Sakai Kenji, Tomimaru Yoshito, Eguchi Hidetoshi, Marubashi Shigeru, Tomokuni Akira, Asaoka Tadafumi, Wada Hiroshi, Kawamoto Koichi, Umeshita Koji, Doki Yuichiro, Mori Masaki, Nagano Hiroaki
Department of Surgery, Graduate School of Medicine, Osaka University, 2-2 Yamadaoka E-2, Suita, 565-0871, Osaka, Japan.
Division of Health Sciences, Graduate School of Medicine, Osaka University, Suita, Osaka, Japan.
Surg Case Rep. 2015 Dec;1(1):84. doi: 10.1186/s40792-015-0089-2. Epub 2015 Sep 21.
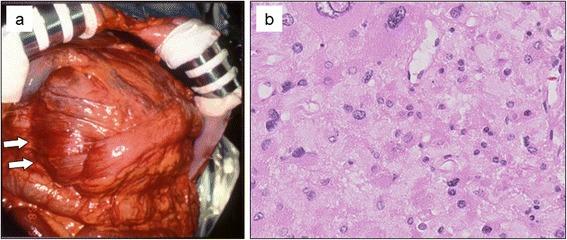
The patient was a 46-year-old man who had undergone resection for a bulky retroperitoneal tumor 16 years previously during a follow-up for von Recklinghausen's disease. Histopathological examination of the resected specimen showed that the tumor was an extra-adrenal paraganglioma. After the surgery, he had survived without any recurrence of the tumor. However, 16 years after the initial surgery, liver tumors were identified, and he was referred to our hospital for further investigation and treatment. Abdominal imaging modalities showed three masses in the left lateral segment of the liver. Fluorodeoxyglucose-positron emission tomography/computed tomography showed an abnormal uptake of fluorodeoxyglucose corresponding to the mass lesions. The patient was diagnosed with a metastatic paraganglioma based on histopathological examination of a liver mass biopsy. The patient underwent left lateral sectionectomy of the liver. Histopathological examination of the resected specimen revealed proliferating cells with basophilic cytoplasm and oval densely stained nuclei arranged in an alveolar pattern, which was similar to the findings of the initial resection specimen. Immunohistochemical staining was positive for synaptophysin and chromogranin A. Based on these findings, the resected tumors were histopathologically diagnosed with liver metastases from the retroperitoneal paraganglioma. We concluded that this is an extremely rare case of liver metastases occurring long after the initial resection of extra-adrenal peritoneal paraganglioma with von Recklinghausen's disease.
患者为一名46岁男性,16年前因冯雷克林霍增氏病随访期间接受了巨大腹膜后肿瘤切除术。切除标本的组织病理学检查显示肿瘤为肾上腺外副神经节瘤。手术后,他存活下来,肿瘤未复发。然而,初次手术后16年,发现肝脏肿瘤,他被转诊至我院进行进一步检查和治疗。腹部影像学检查显示肝脏左外叶有三个肿块。氟脱氧葡萄糖正电子发射断层扫描/计算机断层扫描显示与肿块病变相对应的氟脱氧葡萄糖摄取异常。根据肝脏肿块活检的组织病理学检查,患者被诊断为转移性副神经节瘤。患者接受了肝脏左外叶切除术。切除标本的组织病理学检查显示,增殖细胞的细胞质呈嗜酸性,细胞核呈椭圆形,染色致密,呈肺泡状排列,这与初次切除标本的结果相似。免疫组织化学染色突触素和嗜铬粒蛋白A呈阳性。基于这些发现,切除的肿瘤经组织病理学诊断为腹膜后副神经节瘤肝转移。我们得出结论,这是一例极其罕见的病例,即患有冯雷克林霍增氏病的肾上腺外腹膜副神经节瘤初次切除后很长时间发生肝转移。