Zhang Bingqian, Zou Mingyue, Lu Zengxin, Mao Haijia, Huang Ya'nan, Liu Fang, Zhao Zhenhua
Department of Radiology, Shaoxing People's Hospital (Shaoxing Hospital, Zhejiang University School of Medicine), Shaoxing, China.
Department of Pathology, Shaoxing People's Hospital (Shaoxing Hospital, Zhejiang University School of Medicine), Shaoxing, China.
Front Oncol. 2021 Dec 9;11:694934. doi: 10.3389/fonc.2021.694934. eCollection 2021.
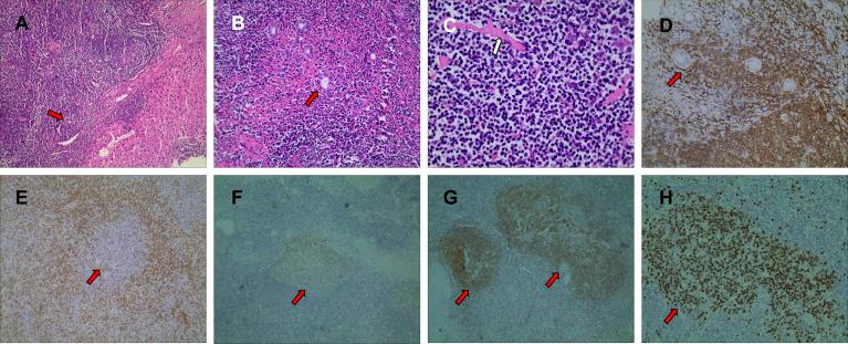
Reactive lymphoid hyperplasia (RLH) of the liver is a rare benign disease. This article describes a 77-year-old female patient with RLH of the liver. The patient was admitted to the hospital due to atrial fibrillation. A liver tumor was incidentally found during abdominal enhanced CT. Further magnetic resonance imaging (MRI) and PET/CT showed four lesions in the liver. The imaging findings suggested hepatocellular carcinoma (HCC), but it was not consistent that the patient had no history of liver cirrhosis and hepatitis, and a variety of tumor markers were within the normal range. The largest lesion was surgically removed and microscopically diagnosed as RLH of the liver. The pathology included a large number of reactive hyperplastic lymphoid follicles. Immunohistochemical examination showed that the infiltrating lymphocytes were polyclonal. The authors believe that the perinodular enhancement on MRI, the obvious limitation of diffusion on DWI, the insignificant increase of SUVmax on PET-CT delayed phase, and the support of clinical data can help distinguish liver RLH from lymphoma and HCC.
肝脏反应性淋巴组织增生(RLH)是一种罕见的良性疾病。本文描述了一名77岁患有肝脏RLH的女性患者。该患者因心房颤动入院。腹部增强CT检查时偶然发现肝脏肿瘤。进一步的磁共振成像(MRI)和正电子发射断层显像/X线计算机体层成像(PET/CT)显示肝脏有4个病灶。影像学表现提示肝细胞癌(HCC),但该患者无肝硬化和肝炎病史且多种肿瘤标志物在正常范围内,两者情况不一致。最大的病灶通过手术切除,显微镜检查诊断为肝脏RLH。病理检查可见大量反应性增生的淋巴滤泡。免疫组化检查显示浸润淋巴细胞为多克隆性。作者认为,MRI上的结节周围强化、扩散加权成像(DWI)上扩散明显受限、PET-CT延迟期SUVmax无明显升高以及临床资料的支持有助于将肝脏RLH与淋巴瘤和HCC相鉴别。