Suppr超能文献

胆囊三角区的纤毛前肠囊肿:首例报告

Ciliated foregut cyst in the triangle of Calot: the first report.

作者信息

Al Beteddini Osama S, Amra Nasir K, Sherkawi Emad

机构信息

Surgery Department, Johns Hopkins Aramco Healthcare/Dhahran Health Centre, Saudi Aramco, PO Box 76, Dhahran, 31311, Saudi Arabia.

Pathology Department, Johns Hopkins Aramco Healthcare/Dhahran Health Centre, Saudi Aramco, PO Box 76, Dhahran, 31311, Saudi Arabia.

出版信息

Surg Case Rep. 2016 Dec;2(1):20. doi: 10.1186/s40792-016-0147-4. Epub 2016 Feb 25.

Abstract

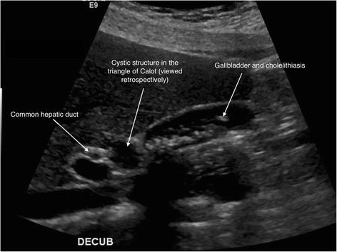
Ciliated foregut cysts are rare anomalies arising from remnants of aberrant embryological development. Around 100 reports on the presence of these congenital masses in the tracheobronchial tree, mediastinum, liver, pancreas and, rarely, the gallbladder have been described. In this article, the case of a 33-year-old woman, who was operated for a laparoscopic cholecystectomy, is presented. During the dissection of the triangle of Calot, a cystic mass, attached to the common hepatic duct, was discovered incidentally. This cyst was dissected off the hepatic duct, and no communication between both structures was found. The histopathological diagnosis was consistent with a ciliated foregut cyst. The postoperative course was uneventful. After reviewing the literature on this pathological entity, we found that this is the first report of a ciliated foregut cyst that is located in the triangle of Calot and found separate from the biliary structures, the gallbladder and the liver. We present a review of the literature on this entity, discussing diagnostic measures and therapeutic options.

摘要

纤毛前肠囊肿是一种罕见的异常情况,由胚胎发育异常的残留物引起。关于这些先天性肿物出现在气管支气管树、纵隔、肝脏、胰腺以及罕见的胆囊中的报道约有100例。本文介绍了一名33岁接受腹腔镜胆囊切除术的女性病例。在解剖胆囊三角时,偶然发现一个附着于肝总管的囊性肿物。将该囊肿从肝管上剥离,未发现两者之间有连通。组织病理学诊断与纤毛前肠囊肿相符。术后过程顺利。在查阅关于这一病理实体的文献后,我们发现这是首例位于胆囊三角且与胆道结构、胆囊和肝脏分离的纤毛前肠囊肿的报道。我们对该实体的文献进行了综述,讨论了诊断措施和治疗选择。

https://cdn.ncbi.nlm.nih.gov/pmc/blobs/6712/4766156/c447fc44e484/40792_2016_147_Fig1_HTML.jpg

文献AI研究员

20分钟写一篇综述,助力文献阅读效率提升50倍。

立即体验

用中文搜PubMed

大模型驱动的PubMed中文搜索引擎

马上搜索

文档翻译

学术文献翻译模型,支持多种主流文档格式。

立即体验