Suppr超能文献

缺氧大鼠的损伤大小会加剧,而在受伤的常氧大鼠中缺氧诱导因子-1α和血管内皮生长因子会增加:一项关于局灶性创伤性脑损伤继发性缺氧的前瞻性队列研究。

Lesion Size Is Exacerbated in Hypoxic Rats Whereas Hypoxia-Inducible Factor-1 Alpha and Vascular Endothelial Growth Factor Increase in Injured Normoxic Rats: A Prospective Cohort Study of Secondary Hypoxia in Focal Traumatic Brain Injury.

作者信息

Thelin Eric Peter, Frostell Arvid, Mulder Jan, Mitsios Nicholas, Damberg Peter, Aski Sahar Nikkhou, Risling Mårten, Svensson Mikael, Morganti-Kossmann Maria Cristina, Bellander Bo-Michael

机构信息

Department of Clinical Neuroscience, Karolinska Institutet , Stockholm , Sweden.

Science for Life Laboratory, Department of Neuroscience, Karolinska Institutet , Stockholm , Sweden.

出版信息

Front Neurol. 2016 Mar 7;7:23. doi: 10.3389/fneur.2016.00023. eCollection 2016.

Abstract

BACKGROUND

Hypoxia following traumatic brain injury (TBI) is a severe insult shown to exacerbate the pathophysiology, resulting in worse outcome. The aim of this study was to investigate the effects of a hypoxic insult in a focal TBI model by monitoring brain edema, lesion volume, serum biomarker levels, immune cell infiltration, as well as the expression of hypoxia-inducible factor-1 alpha (HIF-1α) and vascular endothelial growth factor (VEGF).

MATERIALS AND METHODS

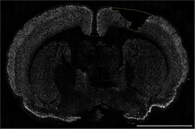
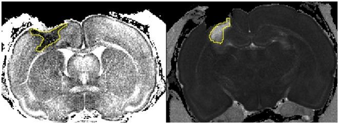
Female Sprague-Dawley rats (n = 73, including sham and naive) were used. The rats were intubated and mechanically ventilated. A controlled cortical impact device created a 3-mm deep lesion in the right parietal hemisphere. Post-injury, rats inhaled either normoxic (22% O2) or hypoxic (11% O2) mixtures for 30 min. The rats were sacrificed at 1, 3, 7, 14, and 28 days post-injury. Serum was collected for S100B measurements using ELISA. Ex vivo magnetic resonance imaging (MRI) was performed to determine lesion size and edema volume. Immunofluorescence was employed to analyze neuronal death, changes in cerebral macrophage- and neutrophil infiltration, microglia proliferation, apoptosis, complement activation (C5b9), IgG extravasation, HIF-1α, and VEGF.

RESULTS

The hypoxic group had significantly increased blood levels of lactate and decreased pO2 (p < 0.0001). On MRI post-traumatic hypoxia resulted in larger lesion areas (p = 0.0173), and NeuN staining revealed greater neuronal loss (p = 0.0253). HIF-1α and VEGF expression was significantly increased in normoxic but not in hypoxic animals (p < 0.05). A trend was seen for serum levels of S100B to be higher in the hypoxic group at 1 day after trauma (p = 0.0868). No differences were observed between the groups in cytotoxic and vascular edema, IgG extravasation, neutrophils and macrophage aggregation, microglia proliferation, or C5b-9 expression.

CONCLUSION

Hypoxia following focal TBI exacerbated the lesion size and neuronal loss. Moreover, there was a tendency to higher levels of S100B in the hypoxic group early after injury, indicating a potential validity as a biomarker of injury severity. In the normoxic group, the expression of HIF-1α and VEGF was found elevated, possibly indicative of neuro-protective responses occurring in this less severely injured group. Further studies are warranted to better define the pathophysiology of post-TBI hypoxia.

摘要

背景

创伤性脑损伤(TBI)后的缺氧是一种严重损伤,已表明会加剧病理生理过程,导致更差的预后。本研究的目的是通过监测脑水肿、损伤体积、血清生物标志物水平、免疫细胞浸润以及缺氧诱导因子-1α(HIF-1α)和血管内皮生长因子(VEGF)的表达,来研究缺氧损伤在局灶性TBI模型中的作用。

材料与方法

使用雌性Sprague-Dawley大鼠(n = 73,包括假手术组和未受伤组)。大鼠进行插管并机械通气。使用可控皮质撞击装置在右侧顶叶半球造成3毫米深的损伤。损伤后,大鼠吸入常氧(22% O2)或缺氧(11% O2)混合气30分钟。在损伤后1、3、7、14和28天处死大鼠。收集血清,使用酶联免疫吸附测定(ELISA)法测量S100B。进行离体磁共振成像(MRI)以确定损伤大小和水肿体积。采用免疫荧光法分析神经元死亡、脑巨噬细胞和中性粒细胞浸润的变化、小胶质细胞增殖、凋亡、补体激活(C5b9)、IgG外渗、HIF-1α和VEGF。

结果

缺氧组血液中乳酸水平显著升高,pO2降低(p < 0.0001)。创伤后缺氧在MRI上导致更大的损伤区域(p = 0.0173),NeuN染色显示神经元损失更多(p = 0.0253)。常氧动物中HIF-1α和VEGF表达显著增加,但缺氧动物中未增加(p < 0.05)。创伤后1天,缺氧组血清S100B水平有升高趋势(p = 0.0868)。两组在细胞毒性和血管性水肿、IgG外渗、中性粒细胞和巨噬细胞聚集、小胶质细胞增殖或C5b-9表达方面未观察到差异。

结论

局灶性TBI后的缺氧加剧了损伤大小和神经元损失。此外,损伤后早期缺氧组S100B水平有升高趋势,表明其作为损伤严重程度生物标志物具有潜在有效性。在常氧组中,发现HIF-1α和VEGF表达升高,可能表明在这个损伤较轻的组中发生了神经保护反应。有必要进一步研究以更好地确定TBI后缺氧的病理生理过程。

https://cdn.ncbi.nlm.nih.gov/pmc/blobs/1e19/4780037/d7447597c836/fneur-07-00023-g001.jpg

文献检索

告别复杂PubMed语法,用中文像聊天一样搜索,搜遍4000万医学文献。AI智能推荐,让科研检索更轻松。

立即免费搜索

文件翻译

保留排版,准确专业,支持PDF/Word/PPT等文件格式,支持 12+语言互译。

免费翻译文档

深度研究

AI帮你快速写综述,25分钟生成高质量综述,智能提取关键信息,辅助科研写作。

立即免费体验