Suppr超能文献

分化簇74在胆囊癌中的表达及其与表皮生长因子受体水平的相关性。

Expression of cluster of differentiation 74 in gallbladder carcinoma and the correlation with epithelial growth factor receptor levels.

作者信息

Wang Peng, Shi Qiao, Zuo Teng, He Xiaobo, Yu Jia, Wang Weixing

机构信息

Department of Hepatobiliary and Laparoscopic Surgery, Renmin Hospital of Wuhan University, Wuhan, Hubei 430060, P.R. China.

出版信息

Oncol Lett. 2016 Mar;11(3):2061-2066. doi: 10.3892/ol.2016.4191. Epub 2016 Feb 8.

Abstract

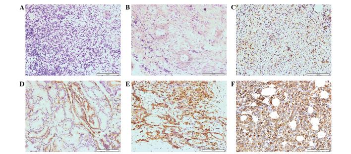
Cluster of differentiation 74 (CD74), a transmembrane glycoprotein, has been previously reported to be important in the pathogenesis of several cancers, including hematological malignancies and solid tumors. The present study analyzed the significance of CD74 in gallbladder carcinomas (GBCs) and indicated the correlation of CD74 expression with epithelial growth factor receptor levels. Immunohistochemistry (IHC) was used to examine the expression of CD74 in GBC and normal gallbladder tissues, and western blotting was used to investigate whether CD74 expression varied in well-, moderately- and poorly-differentiated tumors. The correlation between the expression of CD74 and epithelial growth factor receptor levels was studied using the Spearman's rank correlation coefficient. The results of the IHC analysis revealed that CD74 was not expressed in the normal gallbladder tissues, and the mean integrated optical density value of CD74 in the poorly-differentiated tissues was increased compared with that in the well- and moderately-differentiated tissues. The results of the western blotting were consistent with the results of the IHC. The expression of CD74 was positively correlated with epithelial growth factor receptor levels (r=0.607; P<0.05). These results indicate that CD74 may be important in the progression of GBC.

摘要

分化簇74(CD74)是一种跨膜糖蛋白,先前已有报道称其在包括血液系统恶性肿瘤和实体瘤在内的多种癌症的发病机制中起重要作用。本研究分析了CD74在胆囊癌(GBC)中的意义,并指出了CD74表达与上皮生长因子受体水平的相关性。采用免疫组织化学(IHC)检测CD74在GBC组织和正常胆囊组织中的表达,并用蛋白质印迹法研究CD74在高分化、中分化和低分化肿瘤中的表达是否存在差异。使用Spearman等级相关系数研究CD74表达与上皮生长因子受体水平之间的相关性。免疫组织化学分析结果显示,正常胆囊组织中不表达CD74,与高分化和中分化组织相比,低分化组织中CD74的平均积分光密度值升高。蛋白质印迹结果与免疫组织化学结果一致。CD74表达与上皮生长因子受体水平呈正相关(r=0.607;P<0.05)。这些结果表明,CD74可能在GBC的进展中起重要作用。

https://cdn.ncbi.nlm.nih.gov/pmc/blobs/eb95/4774522/fdbb999339e8/ol-11-03-2061-g00.jpg

文献AI研究员

20分钟写一篇综述,助力文献阅读效率提升50倍。

立即体验

用中文搜PubMed

大模型驱动的PubMed中文搜索引擎

马上搜索

文档翻译

学术文献翻译模型,支持多种主流文档格式。

立即体验