Suppr超能文献

2014年,美国伊利诺伊州一户家庭中的两名成年人感染了人腺病毒7d型严重感染。

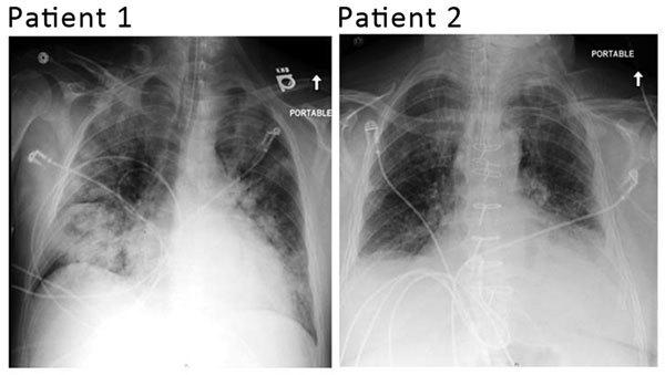
Severe Infections with Human Adenovirus 7d in 2 Adults in Family, Illinois, USA, 2014.

作者信息

Kajon Adriana E, Ison Michael G

出版信息

Emerg Infect Dis. 2016 Apr;22(4):730-3. doi: 10.3201/eid2204.151403.

Abstract

Human adenovirus 7d, a genomic variant with no reported circulation in the United States, was isolated from 2 adults with severe respiratory infections in Illinois. Molecular typing identified a close relationship with strains of the same genome type isolated from cases of respiratory disease in several provinces of China since 2009.

摘要

人腺病毒7d是一种在美国尚无传播报道的基因组变异体,从伊利诺伊州2名患有严重呼吸道感染的成年人中分离得到。分子分型显示,该病毒与自2009年以来在中国多个省份从呼吸道疾病病例中分离出的相同基因组类型的毒株关系密切。

https://cdn.ncbi.nlm.nih.gov/pmc/blobs/36a5/4806933/ee20bbd5efbb/15-1403-F1.jpg

文献检索

告别复杂PubMed语法,用中文像聊天一样搜索,搜遍4000万医学文献。AI智能推荐,让科研检索更轻松。

立即免费搜索

文件翻译

保留排版,准确专业,支持PDF/Word/PPT等文件格式,支持 12+语言互译。

免费翻译文档

深度研究

AI帮你快速写综述,25分钟生成高质量综述,智能提取关键信息,辅助科研写作。

立即免费体验