroke Res. 2025 Apr;16(2):368-377. doi: 10.1007/s12975-023-01220-x. Epub 2023 Dec 13.
6
Short-term efficacy of stenting as a rescue therapy for acute atherosclerotic occlusion in anterior cerebral circulation.支架置入术作为大脑前循环急性动脉粥样硬化闭塞抢救治疗的短期疗效
Front Neurol. 2023 Nov 1;14:1238998. doi: 10.3389/fneur.2023.1238998. eCollection 2023.
7
Advancing Stroke Research on Cerebral Thrombi with Omic Technologies.应用组学技术推进脑血栓研究
Int J Mol Sci. 2023 Feb 8;24(4):3419. doi: 10.3390/ijms24043419.
8
Location, location, location: Fibrin, cells, and fibrinolytic factors in thrombi.位置、位置、位置:血栓中的纤维蛋白、细胞及纤维蛋白溶解因子
Front Cardiovasc Med. 2023 Jan 18;9:1070502. doi: 10.3389/fcvm.2022.1070502. eCollection 2022.
9
Association between thrombus composition and stroke etiology in the MR CLEAN Registry biobank.MR CLEAN 注册生物样本库中血栓成分与卒中病因的相关性研究。
Neuroradiology. 2023 May;65(5):933-943. doi: 10.1007/s00234-023-03115-y. Epub 2023 Jan 25.
10
Prognostic Signature for Human Umbilical Cord Mesenchymal Stem Cell Treatment of Ischemic Cerebral Infarction by Integrated Bioinformatic Analysis.基于整合生物信息学分析的人脐带间充质干细胞治疗缺血性脑梗死的预后标志物。
Biomed Res Int. 2022 Dec 13;2022:9973232. doi: 10.1155/2022/9973232. eCollection 2022.
Nat Rev Neurol. 2015 Sep;11(9):524-35. doi: 10.1038/nrneurol.2015.144. Epub 2015 Aug 25.
4
Combination of the Immune Modulator Fingolimod With Alteplase in Acute Ischemic Stroke: A Pilot Trial.免疫调节剂芬戈莫德与阿替普酶联合用于急性缺血性卒中:一项试点试验。
Circulation. 2015 Sep 22;132(12):1104-1112. doi: 10.1161/CIRCULATIONAHA.115.016371. Epub 2015 Jul 22.
5
Histologic Analysis of Retrieved Clots in Acute Ischemic Stroke: Correlation with Stroke Etiology and Gradient-Echo MRI.急性缺血性卒中回收血栓的组织学分析:与卒中病因及梯度回波磁共振成像的相关性
AJNR Am J Neuroradiol. 2015 Sep;36(9):1756-62. doi: 10.3174/ajnr.A4402. Epub 2015 Jul 9.
6
Endovascular therapy for ischemic stroke.缺血性中风的血管内治疗
N Engl J Med. 2015 Jun 11;372(24):2365-6. doi: 10.1056/NEJMc1504715.
7
The Role of Different Monocyte Subsets in the Pathogenesis of Atherosclerosis and Acute Coronary Syndromes.不同单核细胞亚群在动脉粥样硬化和急性冠状动脉综合征发病机制中的作用
Scand J Immunol. 2015 Sep;82(3):163-73. doi: 10.1111/sji.12314.
8
Thrombectomy within 8 hours after symptom onset in ischemic stroke.发病 8 小时内进行缺血性脑卒中取栓治疗。
N Engl J Med. 2015 Jun 11;372(24):2296-306. doi: 10.1056/NEJMoa1503780. Epub 2015 Apr 17.
9
Advances in MRI for the evaluation of carotid atherosclerosis.用于评估颈动脉粥样硬化的磁共振成像进展
Br J Radiol. 2015 Aug;88(1052):20140282. doi: 10.1259/bjr.20140282. Epub 2015 Mar 31.
10
Nanoparticles functionalised with an anti-platelet human antibody for in vivo detection of atherosclerotic plaque by magnetic resonance imaging.用抗血小板人抗体功能化的纳米颗粒,用于通过磁共振成像在体内检测动脉粥样硬化斑块。
Nanomedicine. 2015 May;11(4):927-37. doi: 10.1016/j.nano.2014.12.006. Epub 2015 Feb 12.