Suppr超能文献

肝脏反应性淋巴组织增生需要与肝细胞癌进行鉴别诊断。

Reactive lymphoid hyperplasia of the liver requires differential diagnosis of hepatocellular carcinoma.

作者信息

Higashi Takaaki, Hashimoto Daisuke, Hayashi Hiromitsu, Nitta Hidetoshi, Chikamoto Akira, Beppu Toru, Baba Hideo

机构信息

Departments of Gastroenterological Surgery, Graduate School of Medical Sciences, Kumamoto University, 1-1-1 Honjo, Kumamoto-shi, Kumamoto, 860-8556, Japan.

出版信息

Surg Case Rep. 2015 Dec;1(1):31. doi: 10.1186/s40792-015-0034-4. Epub 2015 Mar 24.

Abstract

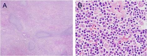
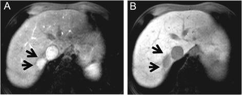
Reactive lymphoid hyperplasia (RLH) of the liver is a rare and benign nodular lesion. It remains difficult to distinguish RLH from hepatocellular carcinoma (HCC) despite recent advances in imaging modalities. We report five cases of RLH that required differential diagnosis of HCC preoperatively. These cases all occurred in middle-aged women and were associated with autoimmune disease in 40% (2/5). The diameter of the nodule was less than 2 cm in all five of our cases. Four cases had a preoperative diagnosis of HCC. When a liver nodule is found in middle-aged women with an autoimmune disease, the possibility of RLH should be considered.

摘要

肝脏反应性淋巴组织增生(RLH)是一种罕见的良性结节性病变。尽管近年来成像技术有所进步,但仍难以将RLH与肝细胞癌(HCC)区分开来。我们报告了5例术前需要与HCC进行鉴别诊断的RLH病例。这些病例均发生在中年女性中,40%(2/5)与自身免疫性疾病相关。我们所有5例病例的结节直径均小于2 cm。4例术前诊断为HCC。当在患有自身免疫性疾病的中年女性中发现肝脏结节时,应考虑RLH的可能性。

https://cdn.ncbi.nlm.nih.gov/pmc/blobs/fa42/4747959/c9d050c25514/40792_2015_34_Fig1_HTML.jpg

文献AI研究员

20分钟写一篇综述,助力文献阅读效率提升50倍。

立即体验

用中文搜PubMed

大模型驱动的PubMed中文搜索引擎

马上搜索

文档翻译

学术文献翻译模型,支持多种主流文档格式。

立即体验